Zurück

 

 

Aktuelle Gesundheits-Nachrichten

Thema heute: Lungenmetastasen – chirurgische Möglichkeiten

Berufsbedingte Krebserkrankungen

Die Macht der Darmflora

Integrative Krebstherapie & TCM (engl.)

Vegetarische Ernährung

Yoga bei Krebs

Krankheitserfahrungen

Kostenerstattung bei komplementären Therapien

Aktuelles aus der Krebsforschung

 

Wir haben gewählt

Liebe Leserin, lieber Leser,

Die Regierungsbildung hat Zeit gebraucht. Zum neuen Bundesminister für Gesundheit wurde Hermann Gröhe berufen. In einem ersten Interview mit der Neuß-Grevenbroicher Zeitung spricht er über Macht und Fachkompetenz. Minister Gröhe äußert sich in diesem Interview u.a. auch zum Lobbying im Gesundheitswesen und betont seine politische Verantwortung, sich für einen fairen Interessenausgleich einzusetzen. Wir wünschen dem Minister viel Kraft und durchsetzende Erfolge – heute und in der Zukunft.

Auf dem Titel unseres Heftes sprechen wir von der Vision und Zukunft der Onkologie. Dabei vergessen unsere Autoren und wir keinesfalls die Gegenwart, das Heute. Die ganz persönliche Erschütterung durch die Diagnose Krebs ist uns Motivation für die Auswahl und Veröffentlichung von Wissen und Zusammenhängen, vermittelt durch Autoren, die den täglichen Kampf gegen den Krebs sehr genau kennen.

Jeder Krebspatientin, jedem Krebspatienten soll ein fairer und schneller Zugang zu nachweislich wirksamen innovativen Krebstherapien möglich sein, so der Nationale Krebsplan, über den wir im Heft 11 berichtet haben. Eine effiziente onkologische Arzneimittelversorgung wird unter gesundheitsökonomischen und sozialrechtlichen Aspekten angestrebt. Die möglichst rasche Übertragung von neuen Therapieoptionen aus der Forschung über klinische Studien bis zur Anwendung soll unabhängig von Anbietern nachhaltig und medizinisch notwendig auch bei hochpreisigen Krebsarzneimitteln geschehen.

Der 31. Deutsche Krebskongress im Februar 2014 in Berlin wird mit neuem Wissen aus erster Hand auch Ihre Patientenkompetenz weiter stärken. Wir waren für Sie dabei und werden darüber berichten.

Danke für Ihr anhaltendes Interesse an unserer Arbeit.

Ihre Dagmar Moldenhauer, Redaktionsleiterin

 

Für Sie in dieser Ausgabe

■ IN EIGENER SACHE: Personalisierte Krebstherapie – Realität und Traum

THEMA HEUTE:

Lungenmetastasen – Möglichkeiten der chirurgischen Therapie

IM BLICKPUNKT

Berufsbedingte Krebserkrankungen

WISSEN

Die Macht der Darmflora über Gesundheit und Krankheit

Integrative Krebstherapie & TCM (engl.)

Vegetarische Ernährung und Krebs

Yoga bei Krebserkrankungen

ERFAHRUNGEN

Krankheitserfahrungen

Ein besonderes Erlebnis – Musik in der Natur

RAT & TAT

Aktuelle Fälle zur Erstattungsfähigkeit: (update) Hyperthermie

Einige aktuelle Verfahren und Urteile

■ AKTUELLES AUS DER KREBSFORSCHUNG

 

Personalisierte Krebstherapie – Realität und Traum


Liebe Leserin, lieber Leser,

Jedes Jahr erkranken in Deutschland fast eine halbe Million Menschen an Krebs. Bei mehr als der Hälfte der Patienten wirken die Medikamente, die verordnet werden, nicht oder müssen wegen starker Nebenwirkungen abgesetzt werden. Das Hauptproblem bei der Tumorbehandlung ist, dass fast jeder Patient anders auf die Therapie reagiert. So wie wir Menschen unterschiedlich sind, so zeigen auch die Tumorzellen ihre sehr individuellen Reaktionen auf den jeweiligen Therapieverlauf. Deshalb sprechen einige Patienten auf eine Behandlung gut an, während die gleiche Therapie bei anderen Patienten mit gleicher Diagnose keine positive Wirkung zeigt. Die Ursache für diese Reaktion ist die molekulare Signatur eines Tumors, die in der Form von Genen und Proteinen auch innerhalb eines Tumortyps sehr unterschiedlich ist. Deshalb sind die Erkenntnisse aus den Protein- und Rezeptoranalysen von Tumoren (Biomarker) von großer Bedeutung, um sie für eine zielgerichtete (Target) Therapie zu nutzen. Mit Hilfe der Biomarker sollte man schon vor Therapiebeginn herausfinden, welcher Wirkstoff in welcher Dosierung dem einzelnen Patienten am meisten hilft.

Eine ideale Lösung wäre ein molekulares Profil des Tumors für jeden Patienten vor der Therapie zu erstellen, um diesen dann direkt und selektiv zu bekämpfen.

Tumorzentren sind schon auf dem Weg. Prof. Dr. Christof von Kalle, Direktor am Nationalen Centrum für Tumorerkrankungen (NCT) in Heidelberg, plant in einigen Jahren, allen Patientinnen und Patienten eine Gesamtgenomanalyse anzubieten. Aus der Genomanalyse können Informationen gewonnen werden, die über die Wirksamkeit der geplanten Behandlung entscheiden. Es gibt bereits Testsysteme wie Oncotype DX®, wo 21 Krebsgene analysiert werden und MammaPrint® mit der Analyse von 70 Genen bei Brustkrebs sowie AmpliChip® bei Leukämie mit der Analyse von 300 Genen.

Schon jetzt stehen auch einige Medikamente zur Verfügung, die zielgerichtet gegen bestimmte Mutationen in den Krebszellen eingesetzt werden können. Bei Patienten mit einer Mutation verbessert diese Therapie, im Vergleich zu einer nicht zielgerichteten Therapie, die Ansprechrate von 5 Prozent auf 27 Prozent und die mittlere Überlebenszeit von 9,7 Monaten auf 15,8 Monate.

Leider wurde bis jetzt nur bei etwa 20 Prozent aller Krebsbehandlungen die personalisierte Therapie eingesetzt. Einer der Faktoren, der diese Entwicklung bremst, sind die sehr hohen Kosten für diese Behandlung.

Wer soll, wer kann diese Kosten tragen? Und ist unser Gesundheitssystem überhaupt bereit für die personalisierte Krebstherapie?

Eine andere Ursache für die zögerliche Entwicklung der personalisierten Therapie liegt in der Zahl der genetischen Veränderungen, die in den Krebszellen festgestellt werden. So zeigen sich z.B. beim Bauchspeicheldrüsenkrebs mehrere tausend Mutationen. Krebszellen sind auch nicht passiv und warten nur auf toxische Wirkung von Medikamenten. Sie lernen schnell, ähnlich wie Viren, sich dem Angriff der Wirkstoffe zu entziehen,was zur Resistenzentwicklung gegen diese Medikamente führen kann.

Der Pharmaindustrie geht es nicht allein um eine individuelle Therapie für jeden Patienten, sondern um eine „stratifizierende Arzneimitteltherapie“, die nur für eine Gruppe von Patienten profitabel oder nicht profitabel sein kann. Deshalb sind die großen Erwartungen, die die personalisierte Medizin in der Onkologie weckte, bislang nicht erfüllt. Es ist und bleibt wahrscheinlich bis auf weiteres ein Traum, dass die Krebstherapie für jeden Patienten genau die Behandlung anbietet, die er und nur er braucht.

 

Lungenmetastasen – Möglichkeiten der chirurgischen Therapie

Prof. Dr. med. Joachim Pfannschmidt, Chefarzt der Klinik für Thoraxchirurgie Helios Klinikum Emil von Behring GmbH

Die Chirurgie der Lungenmetastasen gehört heute zum Standard onkologischer Therapieverfahren. Ein günstiger Effekt auf das Langzeitüberleben nach kurativer Operation ist wahrscheinlich. Vor jeder Operation mit kurativem Ansatz muss stets eine Metastasierung außerhalb des Brustkorbs ausgeschlossen und eine kurative Behandlung des Primärtumors gesichert oder abgeschlossen sein. Die Rate der operationsbedingten Komplikationen wird mit 10 bis 15% angegeben und ist im Wesentlichen vom Allgemeinzustand des Patienten und dem Resektionsausmaß abhängig. Die operationsbedingte Sterblichkeit liegt unter 1%.

Rezidivoperationen von Lungenmetastasen unterliegen wie der Ersteingriff denselben Voraussetzungen in technischer, funktioneller und onkologischer Hinsicht. Die Patientenselektion sollte in einem Tumorboard unter Berücksichtigung bekannter Prognosefaktoren erfolgen. Dabei setzt die Indikationsstellung die Erwartung einer kompletten Resektion voraus.

Lungenmetastasen finden sich häufig in der fortgeschrittenen Metastasierung bei Karzinomen des Kolons und Rektums, der Niere, der Mamma, der Prostata und des Mund-Rachen-Raumes. Darüber hinaus kommt es zu einer die Lungen präferierenden Metastasierung beim Chorionkarzinom, Osteosarkom, Weichteilsarkom, Hodentumor, speziellen Knochentumoren wie dem Ewing-Sarkom und Schilddrüsenkarzinom.

Ist die Metastasierung auf die Lunge beschränkt, so haben chirurgische Verfahren ihre Berechtigung im onkologischen Konzept. Da eine Überlebensprognose ohne Operation nicht gestellt werden kann und der Nutzen eines Eingriffs bisher in keiner prospektiv randomisierten Studie überprüft wurde, muss die Indikation zur Metastasektomie jedoch individuell gestellt werden.

Bereits Thomford postulierte 1965 Grundsätze zur Indikationsstellung, die im Wesentlichen noch heute Gültigkeit haben.

Kriterien der Indikationsstellung zur Lungenmetastasenchirurgie sind:
• die technische Resektabilität,
• ein tolerables allgemeines und funktionelles Operationsrisiko,
• die Kontrolle des Primärtumorgeschehens und
• der Ausschluss einer weiteren, extrathorakalen Metastasierung.

Bei diffuser metastatischer Durchsetzung der Lunge oder bei technischer oder funktioneller Inoperabilität haben lokale Verfahren wie Chirurgie und Strahlentherapie allenfalls palliativen Charakter.

In der Absicht, eine Rationale der Lungenmetastasenchirurgie zu entwickeln, wurde 1991 das Internationale Registry of Lung Metastasis konstituiert. Dazu wurden 5.206 Patienten nach Lungenmetastasenchirurgie unter kurativer Indikation und mit unterschiedlichen Primärtumorhistologien analysiert. Patienten mit kompletter Resektion (R0) eines solitären Herdbefundes und einem krankheitsfreien Intervall von über 3 Jahren nach der Operation des Primärtumors wiesen dabei die günstigste Prognose auf. Wenngleich diese Untersuchung kein Kontrollkollektiv nicht operierter Patienten beinhaltet, so weist das signifikant günstigere 5-Jahres-Überleben nach R0 Resektion (36%) gegenüber demnach inkompletter Resektion (15%) auf die Chancen der Metastasektomie hin. Sind keine sinnvollen Behandlungsalternativen vorhanden, so kann im Einzelfall auch bei ungünstigen Prognosefaktoren, wie z.B. einer synchronen Metastasierung, die Indikation zur Metastasektomie gestellt werden.

Heute sollte die Indikation zur Lungenmetastasenchirurgie unter kurativer Zielsetzung in einem interdisziplinären Tumorboard individuell entschieden werden.

Rezidiv-Operationen

Patienten, die eine Rezidivmetastasierung isoliert in der Lunge aufweisen, sollten für eine erneute Resektion evaluiert werden.

Dabei scheint ein großer Zeitabstand zwischen der ersten Lungenmetastasenresektion und dem Auftreten weiterer Rezidivmetastasen prognostisch günstiger zu sein. Für unterschiedliche Primärtumoren konnten Jaklitsch und Mitarbeiter zeigen, dass Patienten, die sich einer einmaligen Rezidivoperation unterzogen, ein medianes Überleben von über 60 Monaten, mit zwei Rezidivoperationen von 34,7 Monaten und mit drei und mehr Re-Operationen von 45,6 Monaten erreichten. Patienten, bei denen eine erneute Operation nicht möglich erschien, wiesen hingegen ein mittleres Überleben von 8 Monaten auf.

Diagnostik

Staginguntersuchungen werden abhängig von der zugrundeliegenden Tumorerkrankung geplant, wobei in der Regel die Sonographie und CT des Abdomens, Skelettszintigraphie und die MRT des Schädels durchgeführt werden.

Grundsätzlich muss ein Lokalrezidiv des Primärtumors durch fachärztliche Untersuchungen ausgeschlossen werden; dazu zählen in der Regel die CT oder MRT der Primärtumorregion sowie bei kolorektalen Tumoren die Koloskopie.

Voraussetzung für die Therapieplanung zur Lungenmetastasenchirurgie ist die Computertomographie. Die FDG-PET/CT bietet für PET-utilisierende Tumore die Möglichkeit des Ausschlusses extrathorakaler Tumormanifestationen und zugleich der metabolischen Charakterisierung pulmonaler Rundherde. Die Magnetresonanztomographie (MRT) hat hingegen die Diagnostik von Lungenmetastasen, verglichen mit der konventionellen CT, nicht verbessert. Sie hat ihre spezifische Indikation zum Nachweis eines Tumoreinbruchs in große Gefäße, Herzhöhlen, Thoraxwand, Wirbelsäule und kann zum Ausschluss einer synchronen Lebermetastasierung hilfreich sein.

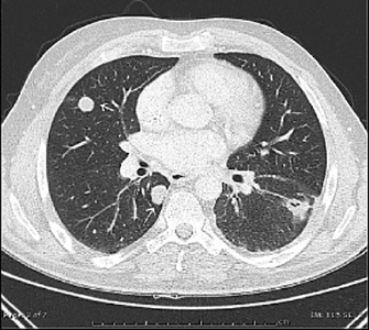
Nach Chemotherapie, im Besonderen bei Hodentumoren, können Läsionen als sog. sterilisierte Metastasen zurückbleiben. Histologisch enthalten diese Formationen im günstigsten Fall Fibrose und Nekrose in Abwesenheit vitaler Tumorzellen (Abb. 1).

Abb.1 Lungenmetastasen eines nicht seminomatösen Hodentumors (Z.n. Chemotherapie). Die Computertomographie zeigt zwei solide Herdbefunde rechts (Segment 5 und 6) sowie eine einzelne Metastase mit zentraler Einschmelzung im linken Unterlappen (Segment 6)

Die flexible Tracheo-Bronchoskopie ist fester Bestandteil der präoperativen Diagnostik. Sie dient zur Beurteilung der Schleimhaut sowie zur Histologiesicherung bei zentraler Metastasenlokalisation und kann darüber hinaus in Verbindung mit der Ultraschall-Bronchoskopie (bildgebendes Verfahren zur Spiegelung) zur Dignitätsbestimmung der an den Bronchien gelegenen und mediastinalen Lymphknoten hilfreich sein.

Zur Histologiesicherung bei peripheren Rundherden bis 3 cm Durchmesser hat sich die VATS (video-assistierte Thoraxchirurgie) etabliert, die als diagnostisches Verfahren mit niedriger Komplikationsrate eingesetzt werden kann.

Inwieweit die VATS-Resektion von Lungenmetastasen als kuratives Verfahren mit vergleichbarer lokaler Radikalität wie die Thorakotomie Verwendung finden kann, muss in Studien überprüft werden.

Innerhalb einer aktuellen, prospektiv randomisierten Studie wurden mittels der intraoperativen Palpation in 20 Prozent der Patienten maligne Lungenrundherde gefunden, die nicht in der präoperativen CT erkannt wurden. Unter kurativer Zielsetzung werden somit thorakoskopische Verfahren bisher nicht grundsätzlich empfohlen, da das Lungengewebe nicht entsprechend dem offenen Verfahren eines Tastbefundes zugänglich ist.

Operationsverfahren

Der Standardeingriff ist die umschriebene atypische (lungengewebesparende) Resektion, seltener werden anatomische Resektionen wie die Lungensegmentresektion oder Lobektomie erforderlich (Abb. 2).

Abb. 2 Intraoperativer Befund; Keilresektion einer Lungenmetastase (Segment 8, links)

Angesichts einer zentralen Metastasierung mit Einbeziehung der blutgefäß- und nervennahen Strukturen kann im Einzelfall auch die Pneumonektomie notwendig sein. Falls die funktionellen Reserven eine anatomische Resektion nicht erlauben, muss mittels Neodym-YAG Laser eine atypische Resektion aus zentralen Lungenabschnitten oder bei multipler Metastasierung versucht werden.

Mit 10 bis 15% werden postoperative Komplikationen nach pulmonaler Metastasektomie angegeben. Dabei sind besonders die rezidivierende postoperative Sekretretention mit Atelektasebildung und Pneumonie, Herzrhythmusstörungen sowie bronchopleurale Fisteln zu nennen. Die Morbidität wird wesentlich vom Allgemeinzustand, Zugangsweg und Ausmaß der Resektion bestimmt.

Strahlentherapie

Die stereotaktische Bestrahlung (ein millimetergenaues, hocheffektives und umliegende Organe schonendes Verfahren) ist eine effektive und gleichzeitig schonende, nichtinvasive Behandlungsalternative solitärer Lungenmetastasen bei funktionell inoperablen Patienten. Durch aufwändige Bestrahlungsplanung und präzise Strahlführung können in ein bis fünf Bestrahlungsfraktionen biologisch effektive Dosen von insgesamt mehr als 100Gy appliziert werden. Gleichzeitig wird durch einen steilen Dosisgradienten am Rande des Befundes eine maximale Schonung des umliegenden gesunden Gewebes sicher gestellt.

Selbst bei Metastasen der als strahlenresistent geltenden Melanome und Nierenzellkarzinome lassen sich durch die stereotaktische Bestrahlung lokale Kontrollraten von 88 Prozent nach 18 Monaten erreichen. Therapiebedingte Nebenwirkungen sind aufgrund der kleinen Bestrahlungsvolumina selten.

Spezielle Aspekte verschiedener Primärtumore KoIon-Rektum-Karzinom

Die Lungenmetastasenchirurgie stellt bei 1–2% der Patienten mit kolorektalem Karzinom eine Behandlungsoption dar. Während Patienten im Stadium IV unter Einsatz moderner Antikörpertherapien ein medianes Überleben von bis zu 24 Monaten aufweisen, kann hingegen nach Metastasektomie eine 5-Jahres Überlebensrate von bis zu 68% erreicht werden.

Bei gleichzeitigem Vorhandensein von Lebermetastasen wird nach sequentieller pulmonaler und hepatischer Metastasektomie eine 5-Jahres-Überlebensrate von 42% berichtet. Dabei wird sowohl eine metachrone gegenüber der synchronen Metastasierung als auch eine Zeitfolge des primären Auftretens von Lebermetastasen vor einer Lungenmetastasierung als prognostisch günstig bewertet. Für die Resektion von Lebermetastasen wird aktuell der Stellenwert einer begleitenden (neo-)adjuvanten Chemotherapie diskutiert. Inwieweit ähnliche Behandlungskonzepte für die Metastasenchirurgie an der Lunge Bedeutung gewinnen können, bleibt abzuwarten.

Nierenzellkarzinom

Nierenzellkarzinome metastasieren bevorzugt in der Lunge, wobei dies sowohl hämatogen als auch lymphogen geschehen kann. Wenngleich Systemtherapien mit Tyrosinkinasinhibitoren und mTOR-Inhibitoren mit einer Verbesserung des progressionsfreien Überlebens einhergehen, bleibt die Lungenmetastasenchirurgie in einem kurativen Behandlungskonzept akzeptiert.

Günstige Voraussetzungen für die Operation sind metachron auftretende, solitäre Herdbefunde oder wenige periphere Läsionen. 10-Jahres-Überlebensraten nach Lungenmetastasenresektionen sind mit 42% berichtet worden.

Mammakarzinom

Das fortgeschrittene Mammakarzinom infiltriert häufig Lunge und Pleura durch direkte Invasion oder durch die im Körper verteilte Streuung über die Lymphbahnen oder über die Blutbahn. Patientinnen mit isolierten Lungenmetastasen finden sich selten, in der Regel ist eine lokale oder diffuse Lymphangiose mit einzelnen oder multiplen Lungenmetastasen anzutreffen.

Für Patienten mit metachroner Metastasierung und limitierter Anzahl von Herdbefunden, vornehmlich in einem Lungenlappen, werden nach Resektion der Lungenmetastasen und nach Ausschöpfung aller Optionen der Systemtherapie Langzeitergebnisse mit 5-Jahres-Überlebensraten von 40 bis 50 % berichtet.

Nicht-seminomatöse Keimzelltumore

Für die nicht-seminomatösen Hodentumore gilt, dass nach erfolgter Chemotherapie (Cisplatinhaltige Kombinationen) möglichst alle verbliebenen Läsionen entfernt werden. Wenngleich ein Ansprechen auf die Chemotherapie oft von einem drastischen Abfall der Tumormarker (-Fetoprotein, ß-HCG) begleitet ist, entbindet die Normalisierung der Tumormarker nicht von der Entfernung von Resttumoren in der Lunge. Diese können in der histologischen Aufarbeitung neben Nekrosen und Narbengewebe auch aktive Tumoranteile aufweisen. Als Indikationen zur Resektion pulmonaler Herdbefunde gelten:

• jegliche Resttumoren in der Lunge, nach Chemotherapie und Normalisierung der Tumormarker
• fehlendes Ansprechen auf Chemotherapie
• partielles Ansprechen auf Chemotherapie
• Rezidiv nach Chemotherapie.

5-Jahres Überlebensraten von 79 bis 94% sind in Serien berichtet; postoperativ gilt die histologisch komplette Rückbildung unter Chemotherapie bei Solitär- und einseitigen Metastasen als günstige Konstellation.

Sonstige Tumore wie Lungenmetastasen von Sarkomen, Melanomen oder HNO-Tumoren

Für Lungenmetastasen anderer Primärtumoren hat der allgemeine Indikationskatalog Gültigkeit, d.h. bei lokaler Resektabilität in funktioneller und technischer Hinsicht ist die Operation vorzunehmen, sofern der Primartumor saniert oder kontrolliert ist und keine wirksamere lokale oder systemische Behandlung verfügbar ist.

Schlussfolgerung

Mit Diagnosestellung einer Lungenmetastasierung verbindet sich häufig eine ungünstige Prognose mit kurzer Überlebenszeit. In diesen Situationen wird in der Regel eine palliative Chemotherapie eingeleitet. Hier sollten jedoch vorher, in einem interdisziplinären Tumorboard, die Möglichkeiten der Metastasenchirurgie diskutiert werden. Finden sich Gründe zur Durchführung einer palliativen Resektion, so bleibt neben der Symptomkontrolle die lokale Radikalität ein grundsätzliches Ziel.

Das Überleben nach Lungenmetastasenresektion ist abhängig von der Art des Primärtumors und ist im Fall der chemotherapiesensiblen Tumoren nur eingeschränkt der Chirurgie zuzuschreiben.

Der Einwand, dass mit der Metastasenchirurgie ein lokales Verfahren für eine disseminierte Erkrankung zum Einsatz kommt, deren Erfolg nicht innerhalb prospektiv randomisierter Untersuchungen validiert worden ist, ist gerechtfertigt.

Aus diesem methodischen Grunde lässt sich eine wissenschaftlich zweifelsfreie Antwort auf die Frage der Heilung bzw. dauerhaften Kuration als Folge der Lungenmetastasenchirurgie bis zum heutigen Tage nicht eindeutig finden. Dennoch erscheint die in zahlreichen Fallserien nachgewiesenen günstigen Langzeitüberleben der an Lungenmetastasen operierten Patienten, ein deutlicher Beleg für einen günstigen prognostischen Effekt der Metastasenchirurgie zu sein.

Erste prospektiv randomisierte Studien zum Einfluss der Lungenmetastasenchirurgie sind für das kolorektale Karzinom mit dem PulMiCC Trial und für das Nierenzellkarzinom mit der SMAT Studie begonnen worden. Angaben zur Lungenmetastasenchirurgie finden sich lediglich innerhalb der gültigen S1-Leitlinie für das Osteosarkom und der S3-Leitlinie für das kolorektale Karzinom, auch hier basiert deren Evidenz indes auf publizierten Ergebnissen retrospektiver Fallserien.

(Literatur und Bildquellen beim Autor)

Weitere Informationen:
HELIOS Klinikum Emil von Behring GmbH
Klinik für Thoraxchirurgie, Lungenklinik Heckeshorn
Chefarzt Professor Dr. med. Joachim Pfannschmidt
Walterhöferstr. 11, 14165 Berlin
Telefon 030 8102-2248
joachim.pfannschmidt@helios-kliniken.de

 

„Wer das Ziel kennt, kann entscheiden. Wer entscheidet, findet Ruhe. Wer Ruhe findet, ist sicher. Wer sicher ist, kann überlegen. Wer überlegt, kann verbessern.“(Konfuzius)

 

Berufsbedingte Krebserkrankungen - Interview mit Prof. Dr. med. Dennis Nowak

Prof. Dr. med. Dennis Nowak, Direktor des Instituts und der Poliklinik für Arbeits-, Sozial- und Umweltmedizin, Facharzt für Arbeitsmedizin, Internist/Lungen- und Bronchialheilkunde, Allergologie, Umweltmedizin, Vertreter der Fächer Arbeits- und Umweltmedizin der Technischen Universität München

Herr Professor Nowak, herzlichen Dank, dass Sie Zeit für ein Interview gefunden haben und dass wir Ihnen, stellvertretend für unsere Leserinnen und Leser, einige Fragen zu diesem Thema Ihres Fachgebietes stellen dürfen.

Wie stellt sich die Situation der berufsbedingten Krebsfälle heute in Deutschland dar?

Dazu will ich mit einigen Zahlen beginnen. Bis zu 70.000 mal pro Jahr melden Ärzte, Unternehmer, Patienten einen „begründeten Verdacht“ auf eine Berufskrankheit. In Deutschland geht man gegenwärtig von 4.000 bis 5.000 Verdachtsmeldungen auf berufsbedingte Krebserkrankungen im Jahr aus. Ich gehe davon aus, dass es eine wesentlich höhere Dunkelziffer gibt. Anerkannt werden nur ca. 2.000 Fälle.

Die Anerkennung hat für Betroffene und ihre Angehörigen eine große Bedeutung. Ihnen stehen wichtige gesetzliche Leistungen wie Heilbehandlungen, Reha-Maßnahmen, Renten- und Hinterbliebenenleistungen zu.

Es wird geschätzt, dass von den jährlichen Krebserkrankungen ca. 4% durch berufliche Belastungen verursacht sind. Mit der Verdachtsmeldung beginnt dann eine gewaltige Maschinerie der so genannten Amtsermittlung. Für die Betroffenen und ihren Arzt nicht selten ein Buch mit sieben Siegeln.

Herr Professor Nowak, Sie dürfen an dieser Stelle gern Ihr Buch zu diesem Thema vorstellen.

Ja, danke, das tue ich gern. Ich habe versucht, ein wenig Licht ins Dunkel zu bringen. Der Titel „Verdacht auf Berufskrankheiten? Von der Diagnose bis zum Gutachten – darauf kommt es im Berufskrankheiten-Verfahren an!“ Weitere Informationen dazu finden Interessierte auf meiner Homepage.

Wann kann man generell von Berufskrankheiten sprechen?

Der Verordnungstext belehrt uns dazu trocken: „Berufskrankheiten sind Erkrankungen, die durch besondere Einwirkungen verursacht sind, denen bestimmte Personengruppen durch ihre versicherte Tätigkeit (d.h. durch ihre Arbeit) in erheblich höherem Maß ausgesetzt sind als die übrige Bevölkerung. Rechtlich handelt es ich um Krankheiten, die die Bundesregierung durch Rechtsverordnung mit Zustimmung des Bundesrates als Berufskrankheiten bezeichnet und die Versicherte infolge einer den Versicherungsschutz nach §§2, 3 oder 6 begründeten Tätigkeit erleiden. (§9 Abs. 1 SGB VII)“.

Klar ist jetzt nur: Es muss sich eindeutig um eine medizinisch definierte Erkrankung handeln, nicht um Symptome.

Ein komplizierter Prozess nimmt seinen Verlauf. Ein Beispiel soll das noch einmal verdeutlichen: Nackenschmerzen, Schulterschmerzen, Augenreizung oder Reizung der Atemwege sind keine Berufskrankheit. Schwerhörigkeit, Ekzeme, Asthma, Bandscheiben bedingte Erkrankungen können eine Berufskrankheit sein.

Das grundsätzliche Vorgehen ist durch § 7 „Informationsermittlung und Gefährdungsbeurteilung“ der Gefahrstoffverordnung vorgegeben. Aus der Einhaltung dieser Kriterien ergeben sich logischer Weise präventive Maßnahmen des Arbeitsschutzes für die Beschäftigten.

Wie sollte eine gezielte Anamnese aussehen?

Ja, da die Ergebnisse einschneidende Konsequenzen bedeuten können, muss sehr gründlich und vor allem rückblickend recherchiert und hinterfragt werden.

Die folgenden Fragen sollten geklärt werden:

  • Welche Berufe oder Tätigkeiten wurden ausgeübt? Der zu prüfende relevante Zeitrahmen kann 10-40 Jahre oder auch noch länger zurück liegen.
  • Passt die histologisch diagnostizierte Neoplasie (Neubildung von Körpergewebe) zum Kanzerogen und der beruflichen Tätigkeit?
  • Wie kann die diagnostizierte Kanzerogenmenge bewertet werden?
  • Begründet die Diagnostik eine Berufskrankheiten-Verdachtsanzeige?

Und dann kann ergebnisabhängig das Berufskrankheiten-Verfahren beginnen.

Gibt es geltende Richtlinien für die Identifikation krebserregender Einwirkungen?

Diese Frage macht den Kontext zur Identifikation von Berufskanzerogenen und der Vermeidung von entsprechenden Expositionen deutlich – und damit auch den präventivmedizinischen Aspekt. Chemische Stoffe oder Stoffgruppen, die mit der Entstehung maligner Erkrankungen assoziiert sind, werden u.a. von der IARC und der Senatskommission zur Prüfung gesundheitsschädlicher Arbeitsstoffe der Deutschen Forschungsgemeinschaft (DFG; MAKund BAT-Werte-Listen) veröffentlicht. Die wissenschaftliche Bewertung erfolgt im Hinblick auf eine Prävention.

Die International Agency for Research on Cancer (IARC) der WHO bezeichnet diejenigen Einwirkungen als krebserregend, die die Inzidenz (Häufigkeit) solcher malignen Tumoren erhöhen.

Wie ist das Vorgehen bei dem Verdacht: Diagnose Berufskrankheit (BK) Krebs?

Das Vorgehen bei einem begründeten Verdacht auf die Diagnose „Berufskrankheit Krebs“ muss den geltenden Regeln entsprechen. Jeder Arzt ist in der Meldepflicht. Das gilt auch, wenn erst nach dem Tod eines Versicherten der Verdacht auf eine Berufskrankheit (BK) auftritt. Die heute auftretenden berufsbedingten Krebserkrankungen werden zahlenmäßig von den Folgen einer Asbestexposition sowie von Expositionen im Uranbergbau dominiert. Auf das Konto von Asbest kommen nachweisbar Lungenkrebs, Kehlkopfkrebs sowie Rippen- und Bauchfellkrebs. Die kanzerogene ionisierende Strahlung durch Uran und Uranfolgeprodukten verursacht im Wesentlichen Blutkrebs und Lungenkrebs.

Diese genannten Expositionen können zwanzig bis sogar fünfzig Jahre zurückliegen. Asbest verursacht mit ca. 70% die meisten berufsbedingten Krebse.

Aromatische Amine kommen als Zwischenprodukte in der chemischen Industrie vor. Sie können zu Blasenkrebs führen, polyzyklische aromatische Wasserstoffe zu Lungenkrebs, Eichen- und Buchenholzstaub zum Nasenhaupt- und Nasennebenhöhlenkrebs und Benzol zu Leukämie und zu Non-Hodgkin-Lymphomen. Zu Nierenkrebs kann das in Lösungsmitteln enthaltene Trichlorethen oder das Kadmium beispielsweise beim Goldschmieden führen. Daneben ist ohne Zweifel das inhalative Rauchen der bedeutendste Risikofaktor für die Erkrankung an Lungenkrebs. Ebenso ist das Passivrauchen am Arbeitsplatz als Risikofaktor für Lungenkrebs inzwischen durch epidemiologische Studien belegt worden. Passivrauch ist als Humankanzerogen eingestuft.

Welche Maßnahmen zum Schutz vor beruflich bedingten Krebserkrankungen greifen heute?

Am wirksamsten ist die Regelung, eine krebsauslösende Substanz durch eine nicht krebsauslösende Substanz zu ersetzen. Einfach gesagt, aber in bestimmten Arbeitsprozessen nicht immer leicht machbar. Dann gilt natürlich zum Schutz vor dem Kontakt mit dieser Substanz: Zugangsbeschränkungen und Begrenzung der Expositionsdauer, als letztes kommen persönliche Schutzkleidung wie Atemschutz. Arbeitsmedizinische Vorsorgeuntersuchungen – ebenso nachgehende Untersuchungen – sind in Deutschland zum Schutz des Arbeitnehmers Pflicht des Arbeitgebers.

Sehr geehrter Herr Professor Nowak, ganz herzlichen Dank für das Gespräch. Gern weisen wir unsere Leserinnen und Leser auf Ihre Website hin. Das Gespräch führte Dagmar Moldenhauer, Redaktionsleiterin.

Weitere Informationen: www.arbeitsmedizin.klinikum.uni-muenchen.de

 

Aktuelles aus der Krebsforschung

Neues Enzym – mit Potenzial bei Krebs

Der Schimmelpilz Rhizopus microsporus bildet den Naturstoff Rhizoxin. Rhizoxin gehört zur Gruppe der Polyketide und hindert Krebszellen daran, sich zu teilen.

Forscher interessierten sich speziell dafür, wie eine Kettenverzweigung in das Molekül eingeführt wird, denn genau diese Verzweigung ist für dieWirkung des Moleküls gegen Krebszellen wichtig. Für diesen Reaktionsschritt, so fanden die Forscher heraus, ist ein bisher unbekanntes Enzym verantwortlich. Jetzt haben die Wissenschaftler aus Tübingen die atomare Struktur des Enzyms aufgeklärt.

Die Erkenntnisse sind von großer Bedeutung für die Entwicklung neuer Wirkstoffe gegen Krebs. Die Enzym-Struktur wird nun auf einer Protein-Datenbank erfasst, auf die Wissenschaftler weltweit zugreifen können.
(Quelle: Leibniz-Institut für Naturstoff-Forschung und Infektionsbiologie, Hans-Knöll-Institut (HKI))

Amerikanische Studie prüft Langzeiteffekte des Darmkrebs-Screenings

US-Forscher haben in einer Langzeitauswertung zweier Studien die Darmkrebsprophylaxe mittels Koloskopie und Sigmoidoskopie analysiert.

Das Team um Dr. Reiko Nishihara vom Dana-Farber Cancer Institute in Boston stützte sich dabei auf die Daten von fast 90.000 Teilnehmern der Nurses Health Study bzw. der Health Professionals Follow-up Study. Innerhalb einer 22jährigen Nachbeobachtungszeit traten erwartungsgemäß kolorektale Tumoren bei Patienten, die sich einer Darmspiegelung unterzogen hatten, seltener auf. Beide Formen der Endoskopie haben die Darmkrebsmortalität senken können. Wesentlich stärker war allerdings dabei die Darmspiegelung mit 78% gegenüber der Sigmoidoskopie mit 41%. Nur eine Inspektion des gesamten Dickdarms konnte die Sterblichkeit verringern.
(Quelle: Reiko Nishihare et al., N Engl J Med 2013)

 

Die Macht der Darmflora über Gesundheit und Krankheit

Dr. med. Thomas Ellwanger, Herborn, MVZ Institut für Mikroökologie GmbH, Leitung Medizinische Wissenschaften

In der richtigen Zusammensetzung fördern die Bakterien in unserem Darm die Gesundheit. Sie schließen unverdauliche Nahrungsbestandteile auf, versorgen uns mit Vitaminen und trainieren das Immunsystem. Gerät die bakterielle Gemeinschaft jedoch aus dem Gleichgewicht, kann das weit reichende Folgen haben. Allergien, chronisch-entzündliche Darmerkrankungen und Krebs werden zum Beispiel mit einer veränderten Darmflora in Verbindung gebracht.

Die bakterielle Besiedlung des Menschen beginnt mit seiner Geburt. Und ebenso früh kann der Grundstein für eine ungünstig zusammengesetzte Darmflora gelegt werden. Wie zahlreiche Studien des letzten Jahrzehnts zur bakteriellen Besiedlung gezeigt haben, ist die Darmflora für den Menschen umso gesünder, je vielfältiger sie ist. Doch unser modernes Leben wirkt der bakteriellen Vielfalt entgegen. So unterbindet zum Beispiel eine Geburt per Kaiserschnitt den Kontakt des Neugeborenen zu den Bakterien des Geburtskanals und damit die Besiedlung mit gesundheitsfördernden Bakterien. Ältere Geschwister oder auch eine Bauernhofumgebung tragen zur bakteriellen Vielfalt bei – sie fehlen oft in einer modernen Gesellschaft. Bei Kaiserschnittgeburten, fehlenden Geschwistern und städtischer Umgebung steigt das Risiko der Kinder, an einer Allergie oder Asthma zu erkranken.

Bakterielle Immunerziehung

Verantwortlich dafür ist die fehlende Immunerziehung während einer empfindlichen Phase in den ersten Lebensmonaten. Denn zu diesem Zeitpunkt lernt das Immunsystem anhand der Darmflora, zwischen gefährlich und ungefährlich zu unterscheiden. Ist die bakterielle Vielfalt eingeschränkt, kann das Immunsystem weder eine ausreichende Toleranz gegenüber ungefährlichen Stoffen entwickeln, noch genügend Schlagkraft gegenüber Krankheitserregern ausbilden. Damit trägt eine ungünstig veränderte Darmflora zur Entstehung von Allergien, Autoimmunerkrankungen oder auch einem geschwächten Immunsystem bei.

Bakterien für eine gesunde Darmschleimhaut

Doch der Einfluss der Darmflora endet nicht mit dem ersten Lebensjahr. Die Darmflora unterstützt uns ein Leben lang. Mit der Stoffwechselleistung von 100 Billionen Bakterien schließt sie Nahrungsbestandteile für uns auf und stellt die Energieversorgung der Darmschleimhaut sicher. Denn die Hauptenergiequelle der Darmschleimhaut ist Buttersäure, die wir nicht in ausreichender Menge selbst bilden oder mit der Nahrung aufnehmen. Buttersäureproduzenten wie das Bakterium Faecalibacterium prausnitzii sind deshalb für die Bereitstellung der Buttersäure verantwortlich. Dafür arbeiten die Bakterien im Team. Den Ausgangsstoff für die Buttersäureproduktion liefert ein anderes Bakterium: Akkermansia muciniphila. A. muciniphila lebt in und von der Schleimschicht zwischen Darmschleimhaut und Darminhalt. Bisher stuften Wissenschaftler die schleimabbauenden Fähigkeiten von A. muciniphila als schädlich ein, doch inzwischen haben sie erkannt: der Abbau regt die Becherzellen an, neuen Schleim zu produzieren. Gleichzeitig nutzt F. prausnitzii die Abbauprodukte als Nährstoff und bildet daraus die dringend benötigte Buttersäure (Abb. 1). Das komplexe Zusammenspiel von A. muciniphila, F. prausnitzii und den Zellen der Darmschleimhaut verdeutlicht, wie stark die einzelnen Bestandteile des Ökosystems Darm ineinander verzahnt sind und welche Folgen Veränderungen in der Darmflora haben können.

Abb. 1 Kybernetischer Regelkreis zwischen Faecalibacterium prausnitzii und Akkermansia muciniphila

Morbus Crohn: durchlässige Barriere

Nur eine gut genährte Darmschleimhaut kann ausreichend Schleim produzieren und eine dichte Barriere gegenüber Eindringlingen bilden. Werden Schleimschicht und Darmschleimhaut dagegen durchlässig (Abb. 2), können Bakterien ins Gewebe vordringen, das Immunsystem alarmieren und eine Entzündung auslösen. Das ist zum Beispiel bei der entzündlichen Darmerkrankung Morbus Crohn (Abb. 3) der Fall. Wie Studien zeigen konnten, sind die Zellzahlen von F. prausnitzii bei Patienten mit Morbus Crohn vermindert.

Abb. 2 Durchbrochene Darmschleimschicht – Erhöhtes Risiko für die Entstehung von Morbus Crohn

Abb. 3 Morbus Crohn im Dünndarm: Entzündungen und typisches „Pflastersteinrelief“ (endoskopischer Befund) (Quelle: Morbus Crohn disease©selvanegra_iStock.jpg)

Immunsystem und Darmflora kommunizieren

Die Darmflora unterstützt jedoch nicht nur die Bildung einer dichten Schleimschicht und einer intakten Schleimhautbarriere. Sie konkurriert auch mit Krankheitserregern um Nährstoffe und Bindestellen an der Darmschleimhaut und hindert sie damit an der Vermehrung. Gleichzeitig dient sie dem Immunsystem ein Leben lang als Trainingspartner. Über bestimmte Rezeptoren – zum Beispiel an den dendritischen Zellen – kommunizieren die Bakterien mit dem Immunsystem. Wie Fühler ertasten die dendritischen Zellen die Bakterien in der äußeren Schleimschicht und im Hohlraum des Darms und geben entsprechende Signale an andere Immunzellen ab.

Das kann die B-Lymphozyten aktivieren und auf die Reise schicken: über das Lymphsystem in die Lymphknoten im Bauchraum (mesenteriale Lymphknoten). Dort vermehren sie sich und wandeln sich zu Plasmazellen um, die in den Blutstrom eintreten und sich auf die verschiedenen Schleimhautbereiche des Körpers verteilen. Der Großteil der Plasmazellen kehrt in die Darmwand zurück. Diesen Prozess bezeichnet man als Homing (Abb. 4). Etwa 20 % der aus dem Darm stammenden B-Lymphozyten lassen sich dagegen in den übrigen Schleimhautbereichen wie dem Mund-Nasen-Rachenraum, den Bronchien oder dem Urogenitaltrakt nieder. Dort beginnen die Plasmazellen mit der Synthese des Immunglobulin A, das die Schleimhaut als sekretorisches Immunglobulin A (sIgA) absondert. So überträgt sich das bakterielle Immuntraining im Darm auf sämtliche Schleimhautbereiche des Körpers.

Abb. 4 Im Darm aktivierte Lymphozyten wandern durch den Körper und sorgen auf allen Schleimhäuten durch sekretorische Antikörper für Infektabwehr (Homing)

Darmflora bei Krebs verändert

Eine intakte Darmflora und ein intaktes Immunsystem gehen deshalb Hand in Hand. Änderungen der Mikroflora können Folgen für die körpereigene Abwehr haben. Auch bei Patienten mit Darmkrebs zeigt die Zusammensetzung der Darmflora deutliche Abweichungen. Dabei scheint die Verschiebung nicht nur die Folge der Krebsentstehung zu sein. Wie eine aktuelle Studie an Mäusen zeigt, kann die Zusammensetzung der Darmflora das Krebsrisiko direkt beeinflussen.

Antibiotika und andere Medikamente, Stress und Krankheitserreger sind Beispiele für Einflüsse, die die Zusammensetzung der Darmflora verändern und das produktive Gleichgewicht stören können.

Die Wissenschaftler übertrugen die Darmbakterien einer an Darmkrebs erkrankten Maus auf Tiere, die keimfrei aufgewachsen waren und keine eigene Darmflora entwickeln konnten. Die neu besiedelten Mäuse litten daraufhin doppelt so häufig an einem Darmtumor wie Mäuse, die mit den Darmbakterien gesunder Mäuse gefüttert worden waren.

Die Darmflora der an Krebs erkrankten Mäuse hatte eine erhöhte Anzahl an Bacteroides, Odoribacter und Akkermansia-Bakterienarten, während die Bakterienfamilien der Prevotellaceae und Porphyromonadaceae verringert waren. Inwieweit der bei Mäusen beobachtete Einfluss auf das Darmkrebsrisiko auch beim Menschen zutrifft, muss jedoch erst noch untersucht werden.

Die Macht der Darmflora nutzen

Seit fast 60 Jahren steuert die Mikrobiologische Therapie einer ungünstig veränderten Darmflora mit bakterienhaltigen Präparaten entgegen.

Das Ziel ist es, das Immunsystem in der Darmschleimhaut dauerhaft zu stabilisieren und damit die Immunität als Ganzes zu stärken.

Die Therapieform ist nebenwirkungsarm und auch zur Behandlung von Kindern geeignet. Der Patient nimmt dabei Präparationen mit lebenden oder abgetöteten Bakterien zu sich. In der Regel gehören die enthaltenen Bakterien zur natürlichen Darmflora: nicht krankheitserregende E.-coli-Stämme, Enterokokken, Laktobazillen und Bifidobakterien. Sie wirken nachhaltig auf das Immunsystem, indem sie unter anderem die Bildung von sIgA an den Schleimhäuten anregen oder eine gestörte Immunbalance wiederherstellen.

Ein zweites Element der Mikrobiologischen Therapie sind die Autovakzinen – Individualarzneimittel aus inaktivierten, körpereigenen Bakterien oder Pilzen des Patienten. Je nach Krankheitsbild können unspezifische oder erregerspezifische Autovakzinen eingesetzt werden. Die unspezifischen Autovakzinen enthalten nicht krankheitserregende E.-coli-Stämme aus der patienteneigenen Darmflora. Um die spezifischen Autovakzinen herzustellen, wird dagegen ein Krankheitserreger direkt aus dem Infektionsherd isoliert und inaktiviert.

Die Mikrobiologische Therapie nutzt die Macht der Darmflora über unsere Gesundheit. Die derzeit stattfindenden, intensiven Forschungen in aller Welt zur Bedeutung der Darmflora in Gesundheit und Krankheit werden die Möglichkeiten dieser sanften Therapieform noch deutlich erweitern.

Erhalt einer gesunden Darmflora – insbesondere unter Antibiotikatherapie!

Die Verordnung von Antibiotika gehört heute nahezu zur Tagesordnung in der ärztlichen Praxis. Dies hat fatale Folgen für die Darmflora, denn sie ist sehr anfällig für Störungen. Insbesondere Antibiotika können zu dauerhaften Schäden dieser empfindlichen Gemeinschaft führen. So gibt es Untersuchungen, die zeigen, dass noch ein halbes Jahr nach der letzten Gabe eines Antibiotikums die bakterielle Besiedelung des Darms gestört ist – mit weitreichenden Folgen für unsere Gesundheit.

Daher ist es wichtig, bei Einnahme eines Antibiotikums die Mikroflora des Darms zu schützen. Dies ist durch die gleichzeitige Gabe milchsäurebildender Bakterien, insbesondere Laktobazillen möglich.

Diese Schutzbakterien unterstützen zudem den Erhalt des sauren Darmmilieus und sorgen mit dafür, dass potenziell schädliche Keime nicht die Überhand gewinnen und uns krank machen können. Wie wirksam diese ergänzende Einnahme von Milchsäurebildnern im Rahmen einer Antibiotikatherapie ist, konnten inzwischen zahlreiche Studien zeigen.

Unter anderem wurde nachgewiesen, dass das Risiko einer durch Antibiotika verursachten Diarrhoe um über 50 Prozent bei gleichzeitiger Gabe von Milchsäurebildnern gesenkt werden konnte. Zudem war bei den Patienten, die dennoch Durchfall bekamen, das Risiko einer schweren (unter Umständen lebensbedrohlichen) Verlaufsform ebenfalls um knapp 50 Prozent reduziert.

Die Gabe der Milchsäurebakterien sollte dabei bereits mit dem ersten Tag der Antibiotikatherapie begonnen und mindestens über drei bis vier Wochen täglich nach deren Beendigung weitergeführt werden. Dies gilt nicht nur für Erwachsene, sondern insbesondere auch für Kinder und dies bereits ab dem Säuglingsalter.

Dabei sollte weniger auf probiotische Milchprodukte zurückgegriffen werden, da bei etlichen Antibiotikagruppen die gleichzeitige Gabe von Milchprodukten zu vermeiden ist. Vielmehr angebracht sind spezielle Präparationen, die ausschließlich die Schutzbakterien enthalten. Solche Zubereitungen sind im Bereich der Nahrungsergänzungsmittel angesiedelt. Mit diesen Präparaten nimmt man überdies in der Regel auch eine deutlich höhere Zahl dieser Schutzbakterien zu sich, was deren protektive Wirkung auf die Darmflora verbessert.

Weitere Informationen:
MVZ Institut für Mikroökologie GmbH
Leitung Medizinische Wissenschaften
Dr. med. Thomas Ellwanger
Auf den Lüppen 8, 35745 Herborn

Hier noch ein Hinweis der Redaktion: Unsere Autoren sind bemüht, ihre Artikel für alle Leserinnen und Leser, verständlich zu verfassen. Sollten Ihnen einzelne Begriffe in den Texten unverständlich sein, hier finden Sie Hilfe: „Die blauen Ratgeber“ – Krebswörterbuch der Deutschen Krebshilfe e.V. entweder über www.krebshilfe.de oder Telefon 0228 – 729 90-0 und natürlich auch über www.wikipedia.de

 

Aktuelles aus der Krebsforschung

Einfluss der Darmbakterien auf dick oder dünn?

Eine Studie der Washington University School of Medicine hat belegt: Eine Neigung zu Übergewicht oder zum Schlanksein hängt direkt mit den Darmbakterien zusammen und lässt sich mit ihnen sogar übertragen. Die Forscher führten Studien an Mäusen durch, die unter sterilen Bedingungen gehalten wurden und damit keine natürliche Darmflora entwickeln konnten. Diesen Tieren transplantierten sie menschliche Darmbakterien von eineiigen Zwillingspaaren, von denen der eine übergewichtig war und der andere nicht. Mäuse, bei denen sich die Darmbakterien von Übergewichtigen etabliert hatten, mutierten zu dicken Nagern. Darmbakterien von Schlanken führten dagegen zu dünnen Nagern.

Nachdem die Forscher im nächsten Schritt die beiden Gruppen zusammenbrachten, magerten die dicken Nager langsam ab. Die Darmbakterien der Dünnen hatten sich auf die ursprünglich Dicken übertragen.

Nun stand die Frage: Warum verbreiten sich die schlankmachenden Bakterien nicht auch unter der Bevölkerung? Vermutlich finden diese nur bei Menschen, die sich gesund ernähren, einen günstigen Nährboden. Weiterführende Untersuchungen folgen.
(Quelle: Martin Vieweg/ wissenschaft.de/2013)

Prostatakrebs – Abspecken und eine herzgesunde Diät

Inzwischen scheint belegt zu sein, dass eine Assoziation zwischen Übergewicht und tödlichem Verlauf beim Prostatakarzinom besteht. Amerikanische Forscher der Universität von Kalifornien in San Francisco prüfen den Einfluss verschiedener Ernährungsweisen auf den Krankheitsverlauf. 4.577 Männer mit nicht metastasierendem Prostatakarzinom nahmen an der prospektiven Studie teil und gaben detailliert Auskunft zu ihrem Essverhalten.

Männer, die mehr pflanzliche Fete konsumierten, hatten ein deutlich geringeres Risiko für einen letalen Verlauf. Wurden 10% der Energieaufnahme in Form von Kohlenhydraten durch pflanzliche Fette ersetzt, ergab sich eine fast 30%ige Risikoreduktion. Der Verzicht auf Kohlenhydrate wirkte sich zudem günstig auf die Gesamtsterblichkeit aus; dabei hatte der Wechsel von tierischem auf pflanzliches Fett einen signifikanten Nutzen.

Die Wissenschaftler sind sich einig, dass die genauen Zusammenhänge von Ernährung und dem Verlauf von Tumoren weiter untersucht werden müssen.
(Quelle: Erin L. Richmann et al., JAMA Internat. Medicine 2013)

 

Complementary Cancer Treatment: Synergy between Oncothermia and Traditional Chinese Medicine

Gabriella Hegyi MD.PhD. MSc. (Pecs University, Health Science Faculty, CAM Dept., 1196. Budapest, Petofi u.79. Hungary), corresponding author: Gabriella Hegyi, drhegyi@hu.inter.net

Liebe Leserin, lieber Leser,
erstmals veröffentlichen wir einen Beitrag in englischer Sprache. Wir haben für Sie und unsere weltweiten Besucher unserer Webseite den kompletten Artikel in einem SPECIAL online gestellt und hoffen auf Ihr Interesse und auf viele neue Kontakte.

Abstract

Aim of this article is to show the possibility and great advantage of the synergy of oncothermia with traditional Chinese medicine for treatment of malignant diseases based on the common basis of equilibrium demand. We use the recognition of the deviations from the complex harmony of the organism or its part for selection to act properly.

Introduction

Hyperthermia is an ancient oncology method. It is the very first treatment modality for this type of disease, having a 5000 years history [1], based on the Sun as the overall curative force in ancient Egypt. Later Hippocratic paradigm described it using physiological process (acidosis) to eliminate the malignant tissue. This natural approach is in well correlation with the far-away developed medical concept in the same ancient time: the Traditional Chinese Medicine (TCM) [2]. This medical philosophy was also based on natural harmony inside and outside the human organism. In progress of historical times TCM had been more sophisticated and developed, but the hyperthermia could not keep abreast with the development of the medicine, and was hindered by other western medical methods (WMM).

However in late 80th of last century a new paradigm of hyperthermia was developed. It is the oncothermia method (OTM) [3]. OTM applies the ancient hyperthermia of different way, replacing the static thermal driving force to a dynamical equilibrium concept, promoting the natural processes in curative direction [4]. Asian governments hope that high-volume screening and rigorous clinical trials will unlock the secrets of ancient herbal remedies - and that the results will pass muster with Western scientists [5]. It is a matter-of-course to make synergy between the two approaches, uniting the best line of TCM and OTM. Our present article underlines the main connections with the TCM and oncothermia.

Cancer as a Systemic Disease

In Western medicine, cancer is conventionally viewed from the somatic point of view as a clone of cells which has outgrown its environmental constraints and control mechanisms. These cells are abnormal and are considered to be foreign to the body. The main philosophy of cancer treatment is direct annihilation of the cancer cells using aggressive and destructive therapies. Chinese medicine emphasizes the importance of the body-mind communication network. The science of psycho-neuroimmunology (PNI) has demonstrated a potential physiological basis for cancer cell progression through the effects of emotions on cellular immunity and other mechanisms.

Bitte lesen Sie weiter –
Fortsetzung im EANU SPECIAL auf www.eanu-archiv.de
(mit dem online-Übersetzungsdienst)

 

Vegetarische Ernährung und Krebs

Prof. em. Dr. rer. nat. Claus Leitzmann, Institut für Ernährungswissenschaft Universität Gießen

Vorbemerkungen

Krebs gilt als eine weitgehend vermeidbare Krankheit. So kann jeder Einzelne durch eine entsprechende Lebensweise sein persönliches Risiko, an Krebs zu erkranken, senken. Diese Aussage trifft neben dem Meiden von Tabakrauch besonders für die Ernährung zu. Studien zeigen, dass bei Lakto-ovo-Vegetariern und Veganern Krebs seltener auftritt als bei Fleischessern. Das derzeitige Wissen dazu soll im Folgenden kurz dargestellt werden.

Ernährung und Krebsentstehung

Die Risikofaktoren für die Krebsentstehung, besonders durch Ernährung sind zahlreich. Dabei machen es die individuellen Faktoren und die lange Latenzzeit von Tumorerkrankungen schwierig, direkte kausale Beziehungen zwischen Ernährung und Kanzerogenese herzustellen. Dennoch gibt es zahlreiche Hinweise darauf, dass der Ernährung eine bedeutende Rolle bei der Tumorentstehung zukommt, obwohl die molekularen Mechanismen nicht alle bekannt sind.

Lebensmittel und daraus hergestellte Produkte enthalten sowohl Krebs hemmende (antikanzerogene) als auch Krebs fördernde (kanzerogene und kokanzerogene) Substanzen. Diese Substanzen und Substanzgruppen kommen natürlicherweise in Lebensmitteln vor oder entstehen bei der Verarbeitung und Lagerung, deren Wirkung für verschiedene Krebsformen ansatzweise bekannt ist. (Tab. 1)

Fördernde und hemmende Nahrungsfaktoren auf die Krebsentstehung
(nach WCRE und AICR 2007 a, S. 8f)

Krebsart Krebs fördernde Faktoren Krebs hemmende Faktoren
Lunge Arsen (Trinkwasser)*, Beta-Carotin-Supplemente*, rotes oder verarbeitetes Fleisch, Gesamtfett, Butter Obst, nicht stärkehaltiges Gemüse, Carotinoide oder Selen enthaltende Lebensmittel, Selen-Supplemente
Dickdarm und Mastdarm rotes oder verarbeitetes Fleisch*, Alkohol*, Käse, Eisen, raffinierten Zucker oder tierisches Fett enthaltende Lebensmittel ballaststoffreiche Lebensmittel, Knoblauch, Milch, nicht stärkehaltiges Gemüse, Obst, Fisch, Folat, Selen oder Vitamin D enthaltende Lebensmittel, Kalcium und Selen-Supplemente
Magen Kochsalz, gesalzene und salzige Lebensmittel, Chili, verarbeitetes Fleisch, gegrillte oder gebratene Lebensmittel tierischen Ursprungs nicht stärkehaltiges Gemüse, Zwiebel- und Lauchgewächse, Obst, Hülsenfrüchte, Selen enthaltende Lebensmittel
Brust Alkohol*, Gesamtfett** -
Prostata kalziumreiche Kost, verarbeitetes Fleisch, Milch und Milchprodukte Lycopin, Selen oder Vitamin E enthaltende Lebensmittel, Hülsenfrüchte, Selen- und Alpha-Tocopherol-Supplemente

Für alle Faktoren: vermutliche oder wahrscheinliche Risikobeeinflussung, *überzeugende Risikobeeinflussung, **nur nach der Menopause

Somit bestimmt das Ernährungsmuster, insbesondere die Lebensmittelauswahl und Zubereitung, in welchem Ausmaß Krebs fördernde oder hemmende Substanzen aufgenommen werden. Der World Cancer Research Fund (WCRF) hat die Evidenz des Zusammenhangs zwischen Ernährungsfaktoren und dem Auftreten maligner Tumoren systematisch untersucht (WCRF/AICR 2007b). Eine aktualisierte Bewertung, unter Berücksichtigung der WCRF-Beurteilungen sowie neuester Studien, wurde im Ernährungsbericht 2012 publiziert (DGE 2012, S. 319–354).

Krebs bei Vegetariern

Aus zahlreichen epidemiologischen Studien geht hervor, dass Vegetarier im Vergleich zu nichtvegetarischen Vergleichsgruppen ein moderat und im Vergleich zur Allgemeinbevölkerung ein deutlich geringeres Erkrankungs- und Mortalitätsrisiko an Krebs haben. Dies gilt insbesondere für Dickdarm- und Lungenkrebs und, in geringerem Ausmaß, für Magen-, Brust- und Prostatakrebs (Mills 2001, S. 78). Männliche Vegetarier profitieren offenbar in höherem Ausmaß von der verringerten Krebshäufigkeit und -sterblichkeit als weibliche Vegetarier. Eine Übersicht verschiedener epidemiologischer Studien ergab für Männer eine um durchschnittlich 38% und für Frauen um 12% verringerte Krebsmortalität, verglichen mit nichtvegetarischen Kontrollgruppen.

Das Erkrankungsrisiko für Krebs war bei Männern um durchschnittlich 30% und bei Frauen um 8% reduziert (Mills 2001, S. 86). Dieser Effekt wird teilweise darauf zurückgeführt, dass Frauen generell seltener rauchen und weniger Alkohol konsumieren als Männer. Werden Vegetarierinnen mit Nicht-Vegetarierinnen in der Allgemeinbevölkerung verglichen, fällt der Unterschied nicht so gravierend aus wie bei den Männern, die einen höheren Tabak- und Alkoholkonsum haben (Mills 2001, S. 78).

Auch dann bleibt das geringere Krebsrisiko für Vegetarier bestehen, so dass das verringerte Risiko mit hoher Wahrscheinlichkeit auf die unterschiedliche Ernährungsweise zurückgeführt werden kann. Dennoch können in Beobachtungsstudien statistische Verzerrungen durch diese Einflussvariablen nie vollständig ausgeschlossen werden. Bei den einzelnen Krebsarten bestehen weiterhin widersprüchliche Ergebnisse.

In den meisten Studien wurden jedoch potenzielle Einflussfaktoren, wie Rauchen, BMI, körperliche Aktivität, Bildungsstand usw., bei der Risikoberechnung berücksichtigt.

Krebserkrankungsrisiko bei Vegetariern

In der Adventist Health Study wiesen die Nicht-Vegetarier gegenüber den Vegetariern ein signifikant höheres Risiko für Dickdarmkrebs (+ 88%) und Prostatakrebs auf (+ 54%). Bei Brust- und Lungenkrebs gab es hingegen keine signifikanten Unterschiede zwischen den Gruppen (Fraser 1999). Bei den vegetarischen Teilnehmern der Oxford Vegetarian Study war das Dickdarmkrebsrisiko gegenüber den Nicht-Vegetariern geringfügig, aber die Anzahl der Neuerkrankungen in einer bestimmten Bevölkerungsgruppe während einer bestimmten Zeit an einer bestimmten Krankheit nicht signifikant erniedrigt (Sanjoaquin et al. 2004a). In der UK Women’s Cohort Study wiesen die Frauen, die kein Fleisch aßen, ein geringeres Risiko für Brustkrebs auf als die Fleischesserinnen. Je 50 g Gesamtfleischverzehr pro Tag erhöhte das Risiko um etwa 11% (Taylor et al. 2007). In der Oxford-Kohorte der EPIC-Studie hatten die Vegetarier gegenüber den Nicht-Vegetariern ein geringeres Gesamtrisiko für alle Krebsarten, jedoch ein signifikant höheres Risiko für Dickdarmkrebs (Key et al. 2009).

Eine Auswertung der Adventist Health Study 2 ermittelte ein signifikant niedrigeres Gesamt-Krebsrisiko (– 8%) von Vegetariern gegenüber Nicht-Vegetariern (beider Geschlechter). Bei Tumoren des Gastrointestinaltrakts lag das Risiko von Vegetariern 24% niedriger als bei Fleischessern. Es ist besonders das rote Fleisch, das mit der Krebsentstehung in Verbindung gebracht wird. Veganer als Untergruppe wiesen ebenfalls ein signifikant niedrigeres Risiko für alle Krebsarten auf (– 16%) und, im Gegensatz zu Lakto-Ovo-Vegetariern, auch bei Frauenspezifischen Tumoren (– 34%) (Tantamango-Bartley et al. 2013). In einer Meta-Analyse (sieben Studien, etwa 125.000 Teilnehmer) war das Gesamt-Krebsrisiko der Vegetarier ebenfalls signifikant niedriger (– 18%) als das der omnivoren Vergleichspersonen (Huang et al. 2012).

Mortalitätsrisiko bei Vegetariern

Die Vegetarier der Oxford Vegetarian Study hatten im Vergleich zu den Fleischessern ein 40% geringeres Risiko, an Krebs zu sterben (Thorogood et al. 1994). In einer späteren Auswertung war das Mortalitätsrisiko der Vegetarier nicht signifikant verringert für Magen-, Dickdarm-, Lungen- und Prostatakrebs, und erhöht für Brustkrebs (Key et al. 1999a). Eine Analyse von fünf prospektiven Studien ergab keine signifikanten Unterschiede in der Krebsmortalität von Vegetariern und Nicht-Vegetariern (Key et al. 1999a).

Auch die Vegetarier-Studie des Deutschen Krebsforschungszentrums ermittelte nach 21-jährigem Follow-up keine Unterschiede in der Krebsmortalität zwischen den vegetarischen und nichtvegetarischen Teilnehmern. Im Vergleich zur deutschen Allgemeinbevölkerung wiesen jedoch beide Gruppen ein deutlich geringeres Sterberisiko an Krebs auf (Chang-Claude et al. 2005).

Die teilweise nur geringen Unterschiede bei der Krebshäufigkeit und Krebsmortalität zwischen Vegetariern und Nicht-Vegetariern innerhalb einer Studie sind u.a. darauf zurückzuführen, dass auch die nichtvegetarischen Studienteilnehmer meist einen gesünderen Lebensstil haben als die Allgemeinbevölkerung. Beispielsweise verzehrten die Nicht-Vegetarier der EPIC-Oxford-Studie deutlich weniger Fleisch und deutlich mehr Obst und Gemüse als der britische Bevölkerungsdurchschnitt. Vergleicht man beide Gruppen mit der Allgemeinbevölkerung, weisen sowohl die Vegetarier als auch die nichtvegetarische Kontrollgruppe ein signifikant geringeres Krebsrisiko auf (Key et al. 2009). Ähnliches trifft auf die Teilnehmer der Adventist Health Study 2 zu (Tantamango-Bartle y et al. 2013).

Unterschiede zwischen Vegetariern und Nicht-Vegetariern

Verschiedene weitere Befunde werden mit dem durchschnittlich geringeren Krebsrisiko bei Vegetariern in Verbindung gebracht. So weisen Vegetarier imVergleich zu Mischkostlern zumeist ein normales bis niedriges Körpergewicht auf. Übergewicht als Risikofaktor für Krebs spielt deshalb für Vegetarier kaum eine Rolle. Veganer hatten im Vergleich zu Lakto-ovo-Vegetariern und Mischköstlern niedrigere Blutspiegel des insulinähnlichen Wachstumsfaktors 1 (IGF-1, insulin-like growth factor 1) (Allen et al. 2000 u. 2002). Der IGF-1 beeinflusst über Wachstumsförderung und Apoptosehemmung die Entstehung verschiedener Tumorarten, etwa in Brust, Prostata und Darm. Insbesondere die geringere Proteinzufuhr bei veganer Ernährung führt zu niedrigeren IGF-1-Blutspiegeln (Fontana et al. 2006).

Eine hohe lebenslange Östrogenexposition ist mit einem höheren Brustkrebsrisiko assoziiert. Postmenopausale Vegetarierinnen weisen niedrige Blut- und Urinkonzentrationen an Östrogen auf (Barbosa et al. 1990). Dieser Effekt ist teilweise auf die geringere Fettzufuhr von Vegetarierinnen zurückzuführen, denn eine hohe Fettzufuhr fördert die endogene Östrogenproduktion. Entgegen früherer Einschätzungen wird ein Zusammenhang zwischen der Gesamtfettzufuhr und dem Brustkrebsrisiko (postmenopausal) nur noch als möglich bewertet (WCRF und AICR 2007b, S. 139). Die moderate Fettzufuhr vieler Vegetarier schützt jedoch vor Übergewicht und damit einem etablierten Risikofaktor für Brustkrebs (und andere Krebsarten). Dies erklärt, dass in anderen Untersuchungen die Unterschiede zwischen den Plasma-Östrogenkonzentrationen von Fleischesserinnen und Vegetarierinnen verschwanden, wenn der BMI berücksichtigt wurde (Thomas et al. 1999). Der Konsum von Alkohol erhöht mit überzeugender Evidenz das Risiko für Tumoren des Verdauungstrakts (außer Magen) und der Brust (WCRF und AICR 2007b, S. 157).

Anders als in früheren Studien wurden in aktuellen Untersuchungen kaum Unterschiede im Alkoholkonsum von Vegetariern und Nicht-Vegetariern ermittelt. In der EPIC-Oxford-Studie tranken Vegetarier durchschnittlich 0,6 g Alkohol pro Tag weniger als die Nicht-Vegetarier der Vergleichsgruppe (Key et al. 2009). Bei den Männern waren die Unterschiede allerdings ausgeprägter als bei den Frauen.

Die Ernährungsempfehlungen zur Krebsprävention lassen sich mit einer vegetarischen Ernährung gut umsetzen (nach Leitzmann et al. 2009, S. 394 f):

  • gesteigerter Verzehr von Gemüse und Obst
  • Erreichen bzw. Halten des im Normbereich liegenden Körpergewicht
  • Meiden von zuckerhaltigen Getränken
  • eingeschränkter Verzehr energiedichter Lebensmittel
  • eingeschränkter Alkoholkonsum
  • eingeschränkter Fleischverzehr
  • bevorzugter Verzehr komplexer Kohlenhydrate (z. B. Vollkornprodukte)
  • verminderter Verzehr von geräucherten und gepökelten Lebensmitteln
  • verminderte Kochsalzzufuhr
  • eingeschränkter Verzehr gegrillter/gebratener Lebensmittel
  • Meiden verschimmelter Lebensmittel

Aus den dargestellten wissenschaftlichen Erkenntnissen wird deutlich, dass die Krebsentstehung nicht von einzelnen Nahrungsfaktoren, sondern dem gesamten Ernährungsmuster abhängt. Das geringere Krebsrisiko von Vegetariern kann somit sowohl auf das Meiden von Fleisch als auch auf den vermehrten Verzehr pflanzlicher Lebensmittel zurückgeführt werden (Kapiszewska 2006). Eine primär pflanzliche Kost ist gleichbedeutend mit einer hohen Zufuhr an präventiven Nahrungsfaktoren, wie Ballaststoffe, sekundäre Pflanzenstoffe.

Sekundäre Pflanzenstoffe mit antikanzerogenen Wirkungen (nach Watzl und Leitzmann 2005, S. 59ff):

• Carotinoide (Beta-Carotin, Lutein, Alpha-Carotin, Lycopin, Canthaxanthin u.a.)
• Flavonoide • Phytosterine • Proteaseinhibitoren • Saponide • Terpene • Glukosinolate • Phytoöstrogene • Phenolsäuren • Sulfide

und anderen Antioxidanzien (Leitzmann et al. 2009). Aus der Gesamtbewertung der vorliegenden wissenschaftlichen Daten ergibt sich, dass vegetarische Kostformen eine geeignete Strategie zur Verringerung des Krebsrisikos darstellen (Lanou und Svenson 2010).

Abschließend kann festgestellt werden, dass Vegetarier ein niedriges Krebsrisiko haben. Dabei muss betont werden, dass weniger der meidende Verzehr von Lebensmitteln tierischen Ursprungs, sondern vielmehr die gesteigerte Aufnahme pflanzlicher Lebensmittel für das niedrigere Gesamtrisiko verantwortlich ist. Das Risiko, an Krebs zu erkranken, kann auch durch eine vegetarische Ernährung nicht vollständig eliminiert, aber entscheidend reduziert werden. Zusätzlich kann durch das niedrigere Körpergewicht, die niedrigere Gesamtfettaufnahme und das weitgehende Meiden von Tabakrauch ein zusätzlicher protektiver Effekt erreicht werden. Eine Reduzierung des Alkoholkonsums könnte auch bei vielen Vegetariern dazu beitragen, das Krebsrisiko zu senken.

Dieser Beitrag beruht auf einem etwas modifizierten und gekürzten Ausschnitt aus unserem Buch: Leitzmann C, Keller M: Vegetarische Ernährung, 372 S. Ulmer Verlag, Stuttgart (1. Aufl. 1996), 3. Aufl. 2013. Literaturliste bei der Redaktion.

 

Aktuelles aus der Krebsforschung

Nüsse knabbern verlängert Leben

Das meinen Forscher der Harvard Medical School in Boston aufgrund einer Analyse von Daten zweier Studien aus dem US-Gesundheitswesen. Mehr als 3 Millionen Follow-up Personenjahre gingen in die Auswertung ein.

Mindestens einmal täglich Nüsse knabbern soll das Sterberisiko im Vergleich zu Kern-Verächtern um 20% senken. Viermal in der Woche auf harte Kerne zu beißen und selbst gelegentlicher Nusskonsum soll mit einer Reduzierung der Mortalität belohnt werden.
(Quelle: Ying Bao et al. N Engl JMed 2013)

Ingwer gegen Erbrechen

Übelkeit und Erbrechen sind häufige Nebenwirkungen bei Chemotherapien. Es gibt aber heute Möglichkeiten, diese Begleiterscheinungen auf natürlichem Wege zu bekämpfen. Die Ingwerwurzel mit ihren natürlichen Wirkstoffen hat in einer Studie in den USA die Beschwerden um bis zu 40% senken können.

Die Ingwerwurzel enthält eine Reihe hochwirksamer Inhaltsstoffe, die die Serotonin-Andockstellen auf den Nervenzellen besetzen. So kann das Serotonin nicht mehr binden, das Brechzentrum wird nicht aktiviert und die Übelkeit bleibt aus. In Kombination mit Anti-Emitika ist Ingwer so eine starke Waffe gegen die durch die Chemotherapie verursachte Übelkeit.
(Quelle: allgemeinarzt-online)

Das eigene Immunsystem im Kampf gegen den Krebs

Als eine viel versprechende Methode in der Krebstherapie gilt die Bekämpfung von Tumoren mit so genannten T-Killerzellen der körpereigenen Immunabwehr. Erste Erfolge konnten in Studien in der klinischen Erprobung belegt werden. Die Wissenschaftler konnten in einer ersten Projektphase nachweisen, dass eine punktgenaue und niedrig dosierte Bestrahlung von Tumoren ausreichte, um eine starke Einwanderung von T-Killerzellen zu bewirken, die dann den Tumor zerstörten. Dabei ergab sich der unerwartete Befund, dass so genannte Makrophagen (einkernige Zellen/Fresszellen) durch Bestrahlung auf „Angriff“ umgepolt wurden und so die Killerzellen unterstützten.
(Quelle: Wilhelm Sander-Stiftung)

 

Yoga bei Krebserkrankungen

Prof. Dr. med. Andreas Michalsen, Internist und Arzt für Naturheilverfahren, Physikalische Therapie, Ernährungsmedizin. Inhaber der Stiftungsprofessur für Naturheilkunde an der Charité Universitätsmedizin Berlin, Chefarzt des Zentrums für Naturheilkunde am Immanuel Krankenhaus Berlin sowie Vorstandsvorsitzender der Karl und Veronica Carstens Stiftung

Yoga hat seinen Ursprung in der traditionellen Kultur Indiens und wurde erst in neuerer Zeit als wirksames medizinisches Verfahren in der westlichen Welt „entdeckt“. In seiner ursprünglichen Form ist Yoga ein umfassendes System von Philosophie und Lebensordnung unter maßgeblicher Einbeziehung der spirituellen Dimension. Dabei ist es ein erklärtes Ziel des Yoga, das Leben in spiritueller Erfüllung zu vollenden.

In seiner praktischen Umsetzung sind im Westen vor allem die Yoga-Körperübungen, die Asanas bekannt. Diese werden oft vereinfacht auch als Hatha-Yoga bezeichnet. Seit mehreren Jahren gibt es in allen westlichen Nationen einen großen Boom für diese Form des Körper-Yogas. Beispielsweise finden sich aktuell allein mehr als 100 Yoga-Studios im Zentrum Berlins, die unterschiedlichste Formen und Yogastile für alle Altersgruppen anbieten. Nach Schätzungen des Berufsverbandes der Yoga Lehrer gibt es etwa 20.000 Lehrer in Deutschland und ca. 5 Millionen Bürger, die gelegentlich oder regelmäßig Yoga praktizieren. Hierbei geht es allerdings meist weniger um Yoga als Therapie, sondern um Yoga zur Förderung der Fitness bzw. der Vitalität.

Im medizinischen Kontext wird Yoga nicht nur durch die Körperübungen definiert, sondern durch die wichtigen Elemente wie Meditation (Dhyãna), Atemübungen (Pranayama) sowie die Dimensionen der Ethik (Yama, Niyama) und der gesunden Lebensweise erweitert.

Als übergeordneter Begriff für alle diese Elemente ist der Begriff der Achtsamkeit von zentraler Bedeutung. Yoga bedeutet damit auch, den Alltag und die ausgewählten Übungen mit Achtsamkeit und einer bewussten Haltung durchzuführen.

Yoga als medizinische Therapiemethode

In der westlichen Medizin wird die Wirksamkeit des Yoga seit etwa 20 bis 30 Jahren zunehmend erforscht und wahrgenommen. Zunächst standen die Herz-Kreislauf-Erkrankungen sowie der Bluthochdruck im Vordergrund. Hier waren es vor allem multimodale Behandlungsprogramme, die Körperyogaübungen mit Atemtechniken und vegetarischer Ernährung kombinierten und damit herausragend positive Resultate in der Sekundärprävention des Herzinfarktes und der Beeinflussung chronischer Herzerkrankungen erzielen konnten. Bekannt wurden vor allem die Arbeiten von Dean Ornish (USA). Im Bereich der chronischen Rückenschmerzen haben sich einige Yogatechniken, wie z.B. Iyengar-Yoga oder Vinvi-Yoga als wirksam erwiesen und auch gegenüber anderen Formen der Bewegungstherapie, Krankengymnastik etc. als überlegen gezeigt.

In den letzten Jahren standen Forschungsarbeiten zum Einsatz von Yoga bei chronischen Schmerzsyndromen, z.B. chronischen Rückenschmerzen und zuletzt auch bei verschiedenen Krebserkrankungen im Vordergrund.

In der Krebstherapie konnte vor allem bei Studien mit Brustkrebspatientinnen gezeigt werden, dass die regelmäßige Praxis von Yoga zu einer verbesserten Lebensqualität, einem Rückgang von Fatigue und zu einer deutlichen Verbesserung des psychischen Befindens mit weniger Angst und weniger Depressivität führt.

Hier wurden vor allem die Techniken des Iyengar-Yoga und des Shivananda-Yogas genutzt. Die Wirksamkeit von Yoga bei Brustkrebs ließ sich zuletzt auch in einer sog. Metaanalyse eindrucksvoll belegen.

Neuere Arbeiten von Dean Ornish belegten zudem die Wirksamkeit eines multimodalen Yogaprogrammes bei Prostata-Karzinom Patienten. Aufgrund der bestehenden Datenlage kann Yoga als ergänzende Therapie bei Krebserkrankungen empfohlen werden. Hierbei sollte ein gutes Yogaprogramm folgende Elemente beinhalten:

1. Hatha-Yoga, Yogakörperübungen Asanas

Die Übungen sollten nicht leistungsorientiert gelehrt werden und auf die individuellen Möglichkeiten und Limitierungen der Patientinnen/des Patienten Rücksicht nehmen. Eine einmalige Yogaanleitung in Gruppen/Klassen pro Woche sowie mehrmals wöchentlich häusliche Selbstdurchführung von Übungen, sind zu empfehlen. Unter den verschiedenen Stilen sind vor allem das Yoga nach B.K.S. Iyengar, Vini-Yoga, Benefit-Yoga und andere zu empfehlen.

2. Atemübungen, Pranayama

Diese werden in Ergänzung zu den Körperübungen oder als separates Kursmodul gelehrt und sind einfach häuslich durchführbar. Auch hier ist zu beachten, dass keine zu forcierten Atemtechniken ohne Supervision eingesetzt werden sollten.

3. Meditation

Verschiedenste Yogatraditionen haben Meditationstechniken entwickelt. Am bekanntesten sind Atemmeditationen sowie Licht- und Klangmeditationen. Oftmals werden auch am Ende einer 90-minütigen Yogasession 15 Minuten liegend Meditation bzw. Übungen ähnlich dem sog. „body-Scan“ durchgeführt (Shavasana). Die günstigen Wirkungen von Meditation sind bei Krebserkrankungen in zahlreichen Studien belegt, im Vordergrund stehen Verbesserungen der Lebensqualität, die Reduktion von Nebenwirkungen, Verbesserungen von Schlaf und Fatigue sowie des psychischen Befindens.

Andererseits kann Ahimsa auch die Hinwendung zu einer vegetarischen Ernährung bedeuten, für die gerade in der Therapie und der Sekundärprävention von Krebs vielfältige günstige Wirkungen belegt worden sind.

Sinnvoll ist es auch, die ethischen Empfehlungen des Yoga in ein umfassendes Lebensstilkonzept zu integrieren. Das Prinzip der Gewaltlosigkeit (Ahimsa) beinhaltet Methoden, weniger Ärger in sich zu entwickeln. Es ist vor dem Hintergrund bedeutsam, dass Ärger als Krankheitsrisikofaktor etabliert ist.

Bei der Vielfältigkeit der Yogaangebote in Deutschland ist zum Teil die Orientierung schwierig geworden. Zu empfehlen sind einerseits Lehrerinnen und Lehrer bzw. Yogastudios, die eine Zertifizierung des BDY (Berufsverband der Yogalehrenden in Deutschland e.V.) haben oder die sogar darüber hinausgehende Qualitätsstandards bieten (Iyengar-Yoga). Zu empfehlen ist weiterhin, Probestunden bzw. Schnupperstunden zu nehmen, um im Vorfeld die Eignung des Angebotes zu überprüfen. Eine gute Yogaanleitung ist auch daran zu erkennen, dass eine gewisse individuelle Herangehensweise berücksichtigt wird und kein Leistungsdruck entsteht.

Inzwischen wird Yoga auch an ersten Krankenhäusern im Rahmen der medizinisch-onkologischen Versorgung angeboten, beispielsweise wird Yoga an den Kliniken Essen-Mitte, Abteilungen Naturheilkunde und Senologie, oder am Immanuel Krankenhaus Berlin, Tagesklinik und Ambulanz für integrative Onkologie, angeboten.

Weitere Informationen: www.immanuel.de

 

„Glaube denen, die die Wahrheit suchen, und zweifele an denen, die sie gefunden haben.“(André Gide)

 

Krankheitserfahrungen

Von Günter Schneckenburger

„Oh Gott, oh Gott – was kommt denn noch?“

Alles begann damit, dass ich bei einem Spaziergang mit meiner Freundin im Sommer 2006 irgendwie komisch lief. Mein linker Fuß schleifte und blieb an der Ferse des rechten Fußes hängen. Ich sagte, das liegt an den neuen Turnschuhen… Dann stellten sich träge Bewegungsabläufe und verschobene Gesichtszüge ein. Verdacht: Schlaganfall. Hausarzt – Einweisung in die Zollernalbklinik – Kernspinn-CT – unklare Diagnose: da ist was, was raus muss.

Aber jetzt noch kurz zur Vorgeschichte: Juli 2002 Entfernung eines Hautknotens rechte Schulter, Diagnose ein Melanom. Anschließend Lymphknoten OP und Interferontherapie bis Ende 2004.

Nach der Verlegung nach Tübingen dann die OP. Sie verlief besser als erwartet, sagte der Operateur. Alles ist raus, Mikropunkte im Randbereich sind nicht erkennbar, aber möglich. Eine Phase der Bestrahlung und Beobachtung schloss sich an. Mir ging es gut. Dann folgte eine neue CT und das nächste Gespräch mit dem Operateur mit erschreckend neuer Nachricht: Ein Tumorlappen ist von der Stirnbasis in die Nase gewachsen, der mit einem großen Schnitt entfernt werden musste. Weiterhin wurden zwei kleine Tumore an der Basis entdeckt, deren Entfernung ein zu großes Risiko und mögliche motorische Schädigungen bedeuten würde. Damit ging ich erst einmal wieder nach Hause.

Nach rund einem Vierteljahr sind die bekannten Symptome wieder da, die Tumore sind gewachsen. In Tübingen – keine Aufnahme möglich. In diesen Tagen fand ich einen Zeitungsartikel über SyberKnife, einer neuen Methode der Krebsbehandlung, bei der mit einem speziellen Laser eine punktgenaue Bestrahlung erfolgen soll. Wir fuhren in das Klinikum München-Großhadern, SyberKnife-Klinik. Die Diagnose hier war niederschmetternd: Metastasen durch Zystenbildung – zu groß für eine SyberKnife-Behandlung (möglich bis zu einer Größe von max. 3 cm). Mein aktueller Zustand war zudem als bedenklich diagnostiziert. Aber der Weg konnte und musste nur über die operative Entfernung der Metastasen gehen. Also OP, soweit möglich. Und so war es dann. Nach 11 Tagen war ich auf dem Weg nach Hause mit der empfohlenen Nachbehandlung: Chemotherapie und Bestrahlung mit anschließender Kur.

Mein Hausarzt hat mich dann sozusagen wieder übernommen. Die Bilder von meinem Kopf wurden regelmäßig gemacht, verglichen und für „zufriedenstellend“ befunden. Dennoch blieb die Angst und die Unsicherheit, wie sich mein Körper weiter verhält. In Gesprächen mit Bekannten wurde mir ein Therapeut in Berlin empfohlen, der nach einer freundlich entspannten Kontaktaufnahme und meinem Krankheitsbild einen ersten Termin für mich hatte. Voller Ruhe und Zugewandtheit auf mich und meine Krankheitserfahrungen bekam ich eine Infusion. Drei Tage später verschlechterte sich mein Zustand – mein Berliner Arzt wurde gerufen – ich kam sofort in das Unfallkrankenhaus Berlin, HNO-Heilkunde. Behandlung und CT folgten und schon nach zwei Tagen wurde ich entlassen und konnte mich von meinem Berliner Arzt verabschieden. Allerdings bekam ich eine „Hausaufgabe“: Ich sollte gefrorenes Tumorgewebe in Tübingen besorgen und nach Berlin schicken. Es wurde eine Autovakzine aus dem Tumorgewebe hergestellt, dass in gefrorenem Zustand ankam und alle 10 Tage aufgetaut und gespritzt wurde. Monate später verspürte ich einen Druck in der Nase, massierte die Stelle und konnte tatsächlich ein „Etwas“ aus der Nase ziehen, das ich eingefroren nach Berlin zu meinem Arzt schickte. Die Nachricht nach etwa einem Monat: es war tatsächlich eindeutig Tumorgewebe, das sich aufgelöst hatte.

Nach einer Nachsorgeuntersuchung in Tübingen – und einem erstmal schweigenden Arzt – kam die beruhigende aber für mich die schönste Aussage: Was haben Sie bloß gemacht? Die beiden verbliebenen Gehirntumore waren verschwunden!

Seit 2008 kann ich das Leben wieder genießen, Skifahren, Bergwandern, Radfahren und viele andere schöne Dinge tun, die das Leben so bietet. Ich bin ein glücklicher Mensch.

 

„Wer kämpft kann verlieren. Wer nicht kämpft, hat schon verloren“

 

Grenzenlose Musikerlebnisse in der Natur

von Dagmar Moldenhauer

   

Bald ist es wieder soweit – die Saison der Sommerkonzerte beginnt. An zahlreichen Traumorten treffen Solisten und Ensembles aus aller Welt auf Musikliebhaber, denen kein Weg zu weit ist, um dabei zu sein. Von einem dieser Orte will ich erzählen.

Jedes Jahr um die Weihnachtszeit kommt neben zahlreichen Grußkarten das Programm des Choriner Musiksommers für das kommende Jahr. Die Auswahl der Konzerte ist wie immer nicht einfach – dennoch beginnt schon jetzt die Vorfreude auf einen Sommerausflug der ganz besonderen Art.

Unweit von Berlin, inmitten der Schorfheide, liegt das ehemalige Zisterzienserkloster Chorin, malerisch von alten Bäumen umsäumt. Norddeutsche Backsteingotik empfängt uns. Ab 1273 begannen hier die Mönche mit dem Bau der Kirche. ImVerlaufe der Geschichte hatte das Bauwerk verschiedenste Nutzungen.

Für Klassikfreunde ist der Choriner Musiksommer einer der musikalischen Höhepunkte des Sommers. Hier erwarten den Besucher in der malerischen historischen Kulisse der Klosterruine klassische Konzerte vom Feinsten.

Wir reisen, wie die meisten Besucher, mit einem Picknick-Korb gefüllt mit Wein, Bouletten, Salaten, Obst und weiteren Genüsslichkeiten an; wir haben leichte Klappstühle über der Schulter oder auch eine Decke für die Wiese; der Platz unserer Wahl. Und hier breiten wir uns aus – reservieren für Freunde – und mit dem Waldhornsignal des jeweiligen Orchesters tritt bald im ganzen Rund von Kirchenschiff, Kreuzgängen und auf der Wiese Ruhe ein – das Konzert beginnt. Zu Beethoven, Bach, Mozart, Händel u.a. zwitschern die Vögel.

In den vergangenen Jahren haben wir hier Orchester, Chöre und Solisten erlebt, die zu den Besten gehören. Um das deutlich zu machen, hier eine kleine Auswahl. Bei den Orchestern müssen die Berliner Symphoniker, das Blechblasensemble Ludwig Güttler oder die Original Hoch- und Deutschmeister Wien genannt werden. Chöre, wie die Regensburger Domspatzen, Camerata vocale Berlin oder der Dresdner Kreuzchor, haben uns in der Akustik des Kirchengewölbes begeistert.

Auch bei den Solisten muss ich auswählen: Julia Fischer, Martin Stadtfeld, Valery Sokolov oder Valery Oistrach waren großartige Klassik-Erlebnisse. Die einzigartige Atmosphäre dieses Ortes und das unvergleichbare Niveau der Konzerte sind Genuss und Entspannung – Gedanken beginnen zu fliegen – manchmal werden sogar Probleme kleiner; es tut einfach gut.

Wo auch immer Sie sind, finden Sie Ihren Traumort und genießen Sie Ihren Musiksommer.

 

Aktuelles aus der Krebsforschung

Neues zu Diagnostik und Therapie des Prostatakarzinoms

Laut Prof. Kurt Miller (Charité Berlin) standen beim Jahreskongress der europäischen Urologenvereinigung (EAU) 2013 in Mailand vor allem neue Daten zum Prostatakrebs im Vordergrund. So zeigten mehrere Studien, dass die so genannte Fusionsbildgebung, eine Kombination aus Kernspintomographie und Ultraschall, die Tumorerkrankung besser nachweist als die Standard Biopsie.

Darüber hinaus wurden mehrere Studien zur Therapie des fortgeschrittenen Stadiums des Prostatakarzinoms vorgestellt, in dem der Krebs bereits gestreut hat.
(Quelle: Internetportal der DKG 2013)

Früherkennung: Uneinigkeit beim PSA-Test

International ist man sich derzeit nicht einig, ob für die Früherkennung ein PSA-Screening insgesamt einen Vorteil bringt oder ob mögliche Nachteile wie unnötige Operationen mit den Risiken Inkontinenz und Impotenz überwiegen. Nachdem in den USA beinahe jeder Mann seinen PSA-Wert kannte, entwickelt sich dort eine andere Sicht.

Die amerikanische Gesellschaft für Urologie (AUA) spricht sich in ihrer Leitlinie von 2013 zur Früherkennung des Prostatakarzinoms gegen ein generelles PSA-Screening aus. Männern zwischen 55 und 69 Jahren wird nach gründlicher Aufklärung empfohlen, gemeinsam mit ihrem Arzt eine Entscheidung für oder gegen den Test zu treffen. Jenseits von 70 Jahren oder einer Lebenserwartung von weniger als 10-15 Jahren wird ein Screening für wenig sinnvoll gehalten.

Die Europäische Gesellschaft für Urologie (EAU) setzt auf individuell angepasste Vorsorge bei gut informierten Patienten. Während man sich über den Wert der PSA-Bestimmung als Verlaufskontrolle bei Patienten mit einer bereits bekannten Krebserkrankung einig ist, diskutiert man derzeit um den Nutzen der Untersuchung zur Krebsfrüherkennung.
(Quelle: Christine Starostzik, Ärzte Zeitung 11/2013)

Stellenwert der Palliativmedizin in der Onkologie

Die Hauptaufgabe der Palliativmedizin ist die Erhaltung der Lebensqualität in der Phase der Erkrankung, in der eine Heilung nicht mehr möglich ist. Hier geht es im Wesentlichen um die Linderung typischer Symptome wie Schmerzen, Appetitlosigkeit, Übelkeit, Obstipation, Schwäche oder Atemnot bis hin zur Behandlung psychischer und sozialer Probleme.

In dieser Phase ist besondere ärztliche Kompetenz gefragt. Komplementärmedizinische Behandlungsansätze können hier speziell dazu beitragen, Symptome erträglicher zu machen. Dem Gespräch zwischen dem Patienten, seinen Angehörigen und dem behandelnden Arzt kommt jetzt eine besondere Bedeutung zu. Viele Fragen suchen nach Antworten.

Eine Studie hat belegt, dass sich die Lebensqualität verbesserte und sogar das Gesamtüberleben von Lungenkrebspatienten durch psychoedukative Intervention verlängert wurde.
(Quelle: Temel JS, et al. N Engl J Med.)

Aus den Leserbriefen zum Jahresende 2013

Wieder neigt sich das Jahr mit seinen Höhen und Tiefen dem Ende zu, wo wir, die SHG "Initiativgruppe Brustkrebserkrankter Frauen", für die regelmäßigen Newsletter und Broschüren Dank sagen möchten. So sind wir immer auf dem Laufenden und haben in der Gruppe eine sehr gute Basis für Diskussionsrunden. Hoffen wir nun auf ein frohes Fest und besinnliche Feiertage!

Ihnen und Ihrem Team wünschen wir ein Fest voller Freude und Liebe und für das neue Jahr nur positive Überraschungen!

Mit freundlichen Grüßen
Ihre SHG aus der Ahrenshooper Straße 5
13051 Berlin

 

Aktuelle Fälle zur Erstattungsfähigkeit: (update) Hyperthermie

Dr. Frank Breitkreutz, Rechtsanwalt und Fachanwalt für Medizinrecht, BBP Rechtsanwälte Berlin

Nachdem in der letzten Ausgabe die allgemeinen Voraussetzungen einer Kostenerstattung dargestellt wurden, soll nunmehr auf die Erstattungsaussichten bei ganz bestimmten Behandlungsmethoden eingegangen werden. Dieser Beitrag widmet sich den hyperthermischen Behandlungen, die sich nicht wenigen Anhängern zufolge mittlerweile zur „Vierten Säule“ in der Krebstherapie entwickelt haben.

In der Zivilgerichtsbarkeit – zuständig für die Leistungspflicht von privaten Krankenversicherungen – wird die Hyperthermie mittlerweile bei verschiedensten Tumorentitäten als medizinisch notwendige Heilbehandlung eingestuft, deren Kosten zwingender Leistungsbestandteil sind. Auch die gesetzlichen Krankenversicherungen werden von der hierfür zuständigen Sozialgerichtsbarkeit – sogar trotz ausdrücklichen Ausschlusses von der vertragsärztlichen Versorgung – in lebensbedrohlichen Situationen mehr und mehr zur Kostenerstattung verurteilt.

Mit zunehmender Einstandspflicht privater und gesetzlicher Krankenversicherungen haben sich die Wogen in der juristischen Diskussion allerdings nicht unbedingt geglättet. Vielmehr ist in einigen Bereichen ein teilweise recht erbitterter Kampf gegen die im Vergleich zur „angebotenen“ Standardtherapie oft wesentlich günstigere und besser verträglichere Hyperthermie zu beobachten, ausgetragen aktuell über die Dichotomie „wissenschaftliche“ und „nichtwissenschaftliche“ Hyperthermie.

Juristische Einzelheiten hierzu können in diesem Rahmen nicht behandelt werden. Sie sind auch eher akademischer Natur. Dieser Beitrag soll lediglich kurz die rechtlichen Rahmenbedingungen der Erstattungspflicht aufzeigen, um sodann anhand einiger aktueller Praxisbeispiele ein ungefähres Gespür dafür zu vermitteln, wann eine Durchsetzung von Erstattungsansprüchen Erfolg versprechend sein könnte.

Zur Rechtslage: „Vertretbarkeit“ der Hyperthermie und „Nikolaus“-Grundsätze

Die Rechtslage als solche ist überschaubar. Bei privat Versicherten begründet bereits die reine Vertretbarkeit eine Erstattungspflicht, wohingegen im Bereich der gesetzlichen Krankenversicherungen eine Leistung nur unter den – abschließenden – Voraussetzungen des § 2 Abs. 1 SGB V möglich ist:

Bei Privatpatienten bestimmt sich die Leistungspflicht ihrer Krankenversicherung regelmäßig nach § 1 Abs. 2 der dem Versicherungsvertrag zugrunde liegenden Bedingungen. Versicherungsfall ist hiernach die „medizinisch notwendige Heilbehandlung“, wobei diese Definition nicht im Wortsinne, mithin als „unerlässlich“ bzw. „unter allen Umständen erforderlich“ zu verstehen ist. Vielmehr liegt nach höchstrichterlicher Rechtsprechung die medizinische Notwendigkeit bereits dann vor, wenn die jeweilige Maßnahme aus Behandlersicht als vertretbar angesehen werden konnte. Die Orientierung an den Leitlinien der evidenzbasierten Medizin kann lediglich ein erster Anhaltspunkt für die medizinische Notwendigkeit der durchgeführten Behandlungsmaßnahme sein.

Keinesfalls ist die medizinische Notwendigkeit nur bei Methoden der Schulmedizin zu bejahen, wie der Bundesgerichtshof wiederholt klargestellt hat.

Wird – wie so oft mit der Hyperthermie – eine lebensbedrohende Erkrankung therapiert, ist von der medizinischen Notwendigkeit der Behandlung bereits dann auszugehen, wenn sie als wahrscheinlich geeignet angesehen werden kann, zumindest auf die Verlangsamung der Erkrankung hinzuwirken. Es ist in einer solchen Konstellation nicht erforderlich, dass der Behandlungserfolg näher liegt als sein Ausbleiben; vielmehr reicht es aus, wenn die Behandlung mit nicht nur ganz geringer Erfolgsaussicht das Erreichen des Behandlungsziels als möglich erscheinen lässt.

Für gesetzlich Versicherte existiert ein festgelegter Behandlungskatalog, auf dessen Inhalt sich die Leistungspflicht beschränkt. Nur ausnahmsweise, unter den genau definierten Voraussetzungen des § 2 Abs. 1a SGB V, darf auch jenseits dieses Leistungskatalogs erstattet werden. Hyperthermische Behandlungen wurden bislang noch nicht aufgenommen, so dass eine Kostenerstattung grundsätzlich nur unter den abschließenden „Nikolaus“-Bedingungen des § 2 Abs. 1a SGB V in Betracht kommt:

  • zur Behandlung einer lebensbedrohlichen Erkrankung,
  • für die eine „allgemein anerkannte“ Behandlung nicht mehr zur Verfügung steht,
  • für eine Therapie, die zumindest die nicht ganz entfernt liegende Aussicht auf „spürbar positive Einwirkung auf den Krankheitsverlauf“ bietet.

Wichtig zu wissen

Den von Versicherungen und (MDK-)Sozialmedizinern oft ins Feld geführten angeblich gänzlichen Ausschluss der Leistungspflicht für hyperthermische Verfahren gibt es nicht. Zwar hat der Gemeinsame Bundesausschuss im Jahr 2005 hyperthermische Verfahren den „nicht anerkannten Untersuchungs- und Behandlungsmethoden“ zugeordnet, weil – so der GBA – die Forschung bei einigen Indikationen zwar schon weit fortgeschritten sei, insgesamt aber eine Einführung in die vertragsärztliche Versorgung angesichts der Komplexität des Themas (noch) nicht empfohlen werden könne. Diese Negativbewertung gilt jedoch nur für die allgemeine vertragsärztliche Versorgung, nicht hingegen für die außervertragsärztliche Versorgung nach den „Nikolaus“-Grundsätzen des § 2 Abs. 1a SGB V. Nachdem das Bundesverfassungsgericht dieses ausdrücklich klarstellen musste, hat sich mittlerweile auch der GBA dieser – einzig vertretbaren – Auffassung angeschlossen.

Aktuelle Beispiele aus behördlicher und gerichtlicher Praxis

Die nachstehende Auswahl von Verfahren aus der Kanzlei des Verfassers soll dazu beitragen, die doch recht abstrakte Rechtslage zu erschließen. Es handelt sich jeweils um behördliche oder gerichtliche Verfahren aus den Jahren 2012 und 2013.

Wie bei allen Einzelfallentscheidungen können die Ergebnisse nur bedingt auf andere Fälle übertragen werden.

Stets spielt nämlich der individuelle Krankheitsverlauf eine entscheidende Rolle, namentlich die diagnostizierte Tumorentität und die Klassifikation der Erkrankung, die durchgeführte Primärtherapie sowie Art, Umfang und Verträglichkeit (noch) zur Verfügung stehenden leitliniengerechten Therapie. Gleichwohl sollte deutlich werden, dass die Erstattungschancen umso höher sind, je weniger einerseits eine (weitere) leitliniengerechte Therapie zur Verfügung steht bzw. je weniger diese verträglich ist und je wahrscheinlicher es andererseits ist, dass die Hyperthermie im Streitfall eine spürbar positive Einwirkung auf den Krankheitsverlauf bietet – die durchaus „nur“ in einer Verbesserung der Lebensqualität liegen kann.

Erfreulich ist, dass trotz zuletzt restriktiver Bestrebungen in der Rechtsprechung tendenziell mehr Verfahren bereits außergerichtlich – im Widerspruchsverfahren – erfolgreich sind.

Einige aktuelle Verfahren und Urteile aus der Kanzlei des Autors

Gesetzliche Krankenversicherung zur Kostenerstattung UND künftiger Sachleistung für regionale Tiefenhyperthermie verpflichtet

Bei der Patientin wurde Bauchspeicheldrüsenkrebs mit diffuser Lebermetastasierung diagnostiziert.Wegen ihres fortgeschrittenen Lebensalters und der hierdurch bedingten Immunsuppression lehnte die gesetzlich Versicherte die fachärztlich „angebotene“ Operation und Chemotherapie ab. Eine kurative Therapie stand nach den onkologischen Leitlinien nicht zur Verfügung, weshalb sich die Patientin zur Erhaltung der Lebensqualität für eine Behandlung im Wege der regionalen Hyperthermiebehandlung entschied; zusätzlich wurden Mistel- und andere immunmodulierende Infusionen verabreicht. Die von den behandelnden Ärzten beantragte Kostenübernahme lehnte die gesetzliche Krankenversicherung (AOK Niedersachsen) ab: Die begehrte Therapie zähle zu den „neuen Behandlungsmethoden“ und sei vom GBA noch nicht positiv bewertet worden. Im Übrigen stünden zur Behandlung der diagnostizierten Lebermetastasen im Rahmen der vertragsärztlichen Versorgung auch eine Radioembolisation und/oder eine Chemoembolisation zur Verfügung. Dem hierauf von der Kanzlei gestellten Antrag auf Erlass einer einstweiligen Anordnung wurde von dem zuständigen Sozialgericht Magdeburg umgehend stattgegeben. Nach der vorläufigen Verpflichtung im Beschlusswege erkannte die AOK auch den Sachleistungs- und Kostenübernahmeanspruch in der Hauptsache an, was zur endgültigen Erledigung der Angelegenheit führte.

Zur Begründung führte das Sozialgericht aus: Es sei nachvollziehbar, dass die nur noch palliativ behandelbare Patientin die vertragsärztlichen Versorgungsalternativen (Operation und Chemotherapie) aufgrund der zu erwartenden, gravierenden Nebenwirkungen ablehne, so dass bei verfassungskonformer Auslegung der leistungsrechtlichen Vorschriften keine Standardmethode mehr zur Verfügung stehe. Demgegenüber biete die begehrte hyperthermische Behandlung die Aussicht auf eine spürbar positive Auswirkung auf den Krankheitsverlauf. Dies ergebe sich nicht nur aus der erreichten Verbesserung der Lebensqualität der Patientin und der Stabilisierung ihres Allgemeinbefindens. Auch die von der Kanzlei aufbereitete Studienlage weise in diese Richtung. Insbesondere berichte eine der vorgelegten Arbeiten über ein ausschließlich hyperthermisch behandeltes Patientenkollektiv, das sich bewusst gegen Operation, Chemo- und Radiotherapie entschieden hatte und bei denen Überlebenszeiten von bis zu fünf (!) Jahren verzeichnet werden konnten. (AZ: S 17 KR 448/12 ER)

TACE-Erstattung und Hyperthermie nach erfolgreichem Widerspruchsverfahren

Bei der Mandantin wurde ein hepatozelluläres Karzinom mit Knochenmetastasen diagnostiziert. Die leitliniengerechte Strahlentherapie musste aufgrund einer Unverträglichkeit gegen das benutzte Kontrastmittel abgebrochen werden. Die im Anschluss begonnene Chemotherapie musste wegen zu starker Nebenwirkungen abgebrochen werden. Die Patientin entschloss sich, da die behandelnde Klinik sie als „austherapiert“ entließ, zu einer transarteriellen Chemoembolisation (TACE) in Kombination mit einer hyperthermischen Behandlung.

Bereits nach einigen Embolisationen hatten sich die Leberwerte der Mandantin erheblich verbessert; die im Verlauf erhobene bildgebende Diagnostik dokumentierte einen deutlichen Rückgang der Metastasen. Die beantragte Kostenübernahme wurde von der Gesetzlichen Krankenversicherung abgelehnt: Hyperthermische Behandlungen seien ebenso wie die TACE noch nicht in den Leistungskatalog der gesetzlichen Krankenversicherung aufgenommen; die Voraussetzungen für eine außervertragsärztliche Leistung lägen mangels ausgeschöpftem Leistungskatalog (noch) nicht vor.

Die Kanzlei beantragte daraufhin den Erlass einer einstweiligen Anordnung und begründete in diesem Zusammenhang ausführlich das Vorliegen einer Leistungspflicht auch für solche Methoden, die noch nicht zum „allgemein anerkannten Standard“ gehören. Im Verlauf des Eilverfahrens konnte die Krankenversicherung zu einer vergleichsweisen Einigung des Rechtsstreites bewegt werden, nach welcher die Kosten für 2 x 10 Zyklen TACE mit paralleler hyperthermischer Behandlung (ebenfalls 2 x 10 Zyklen) übernommen wurden. (Information über BBP Rechtsanwälte)

Langes – aber erfolgreiches –Widerspruchsverfahren: Gesetzliche Krankenkasse zahlt Hyperthermie

Bei der Patientin wurde ein metastasiertes Psammonkarzinom diagnostiziert, das nach ausführlicher operativer Intervention zytostatisch nachbehandelt wurde. Zusätzlich zum chemotherapeutischen Schema wurde – zur Verstärkung der zytotoxischen Wirkung – im Wege der lokoregionalen Hyperthermie behandelt. Die beantragte Kostenübernahme für die ergänzende Hyperthermie lehnte die gesetzliche Krankenversicherung (mhplus) zunächst ab: Es läge keine Indikation für eine die Chemotherapie unterstützende Behandlung vor; eine wirksamkeitsverstärkende Hyperthermie sei medizinisch nicht notwendig. Ferner handele es sich nicht um ein „wissenschaftliches“ Hyperthermie-Gerät mit entsprechender Feldstärke. Im Rahmen des Widerspruchsverfahrens begründete die Kanzlei ausführlich – unter Aufbereitung der einschlägigen Fachliteratur sowie erstrittener Entscheidungen – das Vorliegen der Voraussetzungen für eine außervertragsärztliche Versorgung. Hierauf wurde der ursprüngliche Ablehnungsbescheid aufgehoben; die Versicherung erklärte sich nunmehr bereit, die Kosten für die neben der Zytostase durchgeführten Hyperthermiebehandlungen zu erstatten. Die zwischenzeitlich eingereichte Klage musste nicht mehr beschieden werden. (Information über BBP Rechtsanwälte)

Gesetzliche Krankenversicherung leistet für regionale Tiefenhyperthermie

Bei der Patientin wurde ein sog. Klatskin-Tumor diagnostiziert. Aufgrund des sehr reduzierten Allgemeinzustandes kam eine leitliniengerechte Chemotherapie nicht in Betracht. Der behandelnde Arzt empfahl daher die Behandlung im Wege der regionalen Hyperthermie, unter welcher sich der Zustand der Patientin erheblich verbesserte.

Die beantragte Kostenübernahme lehnte die gesetzliche Krankenversicherung (Techniker Krankenkasse) zunächst ab: Hyperthermische Behandlungen seinen kein Bestandteil des Leistungskataloges der GKV. Im Übrigen lägen für die streitgegenständliche Tumorerkrankung keine belastbaren Daten vor. Im angestrengten gerichtlichen Eilverfahren, in welchem das Vorliegen der Voraussetzungen für eine außervertragsärztliche Versorgung (sog. „Nikolaus-Grundsätze“) umfangreich dargelegt wurde, erging jedoch ein Abhilfebescheid: Die Techniker Krankenkasse erklärte sich nunmehr bereit, die Kosten für einen Zyklus von 20 hyperthermischen Behandlungen zu übernehmen. Die Kostenübernahme wurde später auf weitere 20 Sitzungen ausgedehnt. (Information über BBP Rechtsanwälte)

Hyperthermie- und Ozontherapie: Zustimmung zur Kostenübernahme durch BKK

Bei der Mandantin wurde ein Mammakarzinom diagnostiziert. Sie erhielt mehrere leitlinienorientierte Therapien, namentlich eine Operation sowie Strahlen- und Chemotherapien. Dennoch kam es zu einem Progress. Bei der Mandantin waren insoweit alle standardisierten Therapiemaßnahmen ausgeschöpft, worauf der Behandler neben der leitliniengerecht durchgeführten Chemotherapie eine Kurzwellen- Tiefenhyperthermie der Tumorregion, Ozontherapie und Vitamin-C-Infusion initiierte. Im Verlauf dieser unterstützenden Behandlung zeigte sich eine deutlich positive Wirkung auf den Krankheitsverlauf und das Allgemeinbefinden der Mandantin. Die Betriebskrankenkasse lehnte eine Kostenübernahme zunächst mit der Begründung ab, die medizinische Notwendigkeit der begehrten Behandlungen sei nicht indiziert. Nachdem die Kanzlei Widerspruch gegen diesen Bescheid einlegte, übernahm der Widerspruchsausschuss die Argumentation der umfangreichen Begründung und stimmte einer Kostenübernahme zu.

Zur Begründung führte er – trotz gegenteiliger Auffassung des MDK – aus, dass die Voraussetzungen des „Nikolausbeschlusses“ bei diesen Behandlungen erfüllt seien: Die Mandantin litt an einer lebensbedrohlichen Erkrankung, für die keine allgemein anerkannten, dem Standard entsprechenden Therapien (mehr) zur Verfügung standen. Ferner wirkte sich die Hyperthermie und die Ozontherapien zumindest spürbar positiv auf den Krankheitsverlauf aus. Dies zeige sich gerade auch daran, dass bei der Mandantin eine signifikante Verbesserung des Gesundheitszustandes zu verzeichnen war. (Information über BBP Rechtsanwälte)

Ausblick und Zusammenfassung

Hyperthermische Verfahren haben sich im Laufe der letzten Jahre bei bestimmten Tumorentitäten zu einer ernstzunehmenden therapeutischen Option entwickelt – sei es als Ergänzung „schulmedizinischer“ Verfahren oder als (teilweise) Substitution. Zwar handelt es sich aus juristischer Sicht noch um eine „neue“ bzw. „unkonventionelle“ Behandlungsmethode.

Gleichwohl werden sowohl private als auch gesetzliche Krankenversicherungen mehr und mehr zur Kostenerstattung verpflichtet.

Die Leistungspflicht wird sich allerdings – stark vereinfacht – auf die Therapie inkurabler Erkrankungen beschränken, für welche Standardverfahren nur noch bedingt zur Verfügung stehen. Wenngleich die Rechtsprechung in diesem Bereich nur geringe Anforderungen an die Erfolgsaussichten der durchgeführten Therapie stellt, muss im Einzelfall wenigstens die nicht ganz fern liegende Aussicht bestehen, zumindest die Progression zu verlangsamen.

Bis einheitliche Standards auf medizinischer Seite geschaffen sind, wird sich die Rechtsprechung weiter uneinheitlich entwickeln: Während einige Gerichte erfreulicherweise bereits einen positiven individuellen Therapieverlauf genügen lassen, teilweise ergänzt um eine (schlüssige) befürwortende Stellungnahme des Behandlers (sog. interne Evidenz), fordern andere Spruchkörper möglichst valide klinische Daten für die konkret in Rede stehende Erkrankung und lehnen jede Übertragung von Ergebnissen betreffend andere Tumoridentitäten kategorisch ab.

Die Zukunft liegt in der Aufarbeitung der einzelnen Fallkonstellationen. Zu klären bleiben insbesondere die beiden aktuell praxisrelevantesten Fragen,
a.) ob und inwieweit zu bestimmten Tumorentitäten gewonnene Studienergebnisse aufgrund der (auch) unspezifischen Wirkung der Hyperthermie auf andere Tumorklassifikationen übertragbar sind und
b.) ob und inwieweit imWege der „Elektrohyperthermie“ eine klinisch relevante Erwärmung der jeweiligen Körperregion gelingt.

Wir werden auch zukünftig über aktuelle Verfahren und Gerichtsurteile für die Leserinnen und Leser der „Aktuellen Gesundheitsnachrichten“ berichten.

Weitere Informationen:
Dr. Frank Breitkreutz
Rechtsanwalt und Fachanwalt für Medizinrecht,
BBP Rechtsanwälte
Mommsenstraße 11, 10629 Berlin

 

Aktuelles aus der Krebsforschung

Die Ausbreitung von Tumoren bekämpfen

Die Fähigkeit von Zellen, sich aktiv zu bewegen, wird mit Zellmotillität beschrieben. Die unkontrollierte Zellmotillität gehört zu den typischen Eigenschaften bösartiger Tumoren. Sie macht das Eindringen der Tumorzellen in Nachbargewebe möglich, streut sie im Körper und sorgt für Ansiedlungen in anderen Organen und damit für die Bildung von Metastasen.

Forscher der Fakultät für Biologie und der Medizinischen Fakultät der Universität Freiburg sowie des Deutschen Konsortiums Translationale Krebsforschung forschen mit dem Ziel, die molekularen Mechanismen der zentralen Signalwege besser zu verstehen und herauszufinden, wie sich die Mortillität von Zellen kontrollieren lässt.
(Quelle: Albert-Ludwigs-Universität Freiburg)

 

Neue Erfahrungen mit Hyperthermie – bessere Chancen in der Therapie

Dr. med. Andreas-Hans Wasylewski

Im September 2013 trafen sich deutsche und polnische Mediziner und Fachkollegen in Krakau zu einem Erfahrungsaustausch. Thema dieses deutsch-polnischen Symposiums:

Die Bedeutung der Hyperthermie in der Onkologie

Aktuelle Erkenntnisse und neue Erfahrungen aus der Anwendung in Polen und Deutschland wurden von den Teilnehmern beider Länder ausgetauscht.

Die Organisation des Symposiums lag in den Händen der EANU Berlin (Europäische Akademie für Naturheilverfahren und Umweltmedizin), des Hyperthermie Zentrums Krakau, der Deutschen Gesellschaft für Hyperthermie sowie der Polnischen Gesellschaft für Onkologische Hyperthermie. Der Präsident der Polnischen Gesellschaft für onkologische Hyperthermie, Prof. Jerzy Stelmachow, moderierte das Treffen. Die Kernaussage lässt sich neben den zahlreichen einzelnen aktuellen Erfahrungen der teilnehmenden Kollegen wie folgt zusammenfassen:

Die Hyperthermie reflektiert eine fast 300-jährige Historie. Bereits 1894 veröffentlichte W. B. Coley erste Hinweise zur heilenden Wirkung von künstlich erzeugtem Fieber auf schwere Krebserkrankungen. 1957 wurde diese Entdeckung durch O. Selawry an 150 histologisch gesicherten Karzinomen, die nach Fieber in Remission gingen, wissenschaftlich bestätigt. Es ist lange genug unklug gewesen, diese Option so zu vernachlässigen. Die moderne Onkologie ist unabhängig von moderner Pharmakologie, Chirurgie und Strahlentherapie auf weitere Impulse zur Prognoseverbesserung angewiesen! Die Hyperthermie besticht als naturnahe Heilweise und überzeugt mit High-tech durch sehr geringe Nebenwirkungen.

Weitere Teilnehmer des Symposiums waren Dr. med. Andreas-Hans Wasylewski, Berlin, Prof. Dr. med. H. Wehner, Wilhelmshafen, Prof. Dr. med. Beata Spiewankiewicz, Warschau, Dr. Bettina Weigelin, Nijmegen/ Holland, Dr. med. Huseyin Sahinbas, Bochum, Dr. Ryszard Krynicki, Warschau, Dr. Kai Schulze-Forster, Luckenwalde.

Das Fazit des Symposiums: Im Herbst 2014 wird es ein neues Treffen geben!

Impressionen vom Erfahrungsaustausch 2013 in Krakau




 


Die “Aktuellen Gesundheitsnachrichten” können Sie kostenlos bestellen oder online nachlesen. Sind Sie an unserem NEWSLETTER interessiert?

Bitte richten Sie Ihre Wünsche an unsere Kontaktadresse:
Europäische Akademie für Naturheilkunde und Umweltmedizin
Grottkauer Straße 24, 12621 Berlin
Tel. +49(0)30 – 55 15 82 48, Fax: +49(0)30 – 55 15 82 49
E-Mail: info@eanu.de; www.eanu.de
www.facebook.com/EANU.Berlin

In eigener Sache: Wir danken den ehrenamtlichen Helfern, die uns in unserer Arbeit für diese Ausgabe unterstützt haben.

IMPRESSUM: Aktuelle Gesundheitsnachrichten, Heft 12/2014, ISSN (Print) 2199-9791, ISSN (Internet) 2199-9805

HERAUSGEBER: Europäische Akademie für Naturheilverfahren und Umweltmedizin (EANU)
Dr. Wasylewski GmbH, Grottkauer Straße 24, 12621 Berlin, Tel. +49(0)30-55158248

REDAKTIONSTEAM: Dagmar Moldenhauer, Dr. med. A .-H. Wasylewski, Jochen Friedrich, Michael Schwalbe, Regine Kelm
Bild: Fotolia.com: CLIPAREA (Titel) Robert Kneschke, Kotangens, mradelhuber, magann, Serghei Nelusceae, Siberia, Bernhard Maurin, Christian Jung; Joachim Kirchmair, Von Autoren/Kliniken: Helios Klinikum Emil v. Behring; Prof. Nowak TU München; MVZ Dr. Ellwanger; Prof. Hegyi Budapest; Immanuel Krankenhaus Prof. Michalsen; Prof. Leitzmann; Choriner Musiksommer e.V.; Dr. Breitkreutz.

Redaktionelle Texte und Beiträge geben nicht unbedingt die Meinung des Herausgebers wieder. Sie enthalten Erkenntnisse aus Medizin und Forschung, die einem steten Wandel unterliegen. Für die Aktualität und die Inhalte der Texte sind die Autoren verantwortlich.