Zurück

 

 

Aktuelle Gesundheits-Nachrichten

Krebs bei Kindern und Jugendlichen

Integrative Medizin und psychosoziale Versorgung in der Kinderonkologie

Gemeinsam Forschung und Behandlung verbessern

Leistungen der Krankenkassen, Möglichkeiten und Grenzen

Krebsprävention, Schätze aus Wiese und Garten

Aktuelles aus der Krebsmedizin

 

Mit Hoffnung leben

Liebe Leserin, lieber Leser,

Erschütterungen und seelisches Chaos bestimmen das Leben nach einer Krebsdiagnose. In einer Situation allerdings kann der Zustand der Erschütterung schlimmer nicht sein. Erkrankt ein Kind, ist die Tragik kaum fassbar. Was sich dennoch immer wieder als Quelle neuer Kraft zeigt, ist die Gemeinsamkeit – in der Familie, im Freundeskreis und nicht zuletzt die, die sich mit dem Therapeutenteam entwickelt.

Das Robert Koch Institut hat errechnet, dass die Wahrscheinlichkeit für ein neugeborenes Kind, innerhalb seiner ersten 15 Lebensjahre eine bösartige Erkrankung zu erleiden, bei etwa 0,2% liegt. Das hört sich gering an – bedeutet in absoluten Zahlen aber, dass etwa bei jedem 420. Kind (in Deutschland) Krebs diagnostiziert wird. In den Industrienationen überleben heute 70 bis 80% der betroffenen Kinder und Jugendlichen ihre Krebserkrankung.

Problematisch bleibt die Rückfallquote nach intensiven Therapien. Die Autoren dieses Themas (unser Thema heute) beschäftigen die Ursachen der Krebsentstehung bei Kindern, die Wirkungsweise von Therapien, neue translationale und globale Forschungsergebnisse. Erfahrungen und tägliche Praxis zeigen, dass sich Krebs bei Erwachsenen von Krebserkrankungen bei Kindern grundlegend unterscheiden. Demzufolge lassen sich Erkenntnisse oft nur wenig auf die pädiatrische Onkologie übertragen. Eine spezielle Forschung scheint zwingend.

Wir freuen uns, Ihnen drei komplexe Themen der Klinik für Pädiatrie mit Schwerpunkt Onkologie und Hämatologie der Charité Berlin in einem interdisziplinären Konzept sowie weitere interessante Beiträge vorstellen zu können. Für Ihr anhaltendes Interesse danken wir Ihnen. Wir wünschen ein friedvolles Weihnachtsfest und für das Jahr 2015 neue Kraft und gute Träume, denn wer nicht wagt zu träumen, hat keine Kraft zu kämpfen.

Dagmar Moldenhauer, Redaktionsleiterin & Team

 

Für Sie in dieser Ausgabe

IN EIGENER SACHE

  • Diagnose Krebs, was nun?

THEMA HEUTE

  • Krebs bei Kindern und Jugendlichen
  • Integrative Medizin in der Kinderonkologie
  • Individuell begleitet, Psychosoziale Versorgung in der Kinderonkologie der Charité Berlin

IM BLICKPUNKT

  • DHGO Jahrestagung der Deutschen, Österreichischen und Schweizerischen Gesellschaft für Hämatologie und Medizinische Onkologie
  • Im Interview: Frau Prof. Dr. med. Claudia Witt, Zürich

WISSEN

  • Gemeinsam Forschung und Behandlung verbessern: Stakeholder Involvement

RAT & TAT

  • Leistungen der Krankenkassen, Möglichkeiten und Grenzen
  • Krebsprävention: Schätze aus Wiese und Garten

ERFAHRUNGEN

  • Krankheitserfahrungen: Mein Leben mit Krebs
  • Gesundheitserfahrungen: Die Sonneninsel Usedom

AKTUELLES AUS DER KREBSFORSCHUNG

 

Diagnose Krebs, was nun?

Dr. med. Andreas-Hans Wasylewski

Liebe Leserin, lieber Leser,

heute wende ich mich ganz speziell an diejenigen, die die Diagnose Krebs erhalten haben. Immer wieder werde ich gefragt, was soll ich als erstes nach der Krebsdiagnose tun?

Die Diagnose Krebs kommt unerwartet und verändert plötzlich das ganze Leben. Alle Ihre privaten und beruflichen Pläne werden in Frage gestellt. Sehr oft können nach dieser Diagnose auch negative Gefühle wie Angst, Unsicherheit, Wut und Gereiztheit auftreten. Besonders Hoffnungslosigkeit und auch Schuldgefühle führen viele Betroffene oft in eine Apathie. Sie dürfen nicht passiv bleiben und warten, dass die anderen die Verantwortung für Ihre Gesundheit und auch für Ihr Leben übernehmen. Sie sind die betroffene Person, und Sie müssen auch alle Konsequenzen tragen – für richtige oder falsche Entscheidungen. Deshalb holen Sie sich eine zweite Meinung über weitere Optionen für diagnostische Maßnahmen und Therapien.

Der Hausarzt oder der Facharzt, der Sie weiter betreuen sollte, muss nicht nur eine fachliche Kompetenz aufweisen, sondern vor allem Ihr Vertrauen gewinnen. Er sollte Ihr Partner bei allen Problemen sein, die im Zusammenhang mit der Krankheit entstehen. Die wichtigen Therapiemaßnahmen wie eine Operation, Strahlentherapie oder Chemotherapie sollten in einem zertifizierten Krebszentrum stattfinden, wo erfahrene Onkologen tätig sind. Das Angebot einer psychoonkologischen Betreuung durch kompetente Psychotherapeuten sollten Sie annehmen.

Nehmen Sie sich Zeit für sich selbst, schonen Sie sich. Sie brauchen Ihre Kraft und die ganze Energie, die in Ihrem Körper steckt, für die neuen Aufgaben. Ihr Alltag muss neu organisiert werden. Sprechen Sie mit Ihrer Familie und Ihren Freunden über die neu entstandene Situation. Sortieren Sie auch Ihren Bekanntenkreis und wenden Sie sich nur an die Menschen, die positiv auf Sie wirken und die Ihnen auch wirklich helfen wollen.

Wichtig ist auch, sich auf jedes Gespräch mit den Ärzten oder anderen Ansprechpartnern gut vorzubereiten. Alle Ihre Krankheit betreffenden Unterlagen sollten Sie in einer eigenen Patientenmappe aufbewahren und zu jedem Gespräch mitnehmen. Ein Familienmitglied oder Freund sollte Sie zu den Arztterminen begleiten, um Gesprächsinhalte nicht zu vergessen und um anschließend noch über die Resultate der Beratungen diskutieren zu können. Während des jeweiligen Gesprächs machen Sie sich Notizen über die weitere Planung der Therapie und über Unklarheiten oder Fragen, die neu entstanden sind.

Gehen Sie zu den Treffen der Selbsthilfegruppe in Ihrer Nähe und holen Sie sich das Wissen, das Sie brauchen. Hier kann auch das Internet hilfreich sein. Haben Sie keine Scheu davor, Ihrem Arzt viele Fragen zu stellen, um die geplante Therapie besser zu verstehen und auch zu vertragen. Seien Sie aktiv. Ein bewusster Patient lebt länger.

Und noch etwas, tun Sie für sich etwas Gutes, für Ihren Körper und für Ihre Seele. Verlieren Sie bitte keine Zeit und Energie für unwichtige Dinge. Vielleicht gibt es einiges zu ändern in Ihrem Leben. Seien Sie jetzt egoistisch, wenn es um Sie und Ihre Gesundheit geht. Sagen Sie jetzt öfter auch einmal nein. Nehmen Sie sich Zeit nur für sich. Hören Sie Ihre Lieblingsmusik und entspannen Sie Ihren Körper. Gehen Sie täglich spazieren. Ernähren Sie sich bewusst und Ihrer Erkrankung und Therapie entsprechend. Wenn Sie als Patient klare Ziele haben, versuchen Sie bitte, diese auch hundertprozentig zu erreichen. Wenn Sie nur eine halbe Sache machen, können Sie auch nur maximal die Hälfte Ihrer Ziele realisieren.

In der Hoffnung, Ihren ein wenig geholfen zu haben, wünsche ich Ihnen Kraft und den besten Erfolg für Ihren Anteil am Management Ihrer Erkrankung.

Ihr Dr. Wasylewski

 

„Je weniger Dinge man auf Erden wichtig nimmt, desto eher kommt man zu den wirklich wichtigen Dingen.“(Frederico Garcia Lorca)

 

Krebs bei Kindern und Jugendlichen

Prof. Dr. med. Angelika Eggert, Klinikdirektorin Klinik für Pädiatrie mit Schwerpunkt Onkologie und Hämatologie, Charité Universitätsmedizin Berlin

Krebserkrankungen im Kindes- und Jugendalter sind glücklicherweise recht selten. Dennoch ist Krebs in den Industrieländern die häufigste tödliche Krankheit bei Kindern und Jugendlichen. In Deutschland sind jedes Jahr etwa 2000 junge Patienten vom 1. bis zum 18. Lebensjahr neu davon betroffen. Die häufigsten Erkrankungen sind Leukämien (34%), gefolgt von Hirntumoren (23%) und Neuroblastomen (8%). Dank der engen Zusammenarbeit von behandelnden Ärzten und Forschern in den letzten 50 Jahren, gehört der Kampf gegen Krebs bei Kindern jedoch zu den großen Erfolgsgeschichten der Medizin. Bis Ende der 1960er Jahre kam die Aussage „Ihr Kind hat Krebs“ einem Todesurteil gleich, denn die durchschnittlichen Überlebensraten lagen damals deutlich unter 20%. In den Industrienationen überleben heute 70 bis 80% aller Kinder und Jugendlichen mit Krebserkrankungen.

Doch leider sterben auch heute immer noch Kinder an Krebs. Ärzte und Wissenschaftler haben derzeit keine ausreichende Erklärung, warum die Kinder erkranken. Anders als bei Krebserkrankungen des Erwachsenenalters scheinen Umweltfaktoren nur eine sehr geringe Rolle zu spielen.

Es wird vermutet, dass bereits während der embryonalen Entwicklung des normalen Gewebes genetische Veränderungen in Stammzellen oder anderen Ursprungszellen entstehen und die daraus resultierenden Fehlfunktionen die Hauptursache vieler Krebserkrankungen sein könnten.

Aber wie lassen sich solche defekten Gene rechtzeitig abschalten? Lassen sich ihre fatalen Signalwege hemmen? Oder könnte das Immunsystem verändert werden, damit es den Krebs erst gar nicht zulässt oder ihn effektiv bekämpfen kann? Es ist noch Vieles ungeklärt. Die Arten der einzelnen Erkrankungen und ihre Häufigkeit unterscheiden sich bei Kindern und Erwachsenen. So sind beispielsweise Karzinome im Kindesund Jugendalter außerordentlich selten (1%), während sie bei Erwachsenen mehr als 90% der Neuerkrankungen ausmachen.

Überlebensraten seit 1950

Daher lassen sich die Erkenntnisse aus der Erwachsenen-Onkologie oft nur wenig auf die pädiatrische Onkologie übertragen.

So sind auch neue Medikamente, die für Karzinome des Erwachsenenalters entwickelt wurden, aufgrund ihrer begrenzten Wirksamkeit für die Therapie bei Kindern nicht optimal geeignet. Daher ist eine gezielte Krebsforschung für Kinder, die sich mit den besonderen Eigenschaften kindlicher Krebserkrankungen beschäftigt, unerlässlich.

Europaweit werden mittlerweile fast alle Kinder und Jugendlichen mit bösartigen Erkrankungen in über 250 spezialisierten Zentren im Rahmen von Studien behandelt. Diese Studien dienen der Standardisierung von Therapieoptionen und deren Optimierung. Die weitere Verbesserung der Behandlungsergebnisse soll durch Diagnostik und Therapie nach dem besten Stand des Wissens und auf der Grundlage der Erkenntnisse vorangegangener Studien erzielt werden. Es geht hierbei nicht um die Zulassung von neuen Medikamenten, wie es bei den Studien der Pharmaindustrie der Fall ist.

Die Kinderonkologie ist ein Beispiel dafür, wie durch die konsequente Erfassung aller Erkrankungen und einem einheitlichen, multizentrischen, evidenzbasierten Vorgehen, Erfahrung in der Therapieoptimierung gewonnen werden und dadurch die Prognose verbessert werden kann.

Der Preis des Therapieerfolges ist jedoch noch immer sehr hoch: lebensbedrohliche Nebenwirkungen und gravierende Spätfolgen, die mit der Behandlung einhergehen können. Insbesondere die Spätfolgen nach Chemotherapie und Bestrahlung (Zweitmalignome, Schäden am Herzen, an den Nieren oder der Leber, Hormonstörungen, Hörverlust usw.) geben Anlass zur Sorge und zum Umdenken.

Hinzu kommt, dass die Möglichkeiten der klassischen 3-Säulen Therapie (Chirurgie, Chemotherapie und Strahlentherapie) ausgeschöpft zu sein scheinen, da die Heilungsraten bei den meisten kindlichen Krebserkrankungen trotz Intensivierung der Therapie stagnieren.

In den letzten Jahren ist das Wissen über die molekularen Ursachen von Krebserkrankungen sprunghaft gestiegen. Diese neuen Erkenntnisse ebnen den Weg für präzise Diagnosen und individuelle, für jeden Patienten maßgeschneiderte Behandlungsansätze.

Kinderonkologische Diagnostik und Therapie an der Charité

Das Ziel unserer Klinik ist es, in Zusammenarbeit aller Berufsgruppen und Fachexperten die Diagnostik, Behandlung und Prognose kindlicher Krebserkrankungen zu verbessern. Gleichzeitig bemühen sich die Ärztinnen und Ärzte in den wissenschaftlichen Programmen, die Mechanismen der einzelnen Krebserkrankungen besser zu verstehen und gezielter zu bekämpfen. Jährlich werden in der Charité rund 120 Kinder mit einer neu diagnostizierten bösartigen Erkrankung und 30 junge Patienten mit einem Rückfall ihrer Erkrankung behandelt. Auf der Station für Stammzelltransplantation werden pro Jahr ca. 40 pädiatrische Transplantationen durchgeführt. Im Rahmen der ambulanten Behandlung und Nachsorge finden jährlich über 10.000 Patientenvorstellungen statt.

Eine besondere Expertise der Klinik ist die Behandlung akuter Leukämien sowie von Neuroblastomen und Hirntumoren.

Aktuell wird als neues Therapie-Angebot der Kinderonkologie an der Charité das Verfahren der regionalen Hyperthermie (RHT) in Kombination mit Chemotherapie eingeführt. Dabei handelt es sich um eine Behandlungsmethode, die die positiven Effekte von Hitze im Körper nutzt. Die ursprüngliche Idee einer Anwendung von Hitze ist aus der Beobachtung entstanden, dass Krebszellen außerhalb des Körpers mitunter schon allein durch eine Erhitzung auf 43°C beginnen abzusterben.

Während die Wirkung von Hyperthermie allein jedoch eine Krebserkrankung nicht heilen kann, so werden die Wärmeeffekte durch eine zusätzliche Chemo- oder Strahlentherapie deutlich verstärkt. Somit ist die Hyperthermie eine therapeutische Überwärmung, die möglicherweise die Wirkung der etablierten Standardtherapien verbessern kann. Die Anwendung der Hyperthermie im Rahmen etablierter krebstherapeutischer Konzepte wurde in den letzten 20 Jahren durch Wissenschaftler der Charité wesentlich mitentwickelt. In den universitären kinderonkologischen Zentren Berlin und Düsseldorf wird die Hyperthermie zukünftig ein wichtiges neues Therapieelement darstellen. RHT wird dabei in Kombination mit einer Chemotherapie zur Behandlung solider Tumoren angewendet. Prinzipiell eignet sich diese Kombinationstherapie für die Behandlung fast aller soliden Tumorarten, insbesondere in der Rückfallsituation und bei eingeschränkten Möglichkeiten einer lokalen Behandlung, z.B. durch Strahlentherapie. Eine Hyperthermie kann ebenso angewendet werden, wenn eine Strahlentherapie keinen Erfolg verspricht oder im frühen Kindesalter zu bleibenden massiven Schäden führen würde. Die Anwendung der Hyperthermie muss jedoch wie jedes neue Therapieverfahren konsequent im Rahmen klinischer Studien erfolgen und kritisch überprüft werden.

Forschungsschwerpunkte

Ziel der Forschungen ist es, kindliche Krebserkrankungen besser zu verstehen. Die stagnierenden Heilungsraten, gravierende akute Nebenwirkungen und Langzeitkomplikationen durch die bestehenden Behandlungsverfahren zwingen hier zu einem Umdenken.

Der Weg zu gezielten, spezifischen Therapiestrategien kann nur über das Verständnis der molekularen Mechanismen gefunden werden.

Die kinderonkologische Forschergruppe der Charité widmet sich vor allem der so genannten translationalen Forschung. Diese anwendungsorientierte Forschung erstellt klinische Beobachtungen am Krankenbett in molekulare Muster. Diese molekularen Muster sollen wiederum in diagnostische Instrumente und neue Behandlungsmöglichkeiten übersetzt werden.

Das Forschungsportfolio enthält Studien zu Tumorerkrankungen des Kindesalters, die aufgrund ihrer Häufigkeit und ihrer unzureichenden Behandlungsansätze eine große Bedeutung im klinischen Alltag eines Kinderkrebszentrums besitzen. Unsere Studien konzentrieren sich auf die akute lymphoblastische Leukämie (ALL), Hirntumoren und das Neuroblastom.

   

Kinder, die an einem Neuroblastom erkrankt sind, haben oft Knochenmetastasen im Bereich beider Augen – ein sogenanntes „Brillenhämatom“

In Deutschland erkranken jährlich etwa 150 Kinder neu an einem Neuroblastom. Fast 90% der Patienten sind jünger als fünf Jahre. Am häufigsten betroffen sind Säuglinge vor dem ersten Lebensjahr. Neuroblastome entstehen aus entarteten unreifen Zellen des Nervensystems. Sie kommen am häufigsten im Nebennierenmark und im Bereich der Nervengeflechte beidseits der Wirbelsäule im Bauch, in der Brust oder im Halsbereich vor. Die Erkrankung weist sehr unterschiedliche Verläufe auf.

Eine Besonderheit der Neuroblastome ist, dass sie sich spontan zurückbilden oder zu gutartigen Tumoren ausreifen können. Diese Patienten können durchaus ausgedehnte Metastasen (Absiedlungen) vor allem in der Leber aufweisen, die rasch wachsen und durch die Verdrängung von Bauchorganen und der Lunge ein lebensbedrohliches Ausmaß erreichen. Diese Metastasen und auch der eigentliche Tumor bilden sich dann aber häufig spontan oder nach einer mild dosierten Chemotherapie zurück.

Besonders bei älteren Kindern jenseits des ersten Lebensjahres wachsen Neuroblastome allerdings oft sehr aggressiv und verbreiten sich schnell über das Blutoder das Lymphsystem im gesamten Körper. Es kommt zu schwer behandelbaren Metastasen, vorwiegend im Knochenmark und Knochen, in der Leber, der Haut und in entfernten Lymphknoten. Diese aggressive Form der Erkrankung führt auch heute noch trotz intensiver Behandlung häufig zum Tod der Patienten.

Die wesentlichen Ziele der gegenwärtigen Forschung sind:

  • ein verbessertes Verständnis der Mechanismen, die zu einer spontanen Rückbildung oder Ausreifung führen
  • die Präzisierung der Risikoeinschätzung der individuellen Erkrankung durch molekulargenetische Analysen und
  • die Entwicklung und Prüfung neuer gezielter Therapieansätze.

Die individuellen Eigenschaften von Neuroblastomen und anderen Krebszellen verstehen zu wollen, zu lernen, wie Krebs entsteht, sich ausbreitet und bekämpft werden kann, bedeutet, sich das Innere der Krebszelle anzuschauen und sich mit den einzelnen Bausteinen – den Molekülen – und ihren Signalwegen zu beschäftigen. Herauszufinden, welche Moleküle in der Krebszelle einen bedeutenden Defekt aufweisen und sich als Zielstruktur für die Entwicklung neuer Medikamente eignen, ist eine große Herausforderung, da es in einer Zelle zigtausend Mitspieler im zellulären Geschehen gibt.

In den letzten Jahren stehen uns zur Beantwortung dieser Fragestellungen moderne Hochdurchsatzverfahren wie beispielsweise die Sequenzierung von Genen oder die massenspektrometrische Analyse von Proteinen zur Verfügung, mit deren Hilfe wir uns sehr effizient ein umfassendes Bild der komplexen Mechanismen der Krebsentstehung machen können. Diese neuen Technologien ermöglichen heute die gleichzeitige Untersuchung zehntausender Gene oder Proteine in einer kleinen Tumorprobe in einem einzigen Experiment.

Immer wichtiger werden in den Forschungsansätzen auch computergestützte, bioinformatische Verfahren, durch die eine schnelle und möglichst umfassende Betrachtung der molekularen Mechanismen von Krebszellen ermöglicht wird. Die Bioinformatik hilft uns auch herauszufinden, welche Moleküle für das Überleben der Krebszelle wirklich notwendig sind und welche Moleküle nur ein unwichtiger Nebenschauplatz sind. Ebenso wichtig ist es für die Krebsforschung, die direkte Umgebung der einzelnen Krebszellen zu untersuchen und die Wechselwirkungen zwischen Krebszellen und umgebenden normalen Gewebezellen zu verstehen.

Nur so können die Forscher der Vielfalt der Krebserkrankungen gerecht werden und in Zukunft hochwirksame Behandlungsstrategien entwickeln, die gezielt auf die molekularen, krebsauslösenden Mechanismen gerichtet sind.

Dabei müssen stets die Bedürfnisse der jungen Patienten im Blick behalten werden. Beobachtungen am Krankenbett helfen, die richtigen wissenschaftlichen Fragen zu stellen. In innovativen Forschungsansätzen wird nach den Antworten gesucht und dann eine enge Brücke von der Laborbank zurück in die Klinik geschlagen, um auf der Basis neuer molekularer Erkenntnisse die Behandlungsergebnisse vor allem für Patienten mit einem Rückfall ihrer Erkrankung zu verbessern. Der behandelnde Arzt erhält zukünftig durch die aus einer Tumorprobe gewonnene molekulare Information eine Empfehlung für die optimale Therapieplanung.

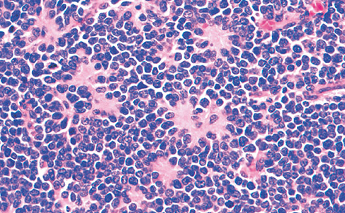
Neuroblastomzellen unter dem Mikroskop des Pathologen

Die Erforschung von Neuroblastomen und die dabei bereits gewonnenen Erkenntnisse über die Verwendung molekularer Muster für eine präzise Vorhersage des Rückfallrisikos jedes individuellen Tumors und für die Auswahl möglichst effizienter neuer Medikamente dienen dabei als wegweisendes Beispiel für andere kindliche Krebserkrankungen. Hauptziel der Forschung ist es, verwundbare Stellen der Erkrankung zu identifizieren, die einer Medikamentenbehandlung zugänglich sind. Dies soll mittelfristig zur Entwicklung einer gut begründeten, wissenschaftlichen Basis für die Therapieindividualisierung krebskranker Kinder und Jugendlicher führen.

   

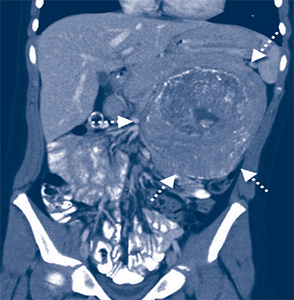
CT-Bilder eines Neuroblastoms bei einem 7-jährigen Mädchen

Wesentlich für den Erfolg der Forschung in der Kinderonkologie und für die schnelle Gewinnung von Erkenntnissen über neue Behandlungsmethoden in klinischen Studien ist die europaweite und teilweise sogar internationale Zusammenarbeit von Ärzten und Wissenschaftlern.

Viele klinische Studien werden bereits gemeinsam in europäischen oder internationalen Netzwerken durchgeführt. Ärzte der Charité sind hierbei teilweise federführend beteiligt. So leitet beispielsweise Oberarzt PD Dr. Arend von Stackelberg die internationale klinische Studie „IntReALL“ für Rückfälle der akuten lymphatischen Leukämie. Auf diese Weise werden Behandlungs-„Rezepte“, die in Berlin entwickelt wurden, in der ganzen Welt „nachgekocht“. Ein von der EU gefördertes Forschungsnetzwerk unter dem Namen „ENCCA“ hat die vielfältigen internationalen Aktivitäten und Kooperationen sehr effizient gestärkt.

Das drängendste Problem in der Kinderonkologie sind heute Rückfälle nach einer intensiven Chemo- oder Strahlentherapie. Das betrifft in Deutschland jedes Jahr etwa 500 krebskranke Kinder.

Zum Zeitpunkt des Rückfalls sind die wirksamen Therapien oft schon weitgehend ausgereizt. Bislang gibt es nur für sehr wenige Krebsarten eine zweite Chance auf dauerhafte Heilung. Die neuen „intelligenten“ Medikamente richten sich gegen ganz spezifische krebstypische Zellveränderungen. Die Analyse aller Gene in den Tumorzellen eröffnet die Möglichkeit, individuell für jeden Tumor die passenden Medikamente auszuwählen und den betroffenen Kindern eine zweite Chance zu eröffnen.

Ziel eines neuen deutschlandweiten Projektes unter dem Namen „INFORM“ ist es, neue „intelligente“ Medikamente in einer gegen den einzelnen Tumor maßgeschneiderten Form bei ansonsten unheilbaren Rückfällen einer kindlichen Krebserkrankung einzusetzen.

Leider werden weder die Analyse des gesamten Erbguts eines Tumors, noch die teuren „intelligenten“ Medikamente derzeit von den Krankenkassen bezahlt, so dass die Weiterentwicklung solcher Projekte auf öffentliche Gelder und Spenden angewiesen ist.

Zukünftig sollen an mehreren Standorten in Deutschland (u.a. Berlin und Heidelberg) spezialisierte Zentren zur maßgeschneiderten Behandlung von Kindern mit Rückfall einer Krebserkrankung (vorwiegend Leukämien, Neuroblastome, Hirntumoren) aufgebaut werden. Wir erhoffen uns hierdurch, in den nächsten 5-10 Jahren mehr als der Hälfte der etwa 500 krebskranken Kinder und Jugendlichen in Deutschland, die jährlich einen Rückfall ihrer Erkrankung erleiden, helfen zu können.

Weitere Informationen: www.paedonko.charite.de

 

Aktuelles aus der Krebsforschung

CT-Diagostik beim Kind

Australische Forscher untersuchen einen Zusammenhang zwischen CT-Untersuchungen und einer erhöhten Krebsrate bei Kindern. Grundlage der Untersuchung waren Gesundheitsdaten von über zehn Millionen Kindern und Jugendlichen. In 60.674 Fällen lag eine Krebserkrankung vor. Von diesen jungen Patienten hatten sich insgesamt 3.150 mindestens ein Jahr vor der Krebsdiagnose einer CT-Untersuchung unterziehen müssen. Die Studienauswertungen zeigten, dass die Krebsinzidenz bei exponierten Kindern im Vergleich zu den anderen um 24% höher war.

Obwohl es sich nicht eindeutig nachweisen lässt, dass diese Krebsfälle auf die vorangegangene Strahlenbelastung zurückzuführen waren, warnen Wissenschaftler vor leichtfertigem Einsatz der CT. Diese Untersuchungen sollten bei Kindern und Jugendlichen nur bei eindeutiger klinischer Indikation erfolgen.
(Quelle: John D. Mathews et al., BMJ 2013; 346 online first)

Mutperlen für krebskranke Kinder der Charité

Mutperlen – ist ein bundesweites Projekt der Deutschen Kinderkrebsstiftung. Krebskranke Kinder sollen für ihre Tapferkeit und ihren Mut belohnt werden. Für jede Behandlungs- und Untersuchungsmethode gibt es eine spezielle Perle. So entsteht mit der Zeit eine bunte Kette. Die Perlensammlung enthält 30 verschiedene Motive, die die unterschiedlichen Maßnahmen von einer Spritze bis zu einer Operation symbolisieren. So eine Kette kann manchmal bis zu drei Meter lang werden. Sie hilft Kindern, über ihre eigene Krankengeschichte zu erzählen, auch noch lange nach Abschluss der Behandlung. Auch für Eltern verstorbener Kinder kann die Kette eine Erinnerung bleiben.
(Quelle: Berliner Krebsgesellschaft e.V.)

Wie das Gespräch zwischen Arzt und Krebspatient besser gelingt

Wer mit der Diagnose Krebs konfrontiert wird, ist häufig erst einmal erschüttert - und wenig aufnahmefähig für die weiteren Ausführungen seines Arztes. Wie das Gespräch trotzdem gelingen kann, was Ärzte dabei beachten müssen und welche neuen Erkenntnisse es dazu gibt, ist Thema des Fachsymposiums „Patient-centered Communication in Cancer Care: New Directions“ des Universitätsklinikums Heidelberg und des Deutschen Krebsforschungszentrums (DKFZ) im September 2014. Zu Gast waren Ärzte, Wissenschaftler und Kommunikationstrainer aus den USA, der Schweiz und Deutschland.

Arztgespräch und Krebsinformationsdienst:
„Eine auf den Patienten ausgerichtete Kommunikation ist gerade in Zeiten zunehmend komplexer, und für den Patienten häufig nur schwer überblickbaren, Untersuchungsverfahren und Therapien entscheidend für eine hohe Versorgungsqualität. Um die häufig langwierigen und sehr belastenden Therapien zu verstehen, sich darauf einzustellen und eventuell auch mitentscheiden zu können, brauchen Patienten verständlich übermittelte Informationen und individuelle Beratung“, sagt Veranstaltungsorganisatorin PD Dr. Monika Keller, Universitätsklinik für Psychosomatische und Allgemeine Klinische Medizin Heidelberg. „Im Rahmen des Symposiums wurde diskutiert, wo wir in Deutschland stehen, wie wir Ärzte noch besser vorbereiten können und was wir dabei von anderen Ländern lernen können.“

Ein kompetenter Partner für Patienten und Ärzte, wenn es darum geht, komplexe Informationen rund um das Thema Krebs verständlich aufzuarbeiten und zu vermitteln, ist seit knapp 30 Jahren der Krebsinformationsdienst (KID) des DKFZ: „Auf den individuellen Bedarf zugeschnittene, verlässliche Informationen, die verständlich und empathisch vermittelt werden, können Krebspatienten und Angehörigen helfen, sich in dieser bedrohlich empfundenen Situation zu orientieren und Sicherheit zu gewinnen“, sagt Dr. Susanne Weg-Remers, Leiterin des KID. „Mit einer patientenzentrierten Kommunikation von Ärzten und Betreuern einerseits und den ergänzenden Informations- und Gesprächsangeboten des KID andererseits können wir den Betroffenen von zwei Seiten her entgegenkommen. Deshalb haben wir uns auch für diese Veranstaltung engagiert.“

Praxisnahes Kommunikationstraining mit Schauspieler-Patienten:
Um Ärzten in der Onkologie bestmöglich auf schwierige Gespräche mit ihren Patienten vorzubereiten, haben Ärzte und Psychologen des Universitätsklinikums Heidelberg mit einer Anschubförderung durch die Deutsche Krebshilfe e.V. 2008 das Kommunikationstraining KoMPASS (Kommunikative Kompetenz zur Verbesserung der Arzt-Patienten-Beziehung durch strukturierte Fortbildung) ins Leben gerufen. Die Schulungen werden in Heidelberg sowie sechs weiteren Krebszentren in Deutschland angeboten und von den Heidelberger Experten geleitet. Ziel ist es, an Standards anzuschließen, wie sie z.B. in England und der Schweiz bereits mit Erfolg etabliert sind. „In vielen Ländern gehören Kommunikationstrainings bereits zur Facharztweiterbildung, in Deutschland sind sie bislang nicht verpflichtend. Eine effektive Gesprächsführung kann und muss man aber lernen“, erklärt Dr. Keller, Mitbegründerin und Leiterin des Projekts.

Wie überbringt man eine niederschmetternde Diagnose? Welche Nachrichten sind dem jeweiligen Patienten in diesem Moment zumutbar, welche Informationen braucht er, was kann er überhaupt noch aufnehmen? Wie mit Angst, Trauer oder Wut der Patienten und Angehörigen umgehen? In den praxisnahen Trainings üben die Teilnehmer in kleinen Gruppen mit erfahrenen Lehrern und speziell ausgebildeten Schauspielern, die in die Rolle von Patienten oder Angehörigen schlüpfen.

„Ein solches Gespräch auf Augenhöhe schafft Vertrauen und darauf sind gerade Patienten mit lebensbedrohlichen Erkrankungen angewiesen, um sich besser mit der belastenden Therapie arrangieren sowie Angst und Stress abbauen zu können“, so Dr. Keller. Aber auch Ärzte erfahren eine enorme Entlastung: Bisher haben rund 500 teilgenommen, die Rückmeldungen sind durchweg positiv. Eine wissenschaftliche Begleitstudie mit 325 Ärzten belegte, dass das Trainingsprogramm umsetzbar und vor allem auch wirksam ist. Beim Symposium sollte es daher auch um die Frage gehen, wie die patientenzentrierte Gesprächsführung flächendeckend Eingang in die klinische Praxis findet.
(Quelle: Universitätsklinikum Heidelberg)

 

Integrative Medizin in der Kinderonkologie

Prof. Dr. med. Georg Seifert, Leiter AG Integrative Medizin, Klinik für Pädiatrie mit Schwerpunkt Onkologie und Hämatologie, Charité Universitätsmedizin Berlin

Kinderonkologie und Komplementärmedizin

Die Behandlungserfolge in der Kinderonkologie mit einem diagnoseübergreifenden Überleben von etwa 80% in den Industrienationen sind ein enormer Erfolg der vergangenen vier Jahrzehnte. Inzwischen sind wesentliche Fragestellungen der Therapieoptimierungsstudien auch, in welcher Verfassung Kinder onkologische Erkrankungen überleben und unter welchen Langzeitfolgen sie leiden. Akute Nebenwirkungen und Langzeitfolgen beeinträchtigen die Lebensqualität bis Jahrzehnte nach der eigentlichen Therapie, und oft stehen uns nur symptomatische Therapieoptionen zur Verfügung.

Vielfach sind es akute und chronische Nebenwirkungen, schmerzhafte Eingriffe und Prozeduren, aber auch ungünstige Prognosen, die Patienten und Eltern dazu bringen, nach komplementärmedizinischen Therapien zu suchen und diese auch ohne Wirksamkeitsnachweis anzuwenden.

Darüber hinaus befi nden sich Eltern und Patienten während der konventionellen Therapien oft in einer passiven Rolle, in der sie wenig aktiv zum Heilungsgeschehen beitragen können. In diesem Zusammenhang spielt die Komplementär- und Alternativmedizin (CAM) eine zunehmende Rolle. CAM wird von Patienten ein großer Vertrauensvorschuss entgegengebracht, da sie oft als sanfte und natürliche Medizin gilt. Die Erfahrung zeigt auch, dass Patienten mit CAM vielfältige Hoff nungen verbinden und die Erwartungen teilweise sehr hoch sind. Im Gegensatz hierzu steht nur eine kleine Menge publizierter Fakten.

Es gibt somit aus ärztlicher Sicht zwei Gründe, diesen Bereich der Komplementärmedizin wissenschaftlich zu untersuchen. Zum einen wenden unsere Patienten zu einem großen Teil seit vielen Jahrzehnten diese Therapien an, ohne dass wir Kenntnis über deren Wirkungen und unerwünschte Nebenwirkungen haben.

Zum anderen gibt es Hinweise, dass CAM möglicherweise zur Lösung aktueller medizinischer Probleme beitragen kann, wenn sie in Form der Integrativen Medizin angewendet wird.

Mit Integrativer Medizin wird die Kombination von guter konventioneller Schulmedizin und möglichst gut untersuchten therapeutischen Ansätzen aus der Komplementärmedizin bezeichnet.

Dieser Begriff wird international seit einigen Jahren zunehmend für eine qualitativ hochwertige und an den Bedürfnissen der Patienten ausgerichtete Medizin verwendet, die komplementärmedizinische Therapieelemente in die konventionelle Versorgung integriert. Es gibt z. B. in den USA an medizinischen Hochschulen immer mehr Lehrstühle und Krankenhäuser, die sich wissenschaftlich und wirtschaftlich erfolgreich auf Integrative Medizin spezialisieren.

Welche CAM wenden Eltern und Kinder in der pädiatrischen Onkologie an?

Vor etwa zwei Jahrzehnten begann die wissenschaftliche Auseinandersetzung mit dem Thema CAM in der Kinderheilkunde. Erste Daten zur Anwendung liegen seit ca. 15 Jahren vor. Seither nimmt die epidemiologische Aufarbeitung kontinuierlich zu. Die Nutzung von CAM in der Pädiatrie ist weit verbreitet, und je nach Umfrage schwanken die Angaben zur Anwendungshäufigkeit von CAM zwischen ca. 6% und 91%. Insgesamt wird CAM mit steigender Tendenz von Patienten eingesetzt.

Was die Kinderonkologie betrifft, so konnten wir in einer epidemiologischen Studie zeigen, dass ca. 35% der Patienten CAM anwenden und überwiegend Ärzte die Therapien verschreiben, dass aber nur 29% der Patienten mit den behandelnden Kinderonkologen über die CAM-Therapien sprechen.

Dabei am häufigsten angewendete Verfahren sind Homöopathie, Nahrungsergänzungsmittel und Anthroposophische Medizin.

Arbeitsgruppe Integrative Medizin in der pädiatrischen Onkologie

Die Arbeitsgruppe Integrative Medizin in der pädiatrischen Onkologie (IMO) hat es sich zur Aufgabe gemacht, komplementäre und alternative Therapiemethoden systematisch unter kontrollierten Bedingungen zu untersuchen, um somit dem steigenden Informationsbedürfnis von Patienten, Eltern und Ärzten Rechnung zu tragen.

Als einzige Forschergruppe in Europa untersuchten wir zusammen mit vielen Ärzten in Deutschland in einer multizentrischen Studie die Wirkung eines anthroposophischen Supportivtherapie-Konzeptes bei Kindern mit malignen Erkrankungen während der Intensivphase der Chemotherapie.

Diese Studie mit 340 Patienten ist seit kurzem abgeschlossen und befindet sich in der Auswertung. Diese Studie ist weltweit die erste, die ein medikamentöses komplementärmedizinisches Therapiekonzept bei Kindern untersucht hat.

Neben medikamentösen Therapien ist der Bereich von Körpertherapien (Mind-Body-Medizin) wie Yoga, Qigong oder Tai Chi ein ganz wesentlicher Bereich von CAM. Es ist keine Frage, dass bei vielen konventionellen Behandlungen und therapeutischen Prozeduren wie chirurgischen Eingriffen, Bestrahlung und Chemotherapie die Kinder und Eltern enormen Belastungen unterliegen und oft eine hilflose und relativ passive Haltung einnehmen. Ziel von Mind-Body-Therapien ist es, die seelische und körperliche Unversehrtheit zu fördern und ihre weitest mögliche Wiederherstellung zu unterstützen. Mit der Terminologie der Salutogenese von Aaron Antonovsky gesprochen, kommt es darauf an, die Autonomie und den Grad der Selbstregulation zu fördern. Im Sinne der WHO-Definition bedeutet es, dass Gesundheit ein Zustand des vollständigen körperlichen, geistigen und sozialen Wohlergehens ist und nicht nur das Fehlen von Krankheit oder Gebrechen.

Mind-Body-Therapien in der Kinderonkologie

In der Kinderonkologie werden verschiedene Mind-Body-Therapien angewendet, wie z.B. Yoga oder in Deutschland relativ häufig, Eurythmietherapie. Eurythmietherapie ist ähnlich wie das indische Yoga eine Körpertherapie, jedoch aus der europäischen Anthroposophischen Medizin und kann ein Bestandteil einer ergänzenden Behandlung bei Krebserkrankungen sein. In zwei Studien bei jungen gesunden, aber stressbelasteten Probanden untersuchten wir die langfristige Wirkung von Eurythmietherapie EYT über einen Zeitraum von sechs Wochen. Hierbei zeigte sich eine Verbesserung sowohl der körperlichen als auch der psychischen Lebensqualität und der Stressverarbeitung. Es kam zu einer Abnahme von Müdigkeitssymptomen als Ausdruck eines verbesserten Schlafes und einer verbesserten Herzfrequenzvariabilität, die ein Ausdruck von vegetativer und kardialer Gesundheit sein kann.

Mit dem Ziel der Verbesserung neuromotorischer und kognitiver Leistungen führten wir eine Pilotstudie zur Eurythmietherapie bei Kindern mit Tumoren der hinteren Schädelgrube durch. Die Ergebnisse dieser Pilotstudie zeigen, dass die Akzeptanz zusätzlicher Therapien wie z. B. EYT hoch ist und die Kinder dieses Angebot sehr begeistert mit einer hohen Motivation annehmen. Dies ist bemerkenswert, da wegen einer gewissen Therapiemüdigkeit z. B. in Bezug auf Physiotherapie, ein Bedarf nach weiteren Fördermaßnahmen – nicht nur bei Kindern mit Hirntumoren – besteht.

Von besonderer Bedeutung in der Kinderheilkunde ist es, bei Therapien insbesondere den Motivationsfaktor zu erhalten.

Dieser ist die Basis für den Erfolg einer jeglichen Intervention. Die in der Pilotstudie gezeigten Verbesserungen in der Kognition und Neuromotorik sind sicherlich ein interessanter Anhaltspunkt, bedürfen allerdings einer kontrollierten Bestätigung in einer Folgestudie mit einer höheren Fallzahl, die aktuell in Vorbereitung ist.

Forschungsperspektive

In den letzten Jahren zeigt sich deutlich, dass die wissenschaftliche Untersuchung von CAM in der Kinderonkologie von Bedeutung ist, und dass einzelne Medikamente und Therapien bei wissenschaftlicher Betrachtung therapeutisches Potenzial besitzen können. Durch die Integration kunst- und körpertherapeutischer Ansätze in das Behandlungsspektrum in der Kinderonkologie soll der „Gesundwerdungsprozess“ u.a. durch eine Verbesserung der akuten Stressverarbeitung kreativ unterstützt werden. Hier können viel genutzte komplementärmedizinische Ansätze wie pflegerische äußere Anwendungen, Massagetherapien, Kunst-, Musik- und Körpertherapien große Bedeutung haben, indem Patienten Therapien erleben, die die Eigenaktivität und Selbstheilungskräfte direkt fördern.

Mit einem Therapiekonzept, welches die genannten Therapieelemente umfasst, planen wir ein europaweit bisher einmaliges Pilotprojekt an einer Universitätsklinik. Ziel dieses Projektes an der Charité ist die klinische und wissenschaftliche Erprobung einer Komplexbehandlung aus der anthroposophischen Medizin auf einer kinderonkologischen Intensivstation.

Weitere Informationen: www.paedonko.charite.de/forschung/ag_integrative_medizin

 

Individuell begleitet

Psychosoziale Versorgung in der Kinderonkologie der Berliner Charité

   

Links: Viola Diesselhorst, Psychologin und Psychotherapeutin
Rechts: Kathrin Vogt, Kinder- und Jugendlichen-Psychotherapeutin, Musiktherapeutin
Charité Universitätsmedizin Berlin

Die Diagnose einer Leukämie oder eines malignen Tumors bei einem Kind oder Jugendlichen ist eine Erschütterung für alle. Im Zentrum des Schocks stehen der Patient, die Eltern und Geschwister. Die Schockwellen reichen jedoch auch zu Freunden, Nachbarn und Verwandten.

Insbesondere Eltern werden von der Angst um ihr Kind, der Ohnmacht und Hilflosigkeit, nichts tun zu können und (irrationalen) Schuldgefühlen, nicht schneller reagiert zu haben, überwältigt. Während sie einer Flut aus Aufklärungsgesprächen mit unterschiedlichen Ärzten und ersten Entscheidungen gegenüber stehen, müssen sie ihre anderen Kinder auffangen, deren Alltag organisieren, sich selbst beim Arbeitgeber krank melden und aufgewühlte Angehörige sowie Freunde informieren und beruhigen.

Für das betroffene Kind oder den Jugendlichen bringt die Erkrankung eine Zäsur im laufenden Entwicklungsprozess um phasengerechte Individuation und Ablösung mit sich. So sind die Kinder und Jugendlichen beispielsweise in Abhängigkeiten zurückgeworfen, die sie eigentlich schon längst hinter sich gelassen haben. Hinzu kommt, dass sie durch chemotherapiebedingte Immunsuppression in eine Isolation gedrängt werden, weil sie die Schule/den Kindergarten nicht mehr besuchen und Freunde nur bedingt sehen können. Psychische Belastungen durch Schmerzen und Angst sowie unangenehme Behandlungsprozeduren bedeuten eine extreme Herausforderung für den Reifeprozess. Diese Erfahrungen unterscheiden die Kinder und Jugendlichen von nicht erkrankten Gleichaltrigen, was oft als sehr schmerzhaft erlebt wird. Dieser Zäsur gilt es in ihrer Vielschichtigkeit aus den unterschiedlichen professionellen Perspektiven gerecht zu werden.

Unser Berliner Modell Psychosozialer Versorgung hat sich über die letzten 25 Jahre entwickelt. Die Erfahrungen zeigten, dass es gut ist, die Familien grundsätzlich gemeinsam von einer Sozialarbeiterin und einer Psychologin/Psychotherapeutin zu betreuen, und dies personell kontinuierlich über den gesamten Behandlungszeitraum hinweg. Für die Familien ist diese Betreuungskonzeption aufgrund der Kontinuität und der psychologisch/psychotherapeutischen Methodenvielfalt optimal. Unterschiedliche Ausrichtungen kommen hierbei zum Tragen: Familientherapie, tiefenpsychologisch fundierte Psychotherapie in Form von Gesprächspsychotherapie und Imaginativer Symbolarbeit. Als spezifische nonverbale Psychotherapiemethoden bieten wir tiefenpsychologisch orientierte Musiktherapie sowie Kunsttherapie an. Mit dieser Vielfalt können wir dem breiten Milieuspektrum, aus dem die Familien stammen, begegnen.

Die psychosoziale Arbeit ist in die medizinisch-pflegerische Behandlung integriert. Alle an der Behandlung beteiligten Berufsgruppen sollten die einzelnen Behandlungsparadigmen in ihrer Unterschiedlichkeit erkennen und respektieren, damit sich die einzelnen Versorgungsaspekte positiv für den Patienten und seine Familie verbinden können.

Das Konzept der ganzheitlichen Behandlung impliziert in psychosozialer Hinsicht unter anderem, dass die Familien selbst bestimmen, welche Unterstützung sie brauchen und annehmen und wann die Familien uns sehr persönliche Themen anvertrauen.

Der Wunsch nach Unterstützung wird seitens der Betroffenen nicht immer klar verbal geäußert. Die weniger offensichtlichen und manchmal auch widersprüchlichen Signale wahrzunehmen, zu interpretieren und darauf zu reagieren, ist ein Teil des Beziehungsprozesses.

Im Gegensatz zu einer eher intentionalen Vorgehensweise in der Medizin, steht daher ein dynamischer Behandlungsansatz, welcher für die psychosoziale Arbeit charakteristisch ist. Für die Eltern ist die Priorität der medizinischen und pflegerischen Versorgung vor allem zu Beginn der Behandlung selbstverständlich. Gleichzeitig befinden sie sich in einer psychischen Ausnahmesituation, in der es aus psychosozialer Sicht nur darum gehen kann, die Familien mit ihnen entsprechenden Kontakt- und Unterstützungsangeboten ausreichend zu stabilisieren. So können zunächst Hilfen aus dem Aufgabenbereich der Sozialpädagogik und Sozialarbeit im Vordergrund stehen. Neben sozialrechtlichen Fragen (z.B. Beantragung von Pflegegeld, Schwerbehindertenausweis und Übernahme von Fahrtkosten aufgrund der notwendigen Isolation) geht es um den Gesamtblick auf das soziale Netz der Familie, die sozialen Bezüge in Kita und Schule, um deren Tragfähigkeit und Bedeutung. Hier erhalten die Familien eine zeitnahe Unterstützung, um dieses Netz entweder wieder zu stabilisieren oder gegebenenfalls erst anzubahnen. Diese Hilfen gemeinsam mit der Familie zu besprechen und abzustimmen sind erste Schritte einer sich entwickelnden Beziehung. Unsere Erfahrung ist, dass klar benennbare Aufgabenstellungen oft leichter einen ersten Zugang ermöglichen, als dies bezüglich psychischer Inhalte der Fall ist.

Die Arbeit der Psychologen und Psychotherapeuten ist charakterisiert durch ein breit gefächertes, situativ angepasstes Spektrum an Interventionsmöglichkeiten. Diese beginnen bei Angeboten, die ganz konkret an der pflegerischen, medizinischen Situation und den damit verbundenen Gefühlslagen des Kindes und auch der Eltern anknüpfen, wie z.B. bei Blutabnahmen, Punktionen, MRT–Vorbereitungen. Informelle Begegnungen auf dem Flur oder im Zimmer sind ebenfalls Kontakt- und Beziehungsangebote, die die Familien gut annehmen können. Verbindliche und kontinuierliche Verabredungen im psychotherapeutischen Setting, in verschiedenen familiären Konstellationen und mit unterschiedlichen Methoden bis hin zu intensiver Begleitung in Palliativsituationen bilden einen weiteren Teil unserer Arbeit.

Das Angebot von Beziehung entsteht hier unter der ganz besonderen Bedingung, nämlich dem gemeinsamen existenziellen Wissen von der möglichen Begrenztheit des Lebens, sowohl bei den Familien als auch bei uns Mitarbeitern. Dieses Wissen, das häufig abgewehrt werden muss, wird unbewusst dennoch kommuniziert und bedarf unserer professionellen Übersetzung.

Notwendige medizinische Eingriffe wie z.B. Knochenmarkpunktionen kanalisieren bei Kindern häufig psychische Inhalte wie Ängste bezüglich ihrer Ich-Integrität, die sie nicht verbalisieren können. Zum Beispiel kann die radikale Verweigerung eines 10-jährigen vor einer Punktion als seine Todesängste und das Erleben von Ohnmacht verstanden werden.

Unsere Aufgabe ist es, die Ich-Integrität und Selbstwirksamkeit des Kindes zu stärken, es zu ermutigen, sich und sein Erleben aktiv in die Behandlungssituation einzubringen.

Ein tragfähiger vertrauensvoller Kontakt kann nur entstehen, wenn wir Patienten und deren Familien mit größtmöglicher Offenheit und differenzierter Reflektion begegnen ohne zu werten. Wir müssen versuchen, ihre jeweilige spezifische „Sprache“ im Sinne des Ausdrucks von Gefühlen, Werten und Lebenseinstellungen kennen und verstehen zu lernen. Die Prozesse der Krankheitsverarbeitung und die Mobilisierung heilungsfördernder Ressourcen bei den Patienten und ihren Angehörigen verlaufen nicht linear. Zeit, Geduld und Kontinuität sind drei unverzichtbare Säulen für den Aufbau eines stabilisierenden Beziehungsangebotes.

Musik und musikalisches Handeln ermöglichen einen Raum für emotionalen Ausdruck, Mitteilung und Kommunikation zusätzlich zum gesprochenen Wort oder aber auch jenseits des verbalen Austausches.

Die Bedeutung nonverbaler psychotherapeutischer Verfahren am Beispiel von Musiktherapie

Die nonverbalen Therapieformen sind nach den Richtlinien der PSAPHO (Psychosoziale Arbeitsgemeinschaft in der pädiatrischen Onkologie und Hämatologie) ein unverzichtbarer Bestandteil der psychosozialen Versorgung. Das Angebot von Kunst-und Gestaltungstherapie sowie Musiktherapie ist in der Abteilung vor mehr als 20 Jahren unter schwierigen Bedingungen eingerichtet worden. Inzwischen werden diese Therapieformen fast ausschließlich nur noch von externen Honorarkräften auf Drittmittelbasis (KINDerLEBEN e.V.) durchgeführt.

Der Therapieraum, in welchem Musiktherapie stattfindet, ist frei von Untersuchungen oder anderen belastenden Erfahrungen; er ist ein geschützter Ort, in dem sich sowohl die Kinder, Jugendlichen als auch die Eltern leichter öffnen und entfalten können. Hier äußern sich nicht nur krankheitsbedingt Ängste, Aggression oder Rückzugswünsche, sondern gesunde Persönlichkeitsanteile.

Das Medium Musik ist dazu geeignet, schöpferische Ressourcen im Sinne der Selbstwirksamkeit in den erkrankten Kindern und Jugendlichen anzusprechen. Das erhöht unter anderem ihre Fähigkeit, sich aktiver in den medizinischen Behandlungsprozess einzubringen und diesen mit zu gestalten. Ist die Interaktion zwischen Eltern und Kleinkindern aufgrund der Erkrankung oder bereits vorher bestehender Belastungen irritiert, erweist sich ein Eltern-Kindpsychotherapeutischer Ansatz (MusikSpielTherapie, MST ® nach Stumptner/Thomsen) als sinnvoll. Wir haben in Berlin durchgängig einen hohen Anteil an ausländischen Familien. Dieser Anteil setzt sich sowohl zusammen aus den hier in Berlin lebenden Familien mit Migrationshintergrund als auch den Familien, welche aus dem Ausland nur für die Behandlung ihres Kindes nach Berlin kommen. Beide Gruppen können häufig mit dem „nonverbalen“ Angebot leichter emotional erreicht werden.

Musik ist kulturübergreifend, sie muss nicht „übersetzt“ werden.

Ein Beispiel

Ein Junge, Micail, erkrankt an einer ALL, war auch aufgrund seiner Sprachbarriere zunächst auf der Station allen und allem gegenüber sehr abweisend, öffnete sich zunehmend über die Möglichkeit des nonverbalen Ausdrucks und Kontaktes. Vor allem sein Erleben, rhythmisch in Bewegung zu kommen, führte dazu, dass sich seine Ressourcen in Form seines Temperaments, einer starken Lebensfreude und Witz entfalten konnten. Seine zu Beginn bestehende emotionale Isolation wandelte sich in Beziehungsfähigkeit. Das Erleben von Selbstwirksamkeit ermöglichte ihm auch eine bessere Integration in den Stationsalltag und erleichterte die Beziehungen zwischen ihm und dem Pflegepersonal.

Kinder- und jugendonkologische Nachsorge

Auf die Zeit intensiver Einbindung aller familiären Ressourcen in die medizinischen Behandlungsabläufe folgt die Phase der kinder/jugendonkologischen Nachsorge. Dieser Zeitabschnitt umfasst noch mindestens 3-5 Jahre regelmäßige Kontroll-Untersuchungen und Beratungstermine für das erkrankte Kind und seine Eltern. Jetzt findet jedoch eine langsame Ablösung der Familien aus vielen Halt gebenden Beziehungs- und Behandlungsstrukturen der Klinik statt. Die Eltern erleben sowohl Freude und Erleichterung über wieder gewonnene Freiheiten und wachsende Normalität im Familienleben als auch Angst vor der Anforderung, wieder mehr auf sich selbst gestellt zu sein. Die existenzielle Veränderung im Familienleben, sowie die tiefe Angst, das Kind könnte wieder erkranken, erfordern längerfristige Integrationsprozesse.

In unserer Berliner Ambulanz gibt es daher eine auf die individuellen Bedürfnisse der Familien abgestimmte sozialarbeiterische Beratung sowie ein psychotherapeutisches Angebot im Fall einer Indikation. Im Folgenden beziehen wir uns auf Eltern und betroffene Kinder. Die Perspektive von erkrankten Jugendlichen erfordert eine eigene Betrachtung an anderer Stelle.

Betroffenen Eltern wird ein bewusstes Realisieren der existentiellen Zäsur und deren Auswirkungen erst jetzt überhaupt möglich, da sich ihre bisher notwendigen Anpassungs- und psychischen Abwehrmechanismen allmählich lockern. Nun sind sie bereit, sich mit allen Gefühlen bezüglich ihrer veränderten Lebensrealität auseinander zu setzen: Trauer und Wut über den Bruch im eigenen Lebensentwurf, Trauer und Sorge über krankheitsbedingte Veränderungen beim Kind.

Thematisiert werden immer Fragen nach Gründen und Sinn der Krankheit, die sie seit der Diagnosestellung zunächst eher unbewusst beschäftigten.

Dies führt bei Vielen zu einem allmählichen Erkennen und Auswerten der durch die Krebserkrankung hinzugewonnenen familiären Reifungsaspekte und neuen Lebensqualitäten. Oft entwickelt sich eine Sensibilisierung für andere Werte, wie z.B. die der Toleranz und vertieften Menschlichkeit. Die Resultate einer solch konstruktiven Bereitschaft zur Akzeptanz des Unvermeidlichen lassen sich als positiver Krankheitsgewinn fassen. Für einige Eltern bringt die schwere Belastungssituation paradoxerweise im Verlauf auch Vorteile mit sich: Andere Probleme, z.B. im Beruf oder in der Partnerschaft, werden durch die starke Behandlungseinbindung in der Klinik entlastet, die ihnen eine feste Alltagsstruktur, Orientierung und Identität gibt.

Eltern eines krebskranken Kindes zu sein, führt bei manchen zu einem Gefühl der Besonderheit. Dies kann ein unbewusstes Bedürfnis auslösen, sich selbst über die Erkrankung des Kindes zu stabilisieren.

Beispiel

Der allein erziehenden Mutter eines 5-jährigen, an einem Hirntumor erkrankten Jungen, gelang es nicht, das objektive Gesundwerden ihres Kindes anzuerkennen. Der Klinikkontext hatte ihr im beschriebenen Sinne Halt und Identität gegeben – auch der Status in diversen Chatrooms als „Mutter eines krebskranken Kindes“ brachte ihr viele Kontakte und schien ihre Einsamkeit zu lindern. Sie hielt an der Patientenrolle ihres Kindes fest, suchte unablässig nach Symptomen und Hinweisen auf ein Tumorrezidiv.

Der sensible, aufgeweckte Junge, der die Bedürftigkeit seiner Mutter spürte, produzierte Ticks und Absencen, für die es keine medizinische Begründung gab. In einem allmählichen stützenden Prozess (Pacing & Leading) gelang es, sie zu ermutigen, ihre in der extremen Lebenssituation gewonnenen Kompetenzen auf andere Anforderungen im normalen Alltag zu übertragen und sich so als gewachsen und bereichert zu erleben.

In der Nachsorgezeit ist das onkologisch erkrankte Kind gefordert, die Veränderungen seines Lebens auf vielen Ebenen zu integrieren. Der Wunsch nach Normalität, nach dem Abstreifen der Patientenrolle, hat jetzt oberste Priorität. Die Erfahrungen hinterlassen jedoch bleibende Spuren, sodass ein nahtloses Wiederanknüpfen eben nicht möglich ist: Schulwechsel, der Verlust von Freundschaften, ein verändertes Körperselbstbild, eine qualitativ andere emotionale und kognitive Reife und oft Schwierigkeiten, sich sozial wieder zu integrieren und selber verständlich zu machen – das sind nur einige von vielen Entwicklungsaufgaben, die im normalen Leben nach der Krankheit bewältigt werden müssen. Oft kommunizieren Kinder ihre Gedanken und schmerzhaften Emotionen wie Scham- und Schuldgefühle, sowie die tiefe Selbstwertverunsicherung nicht direkt, sondern äußern sie eher symptomsprachlich in Form von Verhaltensauffälligkeiten. Bei allen individuellen Unterschieden ist daher vor allem die Identitätssuche im psychischen Heilungsprozess zentral. Diese schließt die Akzeptanz des eigenen So-Seins mit all ihren möglichen Beeinträchtigungen mit ein. Der 12jährige Jonas fasst die nach den Jahren seiner eingreifenden Tumorbehandlung entstandene Diskrepanz zwischen damals und heute so: „Ich habe ein Alter-Ego wie Spiderman! Das ist bei mir der Jonas, bevor ich krank wurde.“

Tatsachen versus Visionen für die Zukunft

Die Einsparungen im Gesundheitswesen treffen auch verstärkt den Bereich psychosozialer Versorgung im Sinne einer Verschiebung von Qualität zu Quantität. Dies lässt aber außer Betracht, dass ein nicht unerheblicher Anteil unserer Patienten sehr lange, manchmal über vier, fünf Jahre und länger eine intensive Behandlung und Begleitung in Anspruch nehmen muss. Spezialisierte ambulante Hilfsangebote, die ihren Problemstellungen gerecht werden können, sind nicht ausreichend vorhanden.

Die Tendenz, Events in die klinische Versorgung zu implementieren, nimmt deutlich zu. Diese kann jedoch die bereits entstandenen Lücken nicht füllen, da Events nicht den Erfordernissen der tatsächlichen klinischen Situation gerecht werden können.

Um die geschilderten Grundpfeiler einer qualitativ guten und ganzheitlichen Versorgung zu halten, muss das Bewusstsein hierfür sowohl auf politischer Ebene, eingeschlossen die Entscheidungsträger innerhalb der Kliniken, als auch bei den konkret in der Versorgung Tätigen, immer wieder sensibilisiert werden. Der vorliegende Artikel möchte einen Beitrag dazu leisten.

Weitere Informationen:
www.paedonko.charite.de; e-mail: viola.diesselhorst@charite.de; kathrin.vogt@charite.de

 

„Wer seine Zukunft formen will, muss in der Gegenwart leben.“(Antoine de Saint-Exupery)

 

Maligne Lymphome: Verbesserte Prognose durch individualisierte Therapie

Vom 10. bis 14. Oktober fand in Hamburg unter Federführung des Kongresspräsidenten Prof. Dr. Carsten Bokemeyer und des Vizepräsidenten Prof. Dr. Norbert Schmitz die Jahrestagung der Deutschen, Österreichischen und Schweizerischen Gesellschaften für Hämatologie und Medizinische Onkologie statt. Der Kongress bot den 6.000 Teilnehmern einen Überblick über die neuesten wissenschaftlichen Erkenntnisse im Bereich Hämatologie und Onkologie, Informationen über aktuelle Studienergebnisse und die Möglichkeit, im kollegialen Dialog Erfahrungen auszutauschen. Unter den wissenschaftlichen Schwerpunkten waren in diesem Jahr neue Behandlungsansätze bei malignen Lymphomen und Immuntherapie.

In den letzten Jahren haben sich die Therapieergebnisse bei nahezu allen Lymphomen erheblich verbessert. Neben den großen, bekannten Entitäten bietet die Jahrestagung 2014 den Krebsexperten auch die Gelegenheit, sich mit selteneren Lymphomen vertraut zu machen, die sich in vielerlei Hinsicht von den in Europa häufiger anzutreffenden Entitäten unterscheiden. „Hierzu haben wir renommierte Spitzenforscher aus Asien und den USA eingeladen, die ihre Erfahrungen und neuen Therapieansätze mit uns teilen werden”, freute sich Kongresspräsident Prof. Dr. Carsten Bokemeyer.

Prognose bei malignen Lymphomen erheblich verbessert

Bei der Therapie maligner Lymphome sowie beim Verständnis der zugrundeliegenden Pathophysiologie, sind in den letzten Jahren erhebliche Fortschritte erzielt worden. Dies gilt insbesondere für die Gruppe der Non Hodgkin-Lymphome (NHL) mit ihren zahlreichen Subtypen der B- und T-Zell-Lymphome. „In Deutschland findet die Behandlung maligner Lymphome auf international anerkannt hohem Niveau statt“, erläuterte Kongressvizepräsident Prof. Dr. Norbert Schmitz. Nicht zuletzt durch die Arbeit der Deutschen Lymphom Studiengruppen konnten auch seltene Lymphome in Studien untersucht und neue Behandlungsansätze evaluiert werden. Dabei werden die einzelnen Entitäten anhand molekularer Methoden immer weiter differenziert, um zunehmend personalisierte Therapieansätze zu entwickeln.

Differenzierte Therapiekonzepte beim B-Zell-Lymphom

Mit dem Einsatz des CD20-Antikörpers Rituximab zusätzlich zur Chemotherapie hat sich beim diffusen großzelligen B-Zell-Lymphom (DLBCL) als häufigstem NHL die Prognose deutlich verbessert. In der Plenarsitzung „NHL Aggressiv“ referierte unter anderem Prof. Riccardo Dalla-Favera (Columbia University, New York) zur Pathophysiologie der Zell Lymphome und sich daraus ergebenden Therapiemöglichkeiten.

Patienten mit T-Zell-Lymphomen in Therapiestudien einbringen

Eine weitere wichtige Untergruppe der NHL sind die deutlich selteneren T-Zell-Lymphome. Hier muss zwischen Lymphomen mit vergleichsweise günstiger Prognose wie den anaplastischen großzelligen T-Zell-Lymphomen (ALCL) mit ALK-Expression (ALKpositiv) und solchen mit sehr ungünstiger Prognose (z.B. ALK-negative ALCL oder periphere unspezifische T-Zell-Lymphome) unterschieden werden. Da es weder in der Erstlinientherapie noch in der Rezidivbehandlung eine durch kontrollierte Therapiestudien abgesicherte Standardtherapie gibt, sollten möglichst alle Patienten mit T-Zell-Lymphom im Rahmen von Therapiestudien behandelt werden. Für das wissenschaftliche Symposium „NHL aggressiv – Aggressive T-Zell Lymphome“ konnte das Programmkomitee Dr. Won Seog Kim MD (Samsung Medical Center, Seoul) als Gastredner gewinnen. Er berichtete über Therapieansätze bei NK/ T-Zell Lymphomen.

Immuntherapie als neues Therapiekonzept

Zweiter wissenschaftlicher Schwerpunkt der Jahrestagung 2014 war die Immuntherapie. Die Idee, die körpereigenen Abwehrmechanismen gegen maligne Zellen für eine Immun-Therapie von Krebserkrankungen zu nutzen, ist schon relativ alt. Erst neue Forschungsergebnisse der letzten Jahre haben aber dazu beigetragen, dass tragfähige immuntherapeutische Konzepte zur Behandlung von onkologischen und hämatologischen Krankheitsbildern entwickelt werden konnten. „Diese Therapien befinden sich größtenteils noch in Erprobung in klinischen Studien – erste Ergebnisse sehen aber sehr vielversprechend aus“, so Schmitz.

Moderne Onkologie: Fortschritt durch Forschung

Neben den Fortschritten bei der Therapie einzelner Tumorentitäten wurden auf dem Kongress übergreifende Themengebiete diskutiert. Dazu gehören auch die Herausforderungen durch die zunehmende Prävalenz von Krebserkrankungen, die der demografischen Entwicklung, aber auch den verbesserten Überlebenschancen geschuldet ist. Ein weiteres Thema waren die Rahmenbedingungen für die Durchführung qualitativ hochwertiger klinischer Studien. „Leider ist die Prüfung neuer therapeutischer Prinzipien und der Vergleich mit etablierten Behandlungsstrategien heute durch eine Vielzahl von Regularien limitiert, die uns nicht immer sinnvoll erscheinen“, so Prof. Dr. Mathias Freund, Geschäftsführender Vorsitzender der DGHO. Auch hierzu wurden auf dem Kongress spannende Diskussionen erwartet.

Studierende für die Hämatologie und Onkologie interessieren

Schon heute besteht im Bereich Hämatologie und Medizinische Onkologie mit seinen vielfältigen Anforderungen an Forschung und klinische Versorgung ein spürbarer Nachwuchsmangel. Verschärft wird die Situation, wenn 2020 etwa ein Viertel der heute tätigen Onkologen aus Altersgründen ausscheiden werden. Ein wichtiges Anliegen des Kongresses war es daher, Studierende der Humanmedizin und verwandter Fächer schon frühzeitig für das Fachgebiet zu interessieren. Dazu diente auch der Studententag, an dem Fachspezialisten den zukünftigen Kollegen Neues aus Forschung und Klinik präsentierten und Einblicke in ihr Arbeitsfeld gewährten.

Für weitere Informationen:
www.dgho.de

 

Komplementäre Medizin

Frau Prof. Dr. med. Claudia Witt, Zürich im Gespräch mit Dagmar Moldenhauer (Redaktionsleiterin)

Liebe Frau Professor Witt, vorerst danke, dass Sie Zeit für unser Gespräch gefunden haben.

Sie haben im Januar 2014 den Lehrstuhl für Komplementär- und Integrative Medizin an der Universität Zürich übernommen. Zuvor hatten Sie eine Stiftungsprofessur für Komplementärmedizin an der Charité in Berlin.

Man liest über diese Zeit, dass Sie mit großer Unabhängigkeit und Neutralität ihren Forschungsprojekten nachgehen konnten. Welchen Herausforderungen stellen Sie sich jetzt in Zürich?

Frau Prof. Witt: Das Besondere an diesem Lehrstuhl hier in Zürich ist, dass er von der Universität finanziert ist und damit ein selbstverständlicher Teil des Universitätsspitals. Damit ist er auch voll in die Patientenversorgung integriert. Einer unserer Schwerpunkte ist die begleitende Behandlung von Tumorpatienten. Neben der Beratung und Therapie nutzen wir auch die Möglichkeit, die Patientin/ den Patienten in ihrer/seiner Selbstkompetenz zu fördern. Die Schweiz ist besonders wenn es um das Thema Komplementärmedizin geht. Die Bevölkerung hat in einem Volksentscheid ein ganz klares Votum für die Integration der Komplementärmedizin in die Versorgung und Erstattung durch die Krankenkassen gegeben. Zudem wurde eindeutig geregelt, wer die Therapien durchführen darf. Wir haben am Institut zum Ziel, Patientenversorgung, Forschung und Lehre sehr eng miteinander zu vernetzen. Gerade die Kombination von Forschung und Lehre mit der Möglichkeit für Patienten Sinnvolles zu tun, gefällt mir gut.

Es gibt nicht wirklich viele Universitäten in Deutschland, in Europa, wo Lehrstühle für Komplementäre Medizin bestehen. Dem entgegen steht die Beliebtheit der Komplementärmedizin bei der Bevölkerung. Weshalb tut sich in der gesellschaftspolitischen Anerkennung und Förderung so wenig?

Frau Prof. Witt: Hier besteht offensichtlich ein Problem. Auch wenn es in Zeiten enger finanzieller Ressourcen sicherlich schwerer ist, in neue Lehrstühle zu investieren, ist es unverständlich, dass hier so wenig passiert. Ich bin überzeugt, dass es für die Patienten, und um die geht es ja in der Medizin, das Beste ist, wenn es zu einem engen Zusammenwirken von konventioneller Medizin und Komplementärmedizin kommt. Dann ließe sich eindeutiger zwischen seriösen und unseriösen Angeboten unterscheiden und man könnte so konventionelle Therapien sinnvoll mit komplementärmedizinischen Verfahren leichter kombinieren.

Der einheitliche Nenner für die Definition der komplementärmedizinischen Therapien, konkret auch in der Krebsmedizin, scheint immer noch nicht gefunden zu sein. Die Integrative Medizin „schluckt“ auf der einen Seite einige Therapien und Verfahren. Auf der anderen Seite scheinen andere ausgegrenzt. Wohin wird der Weg gehen? Und wie wird Ihr Weg sein?

Frau Prof. Witt: Es ist schwierig, über Komplementärmedizin als solche zu sprechen. Pragmatisch zusammengefasst umfasst Komplementärmedizin eine Vielzahl von Verfahren, die zusätzlich zur konventionellen Medizin angewendet werden. Wir haben auf der einen Seite ganze Therapiesysteme wie die Chinesische Medizin oder das Ayurveda und auf der anderen Seite einzelne Nahrungsergänzungsmittel wie z. B. das Selen oder Vitamin C. Insgesamt handelt es sich bei der Komplementärmedizin um einen sehr heterogenen Bereich, der nicht einheitlich beschreibbar oder beurteilbar ist. Entsprechend verhält es sich auch mit der wissenschaftlichen Evidenz: für einzelne Verfahren liegen Ergebnisse vor, während für den größeren Teil die Evidenz unklar ist. Deshalb ist es wichtig, einzelne Verfahren zu beurteilen und nicht pauschal vorzugehen. Bei der Beurteilung spielen die Seriosität und Sicherheit sowie die Wirksamkeit eine wichtige Rolle.

Herzlichen Dank für das Gespräch, liebe Frau Professor Witt.

Wir wünschen Ihnen ganz viel Erfolg und hoffen, dass wir noch viel von Ihnen hören und lesen sowie in unseren „Aktuellen Gesundheitsnachrichten“ publizieren können. Und danke für Ihren nachfolgenden Beitrag.

 

Gemeinsam Forschung und Behandlung verbessern: Stakeholder Involvement

   

Links: Prof. Dr. med. Claudia Witt, MBA Direktorin, Institut für komplementäre und integrative Medizin, UZH, Zürich
Rechts: lic. phil. Claudia Canella, Qualitative Forscherin, Institut für komplementäre und integrative Medizin, UZH, Zürich

Stakeholder Involvement − Was ist das?

Die Fragen, Erfahrungen und Bedürfnisse der Patientinnen und Patienten werden immer noch zu wenig direkt in die heutige Forschung einbezogen. Als Folge davon decken sich die Fragestellungen von klinischen Studien und deren Ergebnisse nicht immer mit den unmittelbaren Bedürfnissen der Betroffenen. Solche Studien fokussieren oft auf die Messung der spezifischen Wirksamkeit einer Therapie unter der Verwendung von Ergebnisparametern, welche für die Patientinnen und Patienten häufig nicht so relevant sind.

Das Konzept Interessenvertreterinnen und Interessenvertreter einzubeziehen (= Stakeholder Involvement) setzt bei der Involvierung von Patientinnen und Patienten, Ärztinnen und Ärzten, Pflegepersonal, sonstigen Interessenvertretern wie politischen Entscheidungsträgern an, berücksichtigt aber auch Umgebung (z.B. zur Verfügung stehende Infrastruktur) und größere Zusammenhänge (z.B. politisches Klima).

Hier geht es primär darum, Entscheidungstragende von Anfang an in die Forschung mit einzubeziehen. Dies macht vor allem bei der so genannten „Comparative Effectiveness Research (CER)“ Sinn, wo zwei oder mehrere Behandlungsmöglichkeiten in einer klinischen Studie miteinander verglichen und gegeneinander abgewogen werden sollen. Das Stakeholder Involvement bringt eine Reihe von Vorteilen mit sich. Zunächst wird so Transparenz und die Möglichkeit zur Mitbestimmung geschaffen sowie ein leicht zugänglicher und anhaltender Informationsfluss sichergestellt. Das Einbeziehen der Interessenvertretenden erhöht letztendlich die Anwendbarkeit, Verbreitung, Umsetzung und Glaubwürdigkeit der Forschungsresultate und verbessert so deren Qualität und Relevanz, aber auch das damit verbundene Risikomanagement.

Wer direkt involviert ist, kann zudem auch das Ergebnis besser nachvollziehen und vertreten.

Die Vorteile des Stakeholder Involvement sind offensichtlich und doch muss es im deutschsprachigen Raum erst noch institutionalisiert werden. Dazu lohnt der Blick über den großen Teich in die USA. 2010 wurde dort das „Patient Centered Outcomes Research Institute“ (PCORI, http://www.pcori.org/) gegründet. PCORI hat zum Ziel, innerhalb der USA das Stakeholder Involvement in der medizinischen Forschung zu koordinieren und zu verankern. Um dies zu ermöglichen, werden Forschungsgelder in relevanter Höhe bereitgestellt. Allein für das Jahr 2014 stehen 166 Millionen US-Dollars zur Verfügung. PCORI fokussiert insbesondere auf eine Beteiligung von Patientinnen und Patienten in der medizinischen Forschung. Diese sollen in alle Schritte eines Forschungsprojektes einbezogen werden. Dazu gehören die Entwicklung der Forschungsfragen, das Design der Studien und die Interpretation der Ergebnisse.

Grundsätzlich sind aber auch die anderen oben bereits erwähnten Stakeholdergruppen wichtig, und es gibt verschiedene Möglichkeiten diese zu beteiligen. Abbildung 1 zeigt ein mögliches Vorgehen.

Abb 1. Stakeholder Involvement Prozess

Idealerweise trifft sich zu Beginn eines Projektes eine Kerngruppe von Beteiligten, welche die Ziele, aber auch das zur Verfügung stehende Budget für ein Stakeholder Involvement festlegt. Dies erlaubt es nun, die für das Thema relevanten Stakeholdergruppen und mögliche Vertreterinnen und Vertreter zu identifizieren. In der Folge werden gemeinsam ein geeigneter Ablauf sowie ein passendes methodisches Vorgehen festgelegt. Dabei werden meistens qualitative und quantitative Forschungsmethoden kombiniert, häufig mittels Interviews und Surveys die nötigen Daten erfasst und anschließend wissenschaftlich ausgewertet. Die Resultate und möglichen Folgerungen daraus werden diskutiert und die weiteren Schritte festgelegt. Zumeist steht am Schluss ein schriftlicher Bericht, welcher die Ergebnisse dokumentiert und diskutiert, und wo auch weiterführende Fragen und Forschungsdesiderate festgehalten sind. Dies kann wiederum den Beginn eines neuen Projektzyklus markieren.

Was bedeutet Stakeholder Involvement für die klinische Forschung in der Onkologie?

Krebserkrankungen sind komplex und haben große Auswirkungen auf den Alltag der Betroffenen. Krebspatientinnen und Krebspatienten sehen sich meist mit vielfältigen und miteinander verwobenen Symptomen, Wirkungen und Nebenwirkungen ihrer Krankheit und deren Behandlung konfrontiert. Diese Komplexität verlangt nach entsprechenden Behandlungsmodellen, deren Evaluation nicht immer einfach ist.

Die subjektive Erfahrung der Krankheit und der angewandten Behandlungsmethoden kann nur durch die Patientinnen und Patienten selbst, und nicht etwa beispielsweise mittels Darstellung durch die Ärztin/den Arzt, angemessen berichtet und so für die klinische Forschung fruchtbar gemacht werden. Insbesondere sind aus Sicht der Patienten manchmal andere Ergebnisparameter wichtig, als aus Sicht der Forscher.

Fehlt diese Perspektive, fehlen entscheidende Informationen für das Projekt. An diesem Punkt bedeutet das Stakeholder Involvement auch einen Akt der Professionalisierung in der klinischen Onkologieforschung. Diverse wissenschaftliche Publikationen und die Schaffung von Institutionen wie dem PCORI zeigen dies. Etwa 40% der Krebspatientinnen und Krebspatienten nutzen Komplementärmedizin, jedoch ist es für sie schwierig, zwischen den verschiedenen Angeboten zu wählen. Umgekehrt wird mehr als in anderen Bereichen der Medizin das Angebot deutlich durch die Nachfrage der Betroffenen beeinflusst.

Möchte man ein sinnvolles Angebot entwickeln, welches nützliche komplementärmedizinische Verfahren mit der onkologischen Therapie kombiniert, ist es deshalb wichtig, insbesondere die Werte und Wünsche der Patientinnen und Patienten zu kennen und zu berücksichtigen.

Stakeholder Involvement in der komplementären und integrativen Medizin

In einem Forschungsprojekt am Institut für komplementäre und integrative Medizin des UniversitätsSpitals Zürich soll exemplarisch ein integratives Behandlungskonzept mit vollem Stakeholder Involvement entwickelt werden. Dies bedeutet, dass Studienergebnisse aus der klinischen Forschung mit den Fragen, Erfahrungen und Bedürfnissen der verschiedenen Stakeholdergruppen zusammengebracht werden sollen. Dabei stellt sich dann auch die Frage, inwieweit sich dieses Behandlungskonzept von einem unterscheidet, welches nur von ärztlichen Expertinnen und Experten entwickelt wird. Die so genannte Tumorassoziierte Fatigue wurde im Gespräch mit verschiedenen Stakeholdergruppen als ein drängendes Problem und Forschungsdesiderat identifiziert. Viele Krebspatientinnen und Krebspatienten klagen über rasche Erschöpfung und Abgeschlagenheit, die bereits nach geringfügigen Belastungen auftreten, sowie empfundene Störungen der Konzentrationsfähigkeit und ein Gefühl des verminderten Antriebes. Die Behandlung der Tumorassoziierten Fatique ist schwierig und meist nicht so erfolgreich, wie man sich das wünschen würde. Es erscheint deshalb vielversprechend, ein Konzept zu entwickeln, welches verschiedene Verfahren kombiniert. Dabei könnten Verfahren der Komplementärmedizin mit gesichertem Nutzen sinnvoll eingesetzt werden. Dies möchten wir systematisch angehen (siehe Abbildung 2).

Abb 2. Stakeholder Involvement Prozess am Institut für komplementäre und integrative Medizin des Universitäts Spitals Zürich zur Tumorassoziierten Fatigue

Der gesamte Forschungsprozess soll von einem Advisory Board begleitet werden, in dem die wichtigen Stakeholdergruppen vertreten sind. Zurzeit ist unser ärztliches Team dabei, die Evidenz zusammenzustellen und das Behandlungskonzept aus Expertensicht zu erarbeiten. Als nächsten Schritt führen wir mit einer breiteren Gruppe von Stakeholdern Interviews oder Fokusgruppengespräche, um deren Erfahrungen, Interessen und Meinungen zur Tumor-assoziierten Fatigue und deren Behandlungsmöglichkeiten einzubeziehen. Dabei geht es vor allem darum, in ausführlicheren, ca. 60minütigen Gesprächen verstärkt die Stimmen des gelebten Alltags mit der Krankheit der Betroffenen oder der in die Diagnostik, Therapie und Beratung Involvierten zu berücksichtigen.

Die Resultate der Analyse der Interviews, welche von Forschenden des Instituts vorgenommen wird, bildet die Grundlage für eine quantitative schriftliche Befragung einer nochmals breiteren Gruppe zum Thema. Die Ergebnisse aus allen bisherigen Schritten werden schließlich mit dem Stakeholder Advisory Board diskutiert und aufgrund dessen das Behandlungsmodell weiterentwickelt, so dass es schließlich für eine erste Erprobung und Evaluation bereit ist. Neben dem Behandlungsmodell sollen aber auch zukünftige weitere Forschungsfragen im Zusammenhang mit der Tumorassoziierten Fatigue identifiziert werden.

Schlussfolgerung

Aus unserer Sicht ist Stakeholder Involvement für die klinische Forschung zur Onkologie ein relevanter Aspekt und ein zukunftsweisendes Vorgehen, das mehr Beachtung finden und konkret in entsprechenden Forschungsprojekten umgesetzt werden sollte. Es ist wichtig und zielführend, die Erfahrungen, Interessen und Meinungen von Patientinnen und Patienten sowie von Patientenvertretenden verstärkt bei der Identifizierung von Forschungsfragen sowie bei der Planung und Durchführung von Studien einzubeziehen.

Weitere Informationen:
www.iki.uzh.ch; Institut für komplementäre und integrative Medizin

 

„Wer an der Küste verweilt, wird keine neuen Ozeane entdecken.“(Fernando Magellan)

 

Aktuelles aus der Krebsforschung

Modere Phytotherapie

In der Ausgabe Nr. 14 haben wir kurz über die Internationale Tagung Phytotherapie 2014, die in Winterthur stattfand, berichtet. Zwei sehr wesentliche Beiträge waren für den Bereich Integrative Onkologie interessant. Frau Prof. Dr. med. Claudia Witt (Zürich) und Dr. med. Christian Thuile (Meran) haben ihren Beitrag „Komplementärmedizin bei Brustkrebs – Evaluation des Pilotprojektes in Meran” im Band 21 „Forschende Komplementärmedizin“ veröffentlicht. Eine zweite Veröffentlichung von Dr. med. Mathias Rostock (Zürich) zum Thema „Das Potenzial der Phytotherapie bei Erkrankungen der Prostata mit Schwerpunkt Prostatakarzinom“ wurde in der gleichen Ausgabe veröffentlicht.

Die moderne Phytotherapie versteht sich als ein Teil der wissenschaftlich orientierten Medizin. Sie definiert sich wie folgt: Phytotherapie ist die Heilung, Linderung und Vorbeugung von Krankheiten und leichteren Beschwerden durch Arzneipflanzen, durch deren Teile wie Blüten, Wurzeln oder Blätter, durch Pflanzenbestandteile wie ätherische Öle oder durch Zubereitungen aus Arzneipflanzen (Phytopharmaka) wie Trockenextrakte, Tinkturen oder Presssäfte. Die Anwendung ist nebenwirkungsarm.

Bei der Zulassung gelten in der Regel dieselben Anforderungen wie für chemisch definierte Arzneistoffe. Die Gesellschaft für Phytotherapie betrachtet die Phytotherapie als integralen Bestandteil medizinischer Therapiekonzepte. Die Gesellschaft für Phytotherapie (GDP) fördert u.a. die Grundlagenforschung zu Arzneipflanzen und ebenso die klinische Forschung im Sinne einer evidenzbasierten Medizin.
(Quelle: Gesellschaft für Phytotherapie, Forschende Komplementärmedizin Bd. 21)

Seltene Tumoren

Etwa 100.000 Menschen erkranken in Deutschland jährlich an Tumoren des Magen-Darm-Traktes. Nur 2% davon erhalten die Diagnose GIST, das heißt: Gastrointestinale Stromatumoren. Diese sehr seltene Krebserkrankung bleibt im frühen Stadium oft unbemerkt. Die Bindegewebstumoren entwickeln sich schleichend. Bei der Hälfte der Betroffenen haben sich, wenn die Krankheit diagnostiziert wird, bereits Metastasen gebildet. Die Erkrankung wird bislang mit Tyrosikinase-Hemmern behandelt, die für die Zelle wichtige Eiweiße auf der Oberfläche blockieren. Häufig entwickeln GIST aber eine Resistenz gegen diese Medikamente.

In dem EU-Projekt MITIGATE arbeiten zehn Partner aus Forschung und Industrie an effektiven Methoden der Behandlung von GIST-Patienten. Personalisierte Therapien schließen innovative Strategien für die Biopsie und Zellanalyse ein.
(Quelle: Fraunhofer Gesellschaft, Sept. 2014)

In eigener Sache: Im Heft 14 ist auf Seite 21 ein Druckfehler aufgetreten: richtig ASS statt ACC.

 

Erstattung von Protonenbestrahlungen durch Gesetzliche Krankenversicherung, Möglichkeiten und Grenzen

Dr. Frank Breitkreutz, Rechtsanwalt und Fachanwalt, BBP Rechtsanwälte Berlin

In den letzten Monaten und Jahren mussten sich die zuständigen Sozialgerichte vermehrt mit Verfahren auseinandersetzen, welche die Kostenerstattung der Gesetzlichen Krankenversicherung (nachstehend: GKV) für so genannte Protonenbehandlungen zum Gegenstand haben. Aufhänger war überwiegend die Behandlung von Prostatakarzinomen.

Die Protonentherapie und vor allem das mit ihr stellenweise assoziierte Gefühl einer Ungleichbehandlung von (gleich) Versicherten ist durch die bundesweite Bildberichterstattung auf öffentlich-rechtlichen Sendern in das allgemeine Bewusstsein von Behandlern und Patienten gerückt.

Stark vereinfacht handelt es sich bei der Protonentherapie um ein relativ neues (Präzisions-)Bestrahlungsverfahren, das nach aktueller Datenlage eine effektivere Tumorbehandlung bei deutlich weniger Nebenwirkungen zu ermöglichen scheint.

Verschiedene gesetzliche Krankenversicherungen haben mit einschlägigen Leistungserbringern Versorgungsverträge abgeschlossen, wohingegen andere Kostenträger von dieser Möglichkeit noch keinen Gebrauch gemacht haben. Da die Protonentherapie (noch) nicht Bestandteil des Leistungskataloges der GKV ist, führt dies im Ergebnis dazu, dass bestimmte gesetzliche Versicherungen ihren Mitgliedern die Kosten erstatten. Dagegen müssen andere gesetzlich Versicherte die Therapiekosten aus privaten Mitteln aufbringen. Angesichts der Höhe der Behandlungskosten, die pro Bestrahlungs-Zyklus durchaus mit ca. 20.000,00 EUR zu Buche schlagen können, hat dies, verständlicherweise, einigen Unmut hervorgerufen.

Was ist Protonentherapie?

Bei der Protonentherapie handelt es sich um eine Therapie mit besonders scharf gebündelten Protonenstrahlen, mit der kleine und große Tumorvolumina sehr exakt erfasst werden können. Aufgrund der physikalischen Eigenarten von Protonenstrahlen kann die Dosis außerhalb des (Tumor-)Zielgebietes deutlich geringer gehalten werden als mit der herkömmlichen Strahlentherapie. Die Belastung des gesunden Gewebes kann hierdurch erheblich, in der Regel um ca. zwei Drittel, vermindert werden.

(Bitte lesen Sie dazu die Informationen des Rinecker Proton Therapy Center, München, das meinen Ausführungen auf den Seiten 42/43 folgt.)

Vor allem in der Behandlung von Prostatakarzinomen ermöglicht die Anwendung der Protonentherapie, die krankheitsfreien Überlebensraten bei minimalen Nebenwirkungen signifikant zu steigern.

Soweit ersichtlich, ist die Datenlage zur Protonentherapie relativ belastbar; selbst führende Fachgesellschaften, beispielsweise die Deutsche Gesellschaft für Radioonkologie, haben befürwortende Stellungnahmen abgegeben.

Die rechtliche Situation: Müssen die Kosten einer Protonenbestrahlung erstattet werden?

Das Leistungsrecht im Bereich der GKV ist durch die konsequente Trennung von ambulant und stationär erbrachten Leistungen geprägt.

Im ambulanten Bereich dürfen neue Behandlungsmethoden erst dann zu Lasten der GKV erbracht werden, wenn der Gemeinsame Bundesausschuss eine positive Bewertung abgegeben hat (sog. Verbot mit Erlaubnisvorbehalt).

Im stationären Bereich hingegen sind die Krankenhäuser in ihrer Methodenwahl zunächst nicht beschränkt. Sie dürfen – vorbehaltlich der Beachtung des Wirtschaftlichkeitsgebotes und einer gewissen Wissenschaftlichkeit – durchaus auch völlig neue Methoden zum Einsatz bringen (sog. Erlaubnis mit Verbotsvorbehalt). Durch diesen Unterschied soll das Tor zu Innovationen im Krankenhausbereich offen gehalten werden.

Der Gesetzgeber vertraut der stationären Versorgung (mit gleichsam implementierter Qualitätskontrolle) eher als den niedergelassenen Teilnehmern der ambulanten vertragsärztlichen Versorgung.

Die Besonderheit der Protonentherapie ist nun ihre Ansiedlung im Grenzbereich zwischen stationärer und ambulanter Versorgung. Denn angesichts der recht belastbaren Datenlage hat die Zuordnung entweder zum stationären oder zum ambulanten Bereich erhebliche Auswirkungen auf die Erstattungspflicht der Gesetzlichen Krankenversicherungen:

Geht man von einer stationären Behandlung aus, sind die Behandlungskosten der Protonenbestrahlung von der GKV zu erbringen. Nimmt man hingegen eine Zuordnung zum ambulanten Bereich vor, kommt mangels positiver GBABewertung eine Kostenerstattung nur unter den zusätzlichen Voraussetzungen des „Nikolaus“-Paragraphen § 2 Abs. 1a SGB in Betracht.

Bislang haben sich die Sozialgerichte überwiegend für eine Einordnung in den ambulanten Bereich ausgesprochen. Im Rahmen einiger vom Verfasser betreuten Verfahren haben jedoch auch einige Gerichte angedeutet, der hier vertretenen Auffassung zuzuneigen und die Protonenbehandlung der stationären Versorgung zuzuordnen.

Die künftige Rechtsprechung bleibt abzuwarten. Eine Einordnung als stationäre Behandlung ist allerdings insoweit vertretbar, als es in diesem Zusammenhang den unbestimmten Rechtsbegriff der „teilstationären“ Behandlung gibt.

Protonentherapie als (teil-)stationäre Behandlung?

Gemäß §§ 27 Abs. 1 Satz 2 Nr. 5, 39 Abs. 1 Satz 1 SGB V besteht für gesetzlich versicherte Patienten ein Anspruch auf Krankenhausbehandlung, sofern diese notwendig ist, um die Verschlimmerung einer Krankheit zu verhüten oder Krankheitsbeschwerden zu lindern. Gem. § 2 Abs. 1 Satz 3 SGB V haben Qualität und Wirksamkeit der Leistungen dem allgemein anerkannten Stand der medizinischen Erkenntnisse zu entsprechen und den medizinischen Fortschritt zu berücksichtigen. Dieser Anspruch erstreckt sich auch auf eine „nur“ teilstationäre Behandlung.

Eine teilstationäre Behandlung liegt nach höchstrichterlicher Rechtsprechung bei einer zeitlich beschränkten Aufnahme in das Krankenhaus vor, wobei im Rahmen dieser physischen und organisatorischen Eingliederung in das spezifische Versorgungssystem des Hauses, die Behandlung im Hinblick auf die Intensität des maschinellen Einsatzes, auf den Umfang des ärztlichen Personaleinsatzes und auf die Überwachungsnotwendigkeit nur in einem Krankenhaus erbracht werden kann.

Nach diesen Vorgaben kann die Protonentherapie durchaus als teilstationäre Behandlung eingeordnet werden. Denn der protonentherapeutisch zu behandelnde Patient ist zwingend und intensiv in das spezifische Versorgungssystem des Krankenhauses eingegliedert:

  • Der Erfolg hängt im Wesentlichen von der Einhaltung eines strikten Therapieplans ab, der eine tagtägliche, lediglich an Wochenenden unterbrochene Behandlung vorsieht.
  • Ferner wird jeder Therapieplan individuell von mehreren Spezialisten verschiedener Fachgebiete in einem komplexen, computergestützten Verfahren erstellt.
  • Als Hochpräzisions-Bestrahlung erfordert die protonentherapeutische Behandlung die tägliche, reproduzierbare Präzisionslagerung des Patienten. Für jeden Patienten muss vor Beginn der Behandlung eine individuell angepasste Ganzkörper-Moulage hergestellt werden, in der der Patient für die tägliche Bestrahlung eingelagert wird.

Kostenerstattung auch bei Einordnung als ambulante Behandlung?

Nach der hier vertretenen Auffassung, die künftig hoffentlich auch von ersten Gerichten geteilt wird, ist es unerheblich, dass der GBA bislang zur Protonentherapie noch keine Empfehlungen abgegeben (sondern seine diesbezügliche Bewertung bis zum Jahr 2018 vertagt) hat. Denn gem. § 135 Abs. 1 Satz 1 SGB V hat dies Einfluss nur auf die ambulante Versorgung zu Lasten der Krankenkassen, nicht hingegen auf den stationären Bereich.

Stellt man sich hingegen auf den Standpunkt, dass die Protonenbestrahlung trotz intensivster Eingliederung des Patienten lediglich eine ambulante Behandlungsmethode ist, darf die GKV die Behandlungskosten nur im Ausnahmefall erstatten. Aufgrund der bislang fehlenden Positivbewertung hat die Protonentherapie nämlich noch keinen Eingang in den Leistungskatalog der ambulanten Versorgung gefunden, so dass die Kosten nur unter den Voraussetzungen des § 2 Abs. 1a SGB V erstattet werden dürfen.

Nach dieser Vorschrift können Versicherte mit einer lebensbedrohlichen oder regelmäßig tödlichen Erkrankung oder mit einer zumindest wertungsmäßig vergleichbaren Erkrankung, für die eine allgemein anerkannte, dem medizinischen Standard entsprechende Leistung nicht zur Verfügung steht, auch eine Leistung jenseits des allgemein anerkannten Standes der medizinischen Erkenntnisse beanspruchen, wenn für die konkrete Behandlungsmethode eine nicht ganz entfernt liegende Aussicht auf Heilung oder auf eine spürbar positive Einwirkung auf den Krankheitsverlauf besteht.

Diese Voraussetzungen werden allerdings oft vorliegen, denn:

  • Die meisten Karzinomerkrankungen, vor allem (metastasierte) Prostatakarzinome, haben grundsätzlich eine schlechte Prognose und sind insoweit regelmäßig lebensbedrohlich.
  • Sehr oft wird für die Behandlung der konkreten Krankheit auch keine allgemein anerkannte, dem Standard entsprechende Leistung (mehr) zur Verfügung stehen. Eine solche ist insbesondere nicht in den generell zur Verfügung stehenden Standardmethoden zu sehen, namentlich in der Strahlen- und Chemotherapie. Denn bei der Beurteilung dieser Frage ist nach gefestigter BSG-Rechtsprechung stets eine Einzelfallbetrachtung vorzunehmen. Es kommt mit anderen Worten darauf an, ob in der konkreten Krankheitssituation des Versicherten eine anwendbare Therapie mit Erfolgsaussicht besteht.

Dies ist zumindest dann zweifelhaft, wenn die zuvor durchgeführten Standardmethoden das Voranschreiten der Erkrankung/Metastasierung nicht aufhalten konnten. Nicht selten wird dann eine punktgenaue und zielgerechte Bestrahlung indiziert sein, die wiederum oft nur mit einer Protonentherapie gewährleistet werden kann. Bestätigt wird diese „ultima-ratio“-Situation oft auch dadurch, dass im bisherigen Verlauf allein die Protonentherapie zu einem Therapieansprechen führte, nicht hingegen die zuvor angewendeten Standardmethoden.

Letztlich dürfte die Protonenbehandlung oft auch eine hinreichende Erfolgsaussicht bieten, mithin die nicht ganz entfernt liegende Aussicht zumindest auf eine spürbar positive Einwirkung auf den Krankheitsverlauf:

  • Diese Aussicht kann sich zunächst aus dem individuellen Therapieverlauf ergeben; insbesondere wenn es durch die zur Anwendung gekommenen Standardmethoden nicht gelungen ist, die weitere Progression aufzuhalten. Wenn durch die Protonentherapie aber eine Verbesserung des Allgemeinbefindens, unter Umständen auch eine – bildgebend dokumentierte – Regression erreicht werden konnte, stellt dies ein starkes Indiz für das „Anschlagen“ der Therapie dar. Flankierend stabilisiert sich unter der Behandlung teilweise auch der PSA-Wert bzw. ein anderer laborchemischer Parameter.
  • Ferner existiert eine Vielzahl seriöser wissenschaftlicher Arbeiten zum therapeutischen Nutzen von Protonenbehandlungen.
  • Letztlich hat eine anerkannte Fachgesellschaft, nämlich die Deutsche Gesellschaft für Radioonkologie, bereits im Juli 2008 eine umfangreiche Stellungnahme zu den klinisch relevanten Vorteilen der Protonentherapie abgegeben und sich auch mehrfach für die Einführung in die vertragsärztliche Versorgung ausgesprochen.

Insgesamt wird sich in der Gesamtschau oft eine hinreichende Erfolgsaussicht ergeben, weshalb diverse Gerichte bereits Gesetzliche Krankenversicherungen zur Kostenerstattung verurteilt haben.

Zusammenfassung

Die Protonentherapie scheint in der (Bestrahlungs-)Behandlung von Krebserkrankungen an Bedeutung zu gewinnen. Die Pflicht der Gesetzlichen Krankenversicherung zur Kostenerstattung hängt von der Einordnung der Therapie in den stationären oder in den ambulanten Bereich ab. Viel spricht für eine Einordnung als (teil-)stationäre Behandlung. In diesem Fall bestünde eine generelle Erstattungspflicht der GKV.

Vertritt man hingegen die Ansicht, dass es sich um eine ambulante Behandlung handelt, ist eine Kostenerstattung nur nach Maßgabe des § 2 Abs. 1a SGB V möglich. Angesichts der aktuellen Datenlage zur Protonentherapie einerseits, und der Bedrohlichkeit der jeweils zu behandelnden (Krebs-)Erkrankung andererseits, dürfte die Notstandsvoraussetzung dieser Vorschrift allerdings oft vorliegen.

Weitere Informationen:
Dr. Frank Breitkreutz, Rechtsanwalt und Fachanwalt für Medizinrecht
BBP Rechtsanwälte, Mommsenstraße 11, 10629 Berlin

 

Aktuelles aus der Krebsforschung

Protonentherapie – beim Prostatakarzinom

Die Protonentherapie wird in Deutschland gegenwärtig erst an wenigen Standorten angeboten. Eine Erweiterung der Einrichtungen in Deutschland, Österreich und der Schweiz zeichnet sich ab. In Ergänzung des Beitrages von RA Dr. Breitkreutz (siehe Seite 36) zur rechtlichen Situation der Kostenerstattung für diese Therapie, hat das Rinecker Proton Therapy Center, München, einige ergänzende Informationen zur Verfügung gestellt.

Erläuterung zur Abbildung: Die Effizienz einer Bestrahlungsmethode zur Tumortherapie hängt vom Dosisverhältnis im Zielgebiet zur gesunden Umgebung ab. In der Praxis wird bei allen Röntgenmethoden etwa das Drei- bis Fünffache der Tumordosis im Verhältnis zur Protonentherapie in das gesunde Gewebe eingestrahlt. Entsprechend kann die Dosis im Tumor erhöht werden um bessere Heilungschancen zu ermöglichen, ohne zusätzliche Nebenwirkung im gesunden Gewebe zu verursachen. Dadurch wird die Lebensqualität der Patienten nur sehr wenig beeinträchtigt. Für den Patienten bedeutet das, ihn vom Durchschlageffekt der Röntgenstrahlung zu befreien. Hinter dem Tumor (in Strahlrichtung gesehen) erfährt der Patient keinerlei Strahlenbelastung mehr und vor dem Tumor ist die Strahlendosis im Gegensatz zu Röntgen nicht höher, sondern niedriger. Dies ist möglich weil der Protonenstrahl dreidimensional gesteuert wird und es hinter dem Tumor keine Strahlung mehr gibt.

„Anders als Röntgenstrahlen geben Protonen auf ihrem Weg zum Tumor nur wenig Energie ab. Ihre maximale Dosis, die für die Zerstörung der Tumorzellen verantwortlich ist, wird erst freigesetzt, wenn die Protonen stoppen (im Bragg-Peak). Dieser Ort, und somit der Ort des Dosismaximums, ist mittels ihrer Geschwindigkeit (Energie) präzise dreidimensional bestimmbar. Die Geschwindigkeit wird so gewählt, dass die Protonen exakt an einer vorab berechneten Stelle im Tumor stoppen. Das gesunde Gewebe hinter dem Tumor bleibt strahlungsfrei, das vor dem Tumor wird wesentlich weniger belastet als bei Röntgen. Insgesamt kann die Strahlenbelastung im Gesunden mit Protonen um über zwei Drittel (gegenüber Röntgen) verringert werden, bei gleicher oder höherer Tumordosis. Die Protonentherapie ermöglicht somit nicht nur höhere Heilungschancen, sondern mindert durch Reduzierung der Akut- und Spätnebenwirkungen sowie des Risikos von Sekundärtumoren auch die Folgebelastungen der Strahlentherapie. Am Beispiel des Prostatakarzinoms bedeutet dies neben hervorragenden medizinischen Ergebnissen eine Reduzierung der Behandlungsdauer um fast 50%, eine Reduzierung der Akut- und Spätnebenwirkungen und in der Regel den Wegfall einer Reha-Behandlung nach der Therapie. Höhere Behandlungskosten werden somit durch reduzierte Nebenkosten aufgefangen.“
(Quelle: Rinecker Proton Therapy Center, München, Jahresbericht)

Internationale Studie erforscht Behandlungsrealität bei fortgeschrittenem Prostatakrebs

Es steht die Frage nach adäquater Behandlung bei Männern mit fortgeschrittenem Prostatakrebs. Welche Strategien werden von den Behandlungsteams im klinischen Alltag für eine Therapieentscheidung eingesetzt? Die Vielfalt der Möglichkeiten für Therapieentscheidungen nimmt zu. Eine internationale Studie, die auf dem ESMO, dem Europäischen Krebskongress, vorgestellt wurde, soll Antworten liefern. „Teilnehmende Ärzte müssen keine zusätzlichen Untersuchungen durchführen, sondern einfach ihre tägliche Arbeit, genauer gesagt, ihre Therapieentscheidungen, dokumentieren.“ Über vier Jahre soll dann ablesbar sein, wie die Krankheit behandelt wird, wer wohin überwiesen wurde, welche Untersuchungen durchgeführt wurden. Therapieergebnisse und Krankheitsverlauf werden exakt dokumentiert. Aus den Daten soll dann ablesbar sein, welche Therapieentscheidungen zu welchen Änderungen in der Therapie geführt haben. Die Studie soll auch Informationen über geografische Besonderheiten des Prostatakarzinoms liefern. Dozentin Dr. Maria De Santis vom Kaiser-Franz-Josef-Spital Wien erwartet Antworten aus 115 Zentren in Europa, dem Nahen Osten und dem pazifischen Raum.
(Quelle: ESMO Abstractr De Santis 2014 )

 

Krebsprävention – Heilschätze aus Wiese und Garten

Dr. Kristin Peters, Brunn

Lang anhaltende stabile Gesundheit ist sicherlich einer der wichtigsten Wünsche in unserer Zeit. Die immer häufiger auftretenden Tumorerkrankungen tragen dazu bei, Menschen zu verunsichern oder zu verängstigen. Doch was kann helfen, dem Krebs vorzubeugen und sich zu schützen? Was bietet uns die Pflanzenheilkunde?

Eines der wichtigsten Prinzipien der Naturheilkunde ist: vorbeugen statt heilen und lindern. Naturheilkunde unterstützt den Menschen, bevor ein Problem, eine Befindlichkeitsstörung oder eine Krankheit entsteht. Dazu wird die Persönlichkeit in ihrer Gesamtheit betrachtet; Körper, Geist und Seele einbezogen.

Wollen wir den Erkrankungen des modernen Lebens und auch der Tumorerkrankung entgegentreten, reicht es nicht, die körperlichen Bedürfnisse kennen zu lernen und ihnen so gut wie möglich zu entsprechen. Neben beispielsweise der kontinuierlichen und individuell gezielten Bewegung, der individuell angepassten gesunden Ernährung, der Balance zwischen Aktivität und Passivität, der tiefen und gleichmäßigen Atmung gehören auch die Entwicklung der sozialen und emotionalen Kompetenzen sowie das geistig-seelische Wachstum dazu.

Lernt der Mensch,

  • Gefühle wahrzunehmen und auszudrücken,
  • eine fruchtbare Kommunikation zu führen,
  • den Mut zu Individualität zu entwickeln und diese durchzusetzen,
  • sich Verhaltensmuster und Lebenseinstellungen bewusst zu machen,
  • seine Grenzen zu erkennen,
  • sich das Über-die-Stränge-schlagen zu erlauben und
  • das Leben mit all seinen Höhen und Tiefen anzunehmen,

so ist er in der Lage, die geistig-seelische Auseinandersetzung zu führen, bevor sie sich als organisches bzw. körperliches Symptom niederschlägt.

Auf diesem Weg der Reifung können uns Pflanzen, nämlich Wild- und Kulturpflanzen sowie Heil- und Nahrungspflanzen eine große Hilfe sein. Im Laufe meiner Arbeit mit diesem unschätzbaren Reichtum an heimischen Pflanzen bin ich immer wieder zutiefst von ihren Potenzialen erstaunt und möchte Sie mit meiner kleinen Auswahl an mehr oder weniger bekannten Wildpflanzen und einer beliebten Gartenpflanze an deren Fähigkeiten teilhaben lassen.

Gänseblümchen – klein aber oho

Die hübsche wie beliebte Garten- und Parkpflanze ist in ganz Europa verbreitet. Jedoch nur Wenige wissen, wie heilkräftig und vielseitig diese Miniatur ist.

Sie enthält eine Reihe wertvoller Inhaltsstoffe, wie Triterpensaponine, Flavonoide, Polyine, in Spuren ätherisches Öl, Gerbstoffe, organische Säuren, Bitterstoffe, Schleimstoffe und Vitamin C. Zu ihren Wirkungen zählen: wundheilend, entzündungshemmend, antimikrobiell, antiviral, lipidsenkend, stoffwechselanregend, schmerzstillend, krampflösend, blutreinigend, stuhlerweichend, bindegewebsfestigend, schleimlösend, den Hautstoffwechsel anregend, adstringierend und juckreizlindernd.

Sie wird sowohl als Wund-, Frauen-, Kinder- und Hautheilpflanze als auch bei Atemwegserkrankungen, Verdauungsbeschwerden und Stoffwechselproblemen eingesetzt. Zusätzlich stimuliert sie das Immunsystem. In der Krebsprävention sind gewiss die Bitterstoffe von Interesse, die helfen, die gesamte Abwehr zu stärken und Tumoren des Verdauungstraktes vorzubeugen.

Des Weiteren spielen Flavonoide und Gerbstoffe sowie der Einfluss auf die Milz eine wichtige Rolle. Entzündungen und chronischen Erkrankungen kann damit u.a. entgegen gewirkt werden. Erfreulicherweise ist das Gänseblümchen auch ein schmackhaftes und dekoratives Wildgemüse und darf ruhig häufig unsere Nahrung mit Blättern und Blüten aufwerten.

Ungeachtet der zarten, einfachen und unschuldigen Ausstrahlung des Gänseblümchens, zeigt es mit seinen Eigenschaften große Robustheit und unbändige Vitalität. Es blüht unentwegt vom Frühjahr bis zum Herbst - trotz Betritt, mehrfachen Mähens oder Grasens. Das allein sind schon hilfreiche Impulse für uns dauerbeanspruchte Geschöpfe. Hinzu kommt, dass es sich zur systemischen Unterstützung des Heilungsprozesses und zur Linderung seelischer Folgen von Verletzungen und Gewaltanwendungen eignet. Darüber hinaus kann es auch insbesondere zur seelisch-geistigen Auseinandersetzung nach sexuellen Übergriffen, auch wenn sie bereits länger zurückliegen, empfohlen werden. Hierbei sei auch u.a. an die Prophylaxe von Krebserkrankungen der weiblichen Geschlechtsorgane erinnert.

Nicht ungewöhnlich für den heutigen Menschen ist das Missachten der persönlichen Grenzen. Es geht immer noch mehr, zu wenig Pausen, zu viel Strenge mit sich selbst und ständiges Funktionieren. Sogar dann kann das Gänseblümchen z.B. als Urtinktur Anwendung finden, wenn dem eigenen Körper Unrecht angetan wird. Es kann beim Erlernen eines liebevollen Umgangs mit sich selbst ein passendes Heilkraut sein.

Tomate – fröhlich und gesund

Sie gedeiht noch nicht so lange in unseren Gärten. Die Spanier brachten die „Tomatl“ von den Azteken mit der Kartoffel nach Europa. Sie war bereits in Mittel- und Südamerika Nutz- und Heilpflanze. Der Name Tomatl kommt von tomala = schwellen.

Die Tomate ist eine heilsame und gesunde Beerenfrucht. Sie enthält viele Wirkstoffe, wie Kalium, Magnesium, Eisen, Pro-Vitamin A, Vitamin C und E, Carotinoide, z.B. Lycopin, und organische Säuren, die den Geschmack bestimmen.

Das Lycopin wurde genauer untersucht und festgestellt, dass es u.a. die Tomate selbst vor Sonnenbrand schützt. Es wirkt stark antioxidativ und kann gegen Herzinfarkt und die Entwicklung einiger Tumorzellarten Prophylaxe sein. In verschiedenen Studien erwies sich die tomatenreiche Ernährung als krebsvorbeugend, z.B. verringerte sich die Häufigkeit von Blutkrebs bei Frauen und das Risiko einer Prostata-Erkrankung reduzierte sich um fast 30%.

Nicht zu vergessen, die Tomate hellt die Stimmung auf, was zum einen an ihrer Farbe und zum anderen an dem in ihr gefundenen Tyramin liegt. Sie ist eher eine kühlende Frucht, also bei Hitze, wie im Sommer oder in den Wechseljahren, hilfreich.

Die nur in den grünen Pflanzenteilen vorkommenden Steroidalkaloide können in höheren Dosen zu Vergiftungserscheinungen führen. Wer die Tomate in seinem Garten anbaut, womöglich eigenhändig Pflänzchen aus den Samen zieht, erntet nicht nur eine gesundheitsfördernde „Gute-Laune-Frucht“ sondern wird auch noch mit Gärtnerinnenstolz und Freude belohnt. Damit ist sie noch wertvoller, denn Freude ist bekanntlich eines der wichtigsten Vorbeugungs- und Heilmittel der Menschen.

Frauenmantel – geheimnisvolle Alchemistin

Alchemilla xanthoclora, der Frauenmantel, erweckte nicht nur bei den Alchemisten großes Interesse. Das „Tränenschön“ ist ein faszinierendes Gewächs, da es durch Guttation Flüssigkeit ausscheidet, die sich schimmernd wie eine Perle im Blattgrund sammelt.

Das blühende Kraut kann von Mai bis September geerntet werden. Es beinhaltet u.a. Gerbstoffe, darunter Ellagitannine wie Agrimoniin, Pedunculagin und Laevigatin, Flavonoide, u.a. Quercetin, Saponine, Phytosterine, Carotinoide, Linolsäure, Lecithin sowie Spuren von Salicyl- und Stearinsäure sowie ätherischem Öl. Mineralien wie Eisen, Kalium, Kalzium, Kieselsäure und Magnesium konnten ebenfalls nachgewiesen werden. Frauenmantel gehört zu den bedeutendsten heimischen Heilkräutern, der speziell in der Frauenheilkunde hoch geschätzt wird. Seine adstringierenden, krampflösenden, wundheilenden, antibakteriellen, blutstillenden, entzündungshemmend, wassertreibenden, gefäßschützenden (Quercetin) und herzstärkenden Eigenschaften sind altbewährt. Zusätzlich beruhigt er die Nerven und fördert einen guten Schlaf. Seine fruchtbarkeitssteigernde, hormonregulierende, uteruskräftigende und milchbildende Wirkung begründet seinen hauptsächlichen Einsatz als Frauenheilmittel.

In der ganzheitlichen Anwendung beschreiben Frauen dieses Kraut als einhüllend, schützend und Gelassenheit gebend. Damit ist es sowohl mit seinen körperlichen wie auch geistig-seelischen Funktionen hilfreich in der Krebsprävention. In diesem Sinne können Sitzbäder, Vaginalspülung, Vaginalzäpfchen und für die Einnahme Tee, Urtinktur und naturheilkundliche Fertigpräparate empfohlen werden. Darüber hinaus erwiesen sich die Phytosterine als entzündungswidrig und tumorhemmend bei Prostataadenomen. Der Gerbstoff Agrimoniin soll dazu beitragen, die Entwicklung von Brustkrebs zu hemmen. Zu guter Letzt ist Alchemilla ein starkes Antioxidans, das den Körper bei der Vernichtung freier Radikale unterstützt.

Die Wiese und der Garten halten eine hilfreiche Vielfalt bereit. Einiges davon wird bereits genutzt, einiges wird noch wiederzuentdecken sein.

Wenn Sie meine Erfahrungen und mein Wissen zur Pflanzenheilkunde, zur Phytotherapie, interessiert, dann vermittle ich es gern an Sie weiter. Sie können mich bei Kräuterwanderungen begleiten, an meinen Aus- und Weiterbildungsveranstaltungen, meinen Workshops und Seminaren teilnehmen. Besuchen Sie mich auf meiner Internetseite, dort finden Sie viele Antworten auf Ihre Fragen. Ich freue mich auf Sie.

Weitere Informationen:
post@kristin-peters.de; www.kristin-peters.de
Kristin Peters; Dorfstraße 44; 16845 Brunn; Tel: 033 979 / 519 677

 

„Im Grunde, und gerade in den tiefsten und wichtigsten Dingen, sind wir namenlos allein, und damit einer dem anderen raten oder gar helfen kann, muss viel geschehen, viel gelingen, eine ganze Konstellation von Dingen muss eintreffen, damit es einmal glückt.“
(Rainer Maria Rilke, Briefe 1903)

 

Aktuelles aus der Krebsforschung

Krebsforscher finden Mittel, das Tumorwachstum bremsen kann

Ein Stoff in unserem Körper beschleunigt das Wachstum von Tumoren. Bisher gibt es dagegen keine Therapieoption. Forscher in den USA sind jetzt einen wichtigen Schritt weiter. Dan Theodorescu, Direktor des University of Colorado Cancer Center und sein Team fanden einen neuen Ansatz, um bestimmte Krebsformen in ihrem Wachstum zu verlangsamen.

Dabei geht es um das so genannte Ral-Protein. Es handelt sich um ein Enzym, das dafür bekannt ist, eine wichtige Rolle in der Signalweiterleitung in und zwischen Zellen zu spielen. Enzyme sind Katalysatoren für chemische Prozesse, die vielfältige Stoffwechselvorgänge in unserem Körper beschleunigen oder überhaupt erst ermöglichen. Ral kommt zwar auch im gesunden Körper vor. Ist es jedoch übermäßig aktiv, gilt es als so genanntes prototypisches Onkogen. Darunter versteht man den Inbegriff eines Krebs-Gens. Das sind Teile unseres Erbguts, die den Übergang von einem normalen Zellwachstum zu ungebremstem Tumorwachstum fördern.

Übermäßig aktives Ral kann also das Wachstum von verschiedenen menschlichen Krebs-Erkrankungen beschleunigen. Experten sprechen dabei von einem „Treiber“. Darunter sind etwa Bauchspeicheldrüsen-, Prostata-, Lungen-, Darm- und Blasenkrebs. Bislang gibt es keine Medikamente, die dazu in der Lage sind, das schädliche Ral-Protein zu blockieren.

Formen der Krebs-Therapie

  • Operation
  • Chemotherapie
  • Strahlentherapie
  • Molekularbiologische Therapie
  • Hormontherapie
  • Hyperthermie

Die Studie der Forscher um Theodorescu zeigt nun einen neuen Therapieansatz: Die Wissenschaftler untersuchten das Ral-Protein zunächst im Computermodell. Ist es inaktiv, zeigt sich eine Aushöhlung in seiner Struktur. Wird Ral aktiviert, verschwindet diese Einkerbung. Dahinter steckt eine Strukturänderung des Moleküls. So kamen die Forscher auf die Idee, nach einem „Stock“ zu suchen, um das Maul des Alligators offen zu halten - und so die Aktivierung des Proteins zu verhindern.

Nach hunderttausenden Versuchen fanden sie 88 scheinbar geeignete Substanzen. Mit dieser Erkenntnis gingen sie zu Laborversuchen an menschlichen Krebszellen über. In mehreren Versuchsreihen reduzierten die Wissenschaftler die Auswahl schließlich auf eine Handvoll von Substanzen, die die Aktivierung von Ral in Lungenkrebs-Zellen verhindern konnten.
(Quelle: CU Cancer Center, „Nature“-Magazin, Wirtschaftswoche Sept. 2014)

 

Krankheitserfahrungen - Mein Leben mit Krebs

Jürgen Löffler, Leiter einer SHG für Blasen- und Prostatakrebs

Es war Sommer 1998, als ich mit meiner Familie im wunderschönen Hochschwarzwald im Urlaub war. Da musste ich beim Wasserlassen zur Kenntnis nehmen, dass ich Blut im Urin hatte. Ich suchte meinen Urologen auf. Mein Arbeitspensum im Beruf war reichlich und die Zeit knapp. Mehrere Infekte führten mich erst im November zu ihm. Also erst einmal Urinstatus und ab auf die Pritsche zur Sonographie der Blase und der Nieren. Es war nichts zu finden und so musste ich zu einer Computertomographie(CT). Die CT war ohne Befund, also i.O.

Mein Arzt sonographierte mich abermals, aber dieses Mal mit voller Blase. Es dauerte nicht lange und mein Urologe fand drei Tumore. Er eröffnete mir, dass der Tumor raus muss. Ich plädierte für Anfang Januar, um das Christfest für die Familie zu sichern. Aber da hatte ich die Rechnung ohne meinen Urologen gemacht. Mein Krankenhaustermin war am nächsten Tag und in ca. einer Woche sei ich bestimmt wieder zu Hause. Mein Urologe organisierte umgehend ein Bett in einem Krankenhaus für mich.

Die Abteilung machte einen guten Eindruck und das Personal war freundlich. Die Aufnahme wurde von einem AiP (Arzt im Praktikum) durchgeführt. Mir wurde gesagt, dass der Eingriff durch eine Transurethale Resektion der Blase (TURB) erfolgt, also ein Eingriff durch die Harnröhre; Komplikationen seien nicht auszuschließen, aber unwahrscheinlich. Wenn alles gut geht, wäre ich in 5 Tagen wieder zu Hause. Der Narkosearzt kam und wollte nur wissen, ob alles für mich klar sei und ich schon alles unterschrieben hätte. Unterschrieben hatte ich noch nicht, wusste auch nicht recht, was ich eigentlich fragen sollte bzw. könnte. Als Narkose hatte ich mich für die Spinalanästhesie entschieden, da mir die Vollnarkose bei meiner Blinddarmoperation im Jahre 1970 nicht gerade gut bekommen war. Für die Pikserei im Rücken konnte ich mich auch nicht gerade erwärmen, aber es ging besser als gedacht. Das Mitanschauen der ärztlichen Tätigkeit in der Blase auf dem Monitor während des Eingriffes war für mich nicht uninteressant. Ein schönes Gefühl kam bei mir auf, als die Empfindsamkeit im unteren Körperabschnitt wiederkam und ich merkte, dass die Beine wieder zu mir gehören! Mein Gesundheitszustand wurde nach dem Eingriff langsam besser. Aber nun kommt es dick: statt eines stärkenden Mittagessens, meinte der Arzt, der nach mir schaute, dass ich zum Mittag nochmals in den OP müsste, weil noch zu viel Blut im Urin sei. Das dämpfte meinen Optimismus auf baldige Genesung, zumal die Prozedur sich am Abend nochmals wiederholen sollte. Und bei der Wiederholung sollte es nicht bleiben; kurz vor Mitternacht dann noch eine offene OP, also Eingriff von außen. Ich erinnere mich nur noch, dass zwei Anästhesisten neben mir sich über meinen geringen roten Blutkörpergehalt unterhielten, während es mir nur noch schlecht ging. Was war passiert? Mit der Elektroschlinge hat der Operateur ein Blutgefäß angeschnitten und konnte es nicht schließen, d. h. verkochen. Zu dem damaligen Zeitpunkt wusste ich wahrlich nicht, was mir geschah und wie die Therapie zu bewerten war. Es mag schon sein, dass mein Fall einer von 10.000 oder auch 100.000 ist, aber wenn es mich betrifft, dann ist das schon nicht unwesentlich. Die Bezugszahlen sind mir unwichtig geworden, weil ich heute, noch 16 Jahre danach, in 2014 daran leide! Ich glaube schon, dass der Arzt das nicht beabsichtigt hat, aber den Schaden habe ich und nicht der Arzt. Das mit dem Vertrauen ist eben anders als bei einer Eisenbahnfahrt; dort fährt nämlich der Lokführer mit!

Im Arztgespräch wurde ich gefragt, was für einen pathologischen Befund ich wohl haben würde; ich sagte: einen gutartigen Tumor. Das wurde dann aber vom Oberarzt behutsam abschlägig beschieden: es sei ein Ta und G1 und bösartig. Was das heißt, wusste ich damals noch nicht, aber es war noch die günstigste Variante. Ich müsse aber trotzdem im nächsten Frühjahr zur Nachresektion kommen. Aus den angekündigten fünf Tagen wurden zehn und das auch nur, weil Weihnachten bevorstand. Die Urologische Abteilung wurde über Weihnachten geschlossen. Ich wäre wahrscheinlich der letzte auf der Urologie gewesen, wenn ich nicht noch einen Bettnachbarn am Vormittag bekommen hätte, der einen schlechten Blutstatus hatte – nach einer vorangegangenen Chemo auf Grund von Prostatakrebs. Die wenigen gemeinsamen Stunden mit dem Bettnachbarn haben mir zu denken gegeben – was die Chemotherapie betrifft. Von da an wusste ich, dass eine Chemotherapie keine Option für mich ist.

Im März 1999 zog ich ins gleiche Klinikum zur Nachresektion ein und konnte diesmal wirklich nach fünf Tagen nach Hause. Es muss sich da wohl um einen Lehrbucheingriff gehandelt haben mit einem zuversichtlichen guten pathologischen, also o. B., und ohne Folgebehandlungen. Ich nutzte hier die Gelegenheit der Nachfrage nach einer Kur, da diese mir im Dezember nicht angeboten wurde. Ich blickte in ein erstauntes Gesicht, denn weder der Sozialdienst war an mein Bett gekommen, noch war es Thema im Arztgespräch. Der Eingriff TURB rechtfertigte eine Anschlussheilbehandlung nicht, so die Meinung! Ich solle das mit meinem niedergelassenen Urologen oder mit meiner Krankenkasse klären. Nach wenigen Wochen dufte ich dann wieder meinem beruflichen Geschäften nachgehen, bekam aber in 1999 in Masserberg/Thür. und 2000 in Bad Elster/V. eine Rehabilitationskur.

In den fünf folgenden Jahren nach der Erst-OP führte mein Urologe vierteljährige Sonographien und gelegentlich auch Blasenspiegelungen durch. Fast auf den Monat genau nach fünf Jahren in 2003 stellte mein Urologe bei einer Blasenspiegelung erneuten Blasentumor fest. Wieder eine CT und Einweisung ins gleiche Krankenhaus und fast zur gleichen Zeit vor Weihnachten.

Aber auch hier wieder eine Lehrbuch-OP und nach fünf Tagen nach Hause. Der Oberarzt führt das Arztgespräch über das Ergebnis TTis (Tumor in situ) und G3 des Pathologen. Aber diesmal schon eine recht ungünstige Variante. Er bot mir an, im Januar 2004 noch ein Mapping in der Blase durchzuführen, da ich für die Empfehlung des Pathologen zur Blasenentfernung im Alter von 53 Jahren noch sehr jung sei. Nach längeren Überlegungen habe ich dann zugesagt und das Mapping brachte einen weiteren Krebsbefund mit der Empfehlung des Pathologen: Blasenentfernung oder Radio-/Chemotherapie oder BCG. Spätestens jetzt kreiselten meine Gedanken über die nun anstehenden Therapieangebote, weil mein Urologe von mir wissen wollte, für welche ich mich entscheide. Im Gespräch merkte ich schon, dass er die Vorstellung der Blasenentfernung hatte und ließ daran auch keinen Zweifel aufkommen. Bevor ich antwortete sagte er: ich soll doch nicht so dumm sein und es nicht machen lassen. Jetzt brauchte ich erst einmal Zeit zum Überlegen, die er mir auch gewährte.

So nutzte ich die Krankenhausbibliothek, um an Wissen über Blasenkrebs zu kommen. Die Lehrbucherkenntnisse brachten mir wenig Genugtuung für die Bekämpfung des Tumors in meinem Körper. Im Januar 2004 bekam ich ein Päckchen mit orthomolukulatischen Präparaten geschenkt, die gegen Krebs helfen sollten. Den Absender kannte ich nur vom Hörensagen, aber er war mir vertrauensvoll, weil er auch meine christliche Glaubensgrundlage teilte. Diese Möglichkeit habe ich in den medizinischen Lehrbüchern in der Bibliothek nicht gefunden. Auch fand ich wenig gesicherte Erkenntnisse über Krebs, aber dafür ausreichend Informationen über schulmedizinische Krebsbekämpfung. Als gesichert galt, dass der Krebs weg muss; egal ob mit chirurgischen, chemischen oder Strahlen-Mitteln. Erst nach meiner Entscheidung für die BCG habe ich verstanden, dass bei Krebs unser körpereigenes Immunsystem gefordert ist. Ansonsten kann Krebs außer Kontrolle geraten und dann wird es lebensbedrohlich. Hier möchte ich bemerken, dass mein Vater auch blasenkrebskrank war, aber die Wissenschaft diesen Fakt für wenig ausschlaggebend hielt. Meine Entscheidung für die BCG (Bacillus Calmette-Guerin Instillation = organerhaltend) beruht auf meiner Überlegung, dass ich auf meine Blase nicht verzichten wollte; sie gehört zu mir, auch wenn sie krank ist! Aus dem v. g. Anlass vor fünf Jahren konnte ich an eine Chemo einfach nicht denken. Für mich heißt das, den Teufel mit dem Beelzebub auszutreiben; also keine Option für mich; das geht gar nicht! Also blieb mir nur noch die BCG und nur so habe ich sie für mich als Bio-Chemo annehmen können.

Für meine Entscheidung war auch wichtig, dass im Dezember 2003 der Pathologe nur die Blasenentfernung empfahl, während er im Januar 2004 nach dem weiteren Befund die Empfehlung erweiterte. So begann dann für mich im April 2004 die BCG-Therapie, nach dem mein Urologe daraufhin einen schriftlichen Anfall bekam und mehrere Karteikarten vollschrieb, die ich dann unterschreiben musste. Danach schien es meinem Urologen wieder besser zu gehen, denn er meinte, dass er noch eine Patientin hat, die auch schon BCG bekommt und die Aussichten nicht schlecht sind.

Mit meinen Informationsfunden in Literatur des Buchhandels habe ich meinen behandelnden Urologen konfrontiert; er war entsetzt, entnervt und äußerte, dass er unser Verhältnis für gestört halte und ich könne gern zu einem anderen Kollegen wechseln. Ich habe dem Wechsel zugestimmt und mich nach einem anderen Urologen umgesehen und dabei festgestellt, dass ein Wechsel zu dieser Zeit gar nicht so einfach war.

Wie die Zufälle manchmal so sind, hat mich eine Verwandte aufmerksam gemacht, dass es in Jena an der Friedrich-Schiller-Universität Jena eine Fachambulanz für Naturheilkunde in der Onkologie gibt; sie habe das in der Fernsehsendung vom MDR „Hauptsache Gesund“ gehört. Für eine naturheilkundliche Behandlung bekam ich im August 2004 einen Arzttermin. Es hat mich sehr angesprochen als die Ärztin sagte, dass ich mit meiner Krebserkrankung zu meinem Facharzt gehen soll und sie kümmere sich um meine Gesundheit! Unter den Urologen der Stadt gab es schon einen Favoriten, aber leider bei ihm keinen Termin. Ich bekam aber an der Rezeption einen heißen Tipp für meine nun gefundene Urologin, die mein Anliegen nach keinen invasiven Eingriffen tolerierte. Bislang ergaben die Untersuchungen durch Sonographie, Blasenspiegelungen und Magnetresonanztomographien (MRT) keine verdächtigen Krebsbefunde. Sie hat akzeptiert, dass die CT-Strahlenbelastung krebserregend sein kann gegenüber MRT. Meine Ärztin sonographierte auch anders als mein bisheriger Urologe, immer nur mit voller Blase und lässt erst danach den Urinstatus feststellen.

Ich bin froh, mit meinem Krebs in Frieden leben zu können, denn ich habe meine krebskranke Blase noch, weil ich der Empfehlung des Pathologen wie auch Urologen nicht gefolgt bin. An dieser Stelle kann ich auch meine Krankenkasse loben, die fast alle gewünschten Leistungen finanziell getragen hat; bis hin zur naturheilkundlichen Behandlung in Jena. Bei meinen Recherchen bezüglich Hyperthermie ist meine Kasse ausgestiegen. Sie meinte, es sei noch zu wenig erforscht, obwohl es eindeutig gute Ergebnisse gibt in der Krebsheilkunde, so die Gesellschaft für Biologische Krebsabwehr (GfBK). Diese Entscheidung kann ich nicht nachvollziehen, weil das zu Lasten der krebskranken Menschen geht, die nun eh schon am Leben benachteiligt sind. Die GfBK plädiert für Laserbehandlung von Blasenkrebs, um Absiedlungen zu verhindern, wie sie bei der TURB entstehen. Es ist nicht auszuschließen, dass mein erneuter Krebs nach fünf Jahren durchaus von Absiedlungen von abgehobelten Krebszellen entstanden sein kann.

Mein Interesse an medizinischen Erkenntnissen führte mich 2004 über die Naturheilkunde in Jena zu Weiterbildungen für Urologen und damit zu einem gleichartigen Betroffenen und wiederum zur Gründung der zweiten Selbsthilfegruppe (SHG) Blasentumor Thüringen in den neuen Bundesländern. In Vorbereitung dieser Gründung stieß ich auf die Existenz des Selbsthilfebundes für Blasenkrebs (SHB), in dem ich schon mehrere Jahre Mitglied bin. In unserer Stadt gibt es seit acht Jahren eine gemischte SHG für Blasen- und Prostatakrebs unter meiner Leitung, die unlängst durch eine Gründung SHG Blasenkrebs getrennt wurde und von mir nun betreut wird. Mir hat die Selbsthilfe, wie sie nach SGB II gesetzlich geregelt ist, bisher eine hohe Lebensqualität gebracht und hoffe, sie noch lange haben zu können, auch mit Krebs!

Im Rahmen der Zertifizierung Prostatakarzinomzentrum ergab es sich, dass ich meinen Urologen wiedertraf. Er erkundigte sich nach meinem Befinden und auf mein Wohlergehen hin meinte er, dass er das hat ja nicht wissen können! Was das auch immer heißen mag? Schade, dass Ärzte nicht grundsätzlich sagen können, dass sie auch nicht alles wissen. Dann müssten Sie nicht immer eine Entscheidung dem Patienten in den Mund legen, die ihm nicht unbedingt helfen muss.

 

Gesundheitserfahrungen. Der besondere Ort: Sonneninsel Usedom

Dagmar Moldenhauer

Man sagt, der Mensch strebt zum Wasser. Dem muss ich uneingeschränkt zustimmen. Liegt das Meer vor mir, wird die scheinbare Unendlichkeit der See deutlich. Es lohnt, eigenen Erfahrungen mit dem Element Wasser nachzuspüren. Was tut es mit uns? Immer, wenn ich am Meer bin, fasziniert dieses Element – in Ruhe und auch bei Sturm. Meer ist Lebenselexier!

   

Dort, wo sich Land und Wasser ganz nah begegnen, so wie auf der Sonneninsel Usedom, ist das Erlebnis von Wasser, seiner Kraft und Energie, von Weite und Nähe besonders intensiv. Egal wie der Wind weht oder die Sonne scheint, ob Sommer oder Winter – Zeit auf der Insel Usedom ist unspektakulär und doch so intensiv. Die Klarheit der Luft, der weite Blick über das Meer auf der Suche nach dem endlosen Horizont, die im Sommer sonnigen Strände und kühlen Wälder – Usedom ist ein besonderer Ort, der Leib und Seele gut tut. Sogar bei trübem Wetter fühlt man nach einem Strandspaziergang ein frisches Wohlgefühl und einen leicht salzigen Geschmack auf den Lippen. Und die Lungen sind voll mit guter Luft.

In der Beobachtung des Meeres lässt sich erleben, wie Wasser fließt und den Weg des geringsten Widerstandes nimmt. Wellen brechen sich an Buhnen, es gurgelt und zwingt zum Stehenbleiben. Wasser trägt so manches ans Ufer. Ganz früh am Morgen findet man manchmal rätselhafte Fundstücke. Die Energie des Wassers fordert Aufmerksamkeit, Erfassen, Ruhe und Austausch, Beweglichkeit, Tiefe, Beruhigung. Wasser wirkt auf unser tiefstes Inneres, wo nur noch Stille ist. Eine Stille, die viele von uns nur noch selten ahnen; ein Potenzial, das wir kaum noch kennen, kaum nutzen.

   

Aber bleiben wir auf der Insel Usedom. Die Tradition der Architektur der alten Kaiserbäder, die in neuem Glanz strahlen, die Menschen, die hier zusammentreffen, der ausgezeichnete Service und die Freundlichkeit in den Hotels, Pensionen und den kleinen Landgaststätten, die es zu erkunden gilt, – all das wirkt – auf jeden.

Ein Tipp: erkunden Sie die Insel, suchen Sie die stillen Orte, die weiten Blicke übers Land auch jenseits der Ostsee. Usedom fordert Bewegung, ob zu Fuß oder mit dem Fahrrad, natürlich auch mit dem Auto, – suchen Sie sich Ihre Wege über die Insel.

Die Peene, sozusagen der Strom achtern der Kaiserbäder, ist in der Sommersaison die ruhigere Alternative zum belebten Strand. Es gibt bei jedem Besuch Neues zu entdecken, oder sich an Bekanntem wieder zu freuen. Versteckte Kunst findet sich ebenso wie die touristischen Angebote, die sich alle dem Charakter der Insel unterordnen. Hier wurde und hier wird mit Bedacht gestaltet – und wenn man will, erlaubt es die Insel, hier auszuruhen und zu genießen.

Machen Sie ganz einfach Ihre Gesundheitserfahrungen mit dem Meer, dem Wasser und den versteckten Schönheiten der Insel Usedom – es wirkt!

 

„Dem Geheimnis meines Lebens komme ich am meisten dann näher, wenn ich die Stille aushalte.“(Gottfried Herder)

 


Europäische Akademie für Naturheilverfahren und Umweltmedizin
Partner für einen Dialog zur Integrativen Krebstherapie

Das Periodikum „Aktuelle Gesundheitsnachrichten“ wird von der Stiftung Günter und Regine Kelm gefördert. Sie können es bestellen oder online unter www.eanu.de nachlesen. Sind Sie an unserem Newsletter interessiert?

Bitte richten Sie Ihre Wünsche an unsere Kontaktadresse:
Europäische Akademie für Naturheilkunde und Umweltmedizin
Grottkauer Straße 24, 12621 Berlin
Tel. +49(0)30 – 55 15 82 48, Fax: +49(0)30 – 55 15 82 49
E-Mail: info@eanu.de; www.eanu.de
www.facebook.com/EANU.Berlin

In eigener Sache: Wir danken den ehrenamtlichen Helfern, die uns in unserer Arbeit für diese Ausgabe unterstützt haben.

IMPRESSUM: Aktuelle Gesundheitsnachrichten, Heft 15/2014, ISSN (Print) 2199-9791, ISSN (Internet) 2199-9805
(Auflage/deutscher Sprachraum: 20.000 Exemplare)

HERAUSGEBER: Europäische Akademie für Naturheilverfahren und Umweltmedizin (EANU)
Dr. Wasylewski GmbH, Grottkauer Straße 24, 12621 Berlin, Tel. +49(0)30-55158248

REDAKTIONSTEAM: Dagmar Moldenhauer, Dr. med. A .-H. Wasylewski, Jochen Friedrich, Regine Kelm
Bild: dietwalther-fotolia.com, fotolia weitere: Andrea Wilhelm, Henry Czauderna, Tatyana Gladskih, Monkey Business, motivjaegerin, Charité Berlin, Universität Zürich, Dr. Breitkreutz, Dr. Peters, Joachim Kirchmair, Dagmar Moldenhauer, Jürgen Löffler. Porträtfotos der Autoren wurden von den Autoren zur Verfügung gestellt.

Redaktionelle Texte und Beiträge geben nicht unbedingt die Meinung des Herausgebers wieder. Sie enthalten Erkenntnisse aus Medizin und Forschung, die einem steten Wandel unterliegen. Für die Aktualität und die Inhalte der Texte sind die Autoren verantwortlich.