Zurück

 

 

Aktuelle
Gesundheitsnachrichten

Nierentumor, Aktuelles Wissen

HPV-Impfung: Pro & Contra?

Lebensenergie durch richtiges Atmen

José Carreras Stiftung: Leukämie muss heilbar werden

Gewürze für gesundes Leben

Heilpilze bei Krebs

Hoch-intensiver fokussierter Ultraschall gegen Krebs

 

EDITORIAL

Liebe Leserin, lieber Leser!

Bitte erinnern Sie sich mit mir an die phantastischen Fotos, die uns Alexander Gerst aus der Raumstation von unserem blauen Planeten geschickt hat. Unsere Erde in ihrer majestätischen Größe, in ihrer vollkommenen Schönheit – auch in ihrer Verletzbarkeit, so haben wir sie wahrgenommen.

Aber was ist los auf unserer Erde? Diese Seite reicht nicht aus, um unser weltweites Dilemma, die zerstörerischen Kräfte, den Hass, die Kämpfe, die Armut, den Hunger, das Sterben zu beschreiben. Keiner mag die täglichen schlechten Meldungen mehr sehen und hören. Aber sie sind menschengemachte Realität.

Was kann ich Ihnen also noch für das neue Jahr 2019 wünschen? Besinnen wir uns auf das, was uns wertvoll ist – begreifen wir unser Leben als einen Zeitraum, den jeder für sich, für sein Umfeld, sein Land und nicht zuletzt für unsere Welt, gestalten kann.

In diesem Sinn wünsche ich Ihnen Liebe, Gesundheit und Kraft für ein selbstbestimmtes Leben, Zufriedenheit mit Erreichtem, auch neue Ziele – und Glück in den seltenen Momenten jeden Lebens.

Bleiben Sie so gesund wie möglich.

Ihre Dagmar Moldenhauer, Redaktionsleiterin

 

 

INHALT

IN EIGENER SACHE

  • Mikroplastik und Krebs

THEMA HEUTE

  • Nierentumor - Diagnose und Therapie

WISSEN

  • Humane Papillomviren (HPV) 1: Vorsorge mit HPV-Impfung?
  • Humane Papillomviren (HPV) 2: HPV-Impfung für Jungen
  • Inkontinenz nach radikaler Prostatektomie

LEBENSSTIL

  • Richtig atmen – mehr Lebensenergie!

IM BLICKPUNKT

  • José Carreras Leukämie-Stiftung
  • Ismini: Ein kleines Mädchen und ihr großer Kampf

RAT & TAT

  • Gewürze für das Leben

ERFAHRUNGEN

  • Heilpilze in der Krebsbehandlung

KOLUMNE

  • Alltägliches wird zu Besonderem

NEUES WISSEN DIREKT

  • HIFU hochintensiver fokussierter Ultraschall

AKTUELLES AUS DER KREBSMEDIZIN

 

 

IN EIGENER SACHE

Mikroplastik und Krebs

Dr. med. Andreas-Hans Wasylewski

Liebe Leserin, lieber Leser,

weltweit werden pro Jahr rund 300 Millionen Tonnen Kunststoffe hergestellt (Stand 2013). Es ist davon auszugehen, dass bis zu 30 Millionen Tonnen davon pro Jahr weltweit im Meer landen – davon in Europa allein 3,4 bis 5,7 Millionen Tonnen (Quelle: Bundesumweltamt BUA). Plastik verschwindet jedoch nicht, es baut sich auch nicht ab, sondern es wird in kleine Teile zerrieben, zerkleinert: In Mikroplastik. Die mengenmäßig bedeutsamste Quelle für Mikroplastik im Meer ist die Zersetzung größerer Plastikteile – von der Plastiktüte bis zum Fischernetz. Gelangen sie ins Meer, werden diese Teile durch Wind, Wetter und Gezeiten zu sogenanntem sekundärem Mikroplastik zermahlen und zerkleinert.

Bei Mikroplastik handelt es sich um Plastik-Teilchen, die kleiner als 5 Millimeter sind. Viele Meerestiere verwechseln deshalb Mikroplastikteilchen mit Nahrung. Im nordwestlichen Mittelmeer findet man heute schon bei 50% Planktontierchen Mikroplastik. Fische, Muscheln oder Garnelen nehmen diese Partikel direkt oder als Plastik in Plankton auf.

An einigen Stellen in den Weltmeeren gibt es bereits sechzigmal so viel Plastik wie Plankton. Sogar in der Arktis und in der Antarktis und auch in der Tiefsee hat man schon Mikroplastikteilchen gefunden.

Mikroplastik wird auch in Form kleinster Plastikpartikel in Kosmetik- und Reinigungsmittel wie Peelings oder Scheuermilch zugegeben. Auch beim Waschen von Bekleidung, die aus Kunststoffen gefertigt wird, lösen sich kleine Partikel, die dann über das Abwasser ins Meer schwimmen. Häufig verwendete Kunststoffe, wie Polyethylen, zeichnen sich durch geringe Dichte aus und treiben an der Meeresoberfläche. So sind sie automatisch eine Gefahr für Seevögel und Meerestiere.

Laut Umweltschutzorganisationen sterben jährlich bis zu 1 Million Seevögel und 100.000 Meeressäuger durch den Konsum unserer weggeworfenen Kunststoffe.

Mikroplastik hat auch fatale Auswirkungen für uns Menschen. Denn schon heute ist Mikroplastik auch im Trinkwasser oder in Lebensmitteln wie z.B. Honig und Milch zu finden. Aber auch andere Agrarprodukte sind schon mit Nanoteilchen von Kunststoffen belastet, die die Blut-Hirn-Schranke überwinden und sogar über die Plazenta in den Blutkreislauf von Embryonen gelangen können.

Professor Ted Henry von der Heriot-Watt University in Edinburgh hat untersucht, wie diese Partikel in die menschliche Nahrung kommen. Unsere Mahlzeiten sind sehr stark von diesen Partikeln verseucht. Aber nur ein Bruchteil der Partikel stammt aus dem Meer, den Muscheln oder dem Fisch auf dem Speisezettel. Die Nahrungsmittel nehmen die Partikel vor allem durch den Plastikstaub in der Luft auf.

Forscher der Medizinischen Universität Wien und des Umweltbundesamtes des Landes haben acht Probanden aus verschiedenen Kontinenten ein Ernährungstagebuch führen lassen. Alle ernährten sich auch von verpackten Lebensmitteln oder tranken aus PET-Flaschen. Sie aßen auch Fisch; Vegetarier gab es nicht unter ihnen. Nach einer Woche wurden Darmproben entnommen. Bei allen wurde Mikroplastik gefunden.

Bei Tieren wurde Mikroplastik nicht nur im Darm, sondern auch im Blut, Lymphe und Leber nachgewiesen. Größere Studien sollen folgen, um die genauen Zusammenhänge zwischen Ernährung und den Auswirkungen von Mikroplastik auf den menschlichen Körper zu erforschen.

Gleichzeitig warnen die Wissenschaftler vor den gravierenden Gesundheitsschäden, die durch Chemikalien in den Kunststoffen verursacht werden können. Dazu zählen z.B.: Hormonstörung, Allergien, Übergewicht, Unfruchtbarkeit, Fehlbildungen und vor allem verschiedene Arten von Krebs speziell in den Verdauungsorganen.

Es handelt sich um folgende Chemikalien: Polyvinylchlorid (PVC), das aus Weichmachern (Phthalaten) besteht, Polycarbonat (PC), Bisphenol A (BPA), bromierte Flammschutzmittel. Mikroplastik saugt zudem Schadstoffe wie ein Schwamm auf, z.B. Weichmacher, das als krebserregend geltende PCB oder das Insektizid DDT. Das bedeutet, wir essen nicht nur Plastik, sondern wir nehmen auch vermehrt weitere Schadstoffe auf.

Die Politik hat dieses Problem bisher vernachlässigt. Deshalb ist es notwendig, binnen kurzer Zeit für Regelungen einzutreten, die auch ein Verbot von Mikroplastik in Putzmittel und Kosmetikprodukten einschließt.

Ihr Dr. med. Andreas Wasylewski

 

 

AKTUELLES AUS DER KREBSMEDIZIN

Krebsdiagnose mit Künstlicher Intelligenz (KI)

KI – Künstliche Intelligenz – verändert unser Leben.

Allerdings ist für die meisten die KI noch ein Thema, das mit Halbwissen, Hoffnungen und auch Angst besetzt ist. Aber es ist kein Zukunftsthema mehr. in vielen Bereichen des Lebens hat Künstliche Intelligenz bereits Einzug gehalten. Denken wir z.B. an Gesichtserkennung oder auch selbstfahrende Autos. Zukunftsprognosen scheinen heute noch unglaublich. Die KI ist ein weites Feld, das in viele Spezialdisziplinen zerfällt und dessen Ränder noch unscharf definiert sind. Es gibt Länder, die KI bereits in vielen Bereichen aktiv nutzen. Dazu schauen wir nach China; dieses Land gehört mit zu den Vorreitern der KI.

Aber wie funktioniert KI in der Krebsdiagnose? Ein Beispiel: Im Atem finden sich Stoffe, die auf Krankheiten, unter anderem Krebs, hindeuten. Erste Erfahrungen machten Wissenschaftler mit der Wahrnehmung der Hundenase. Die menschliche Nase ist dagegen nicht fein genug, um Krankheiten wahrzunehmen. Jetzt kommt KI – Künstliche Intelligenz zum Einsatz. Sensoren übernehmen die Aufgabe und die Auswertung der Daten übernimmt ein KI-System mittels Sensoren.

Der menschliche Atem enthält Substanzen, die auf eine Krankheit hindeuten. Britische Forscher haben ein System entwickelt, das den Atem analysiert und somit Krankheiten diagnostizieren kann. Im Atem treten mehrere Hundert Verbindungen auf. Erfasst wird der Atem des Probanden per Gas-Chromatographie mit Massenspektrometrie- Kopplung (GC–MS).

Aus den Daten wird dann eine 3D-Grafik erstellt, wobei die Spitzen das Vorhandensein bestimmter Moleküle anzeigen. Manche ermöglichen es, Krankheiten zu erkennen, darunter auch einige Krebsarten.

Die Auswertung einer solchen Grafik ist jedoch kompliziert und dauert deshalb oft mehrere Stunden. Forscher der Universität von Loughborough in Mittelengland haben deshalb ein System mit Künstlicher Intelligenz (KI) entwickelt, das diese Aufgabe übernimmt. Sie stellten das Projekt 2018 auf der International Joint Conference on Neural Networks in Rio de Janeiro vor. Wie arbeitet die KI? Ausgangspunkt waren Atemproben von Krebspatienten. Im Edinburgh Cancer Centre fand man einen Weg, zwei Teams aus Chemikern und Informatikern analysierten die Proben.

Mit den Daten wurde dann ein Convolutional Neural Network gefüttert und darauf trainiert. Dazu setzten die Forscher Tesla-Grafikprozessoren von Nvidia sowie Deep Learning Frameworks wie cuDNN und Tensorflow ein. Mit jeder Atemprobe wurde das KI-System besser, bis es die Muster bestimmter Stoffverbindungen erkennen konnte.

In der ersten Studie habe der Schwerpunkt auf der Erkennung von Aldehyden gelegen, die mit Stress und Krankheiten in Verbindung gebracht werden, schreibt Andrea Soltoggio, einer der Entwickler. „Computer, die mit dieser Technik ausgestattet sind, analysierten in Minuten selbstständig eine Atemprobe, für die ein menschlicher Experte Stunden brauchte“, so Soltoggio. Dabei sei das KI-System auch noch zuverlässiger.

Da das System lernfähig sei und mit jeder Analyse besser werde, sei es nicht auf die Untersuchung des menschlichen Atems beschränkt. Es könne auch darauf trainiert werden, andere flüchtige Verbindungen zu erkennen, die beispielsweise für die Forensik oder die Umweltforschung relevant seien.

(Quelle: News Algorhithmenetik, Bertelsmann)

 

 

THEMA HEUTE

Nierentumor

Aktuelles Wissen zu Diagnose und Therapie

Prof. Dr. med. Christian Wülfing, Chefarzt Urologie, Asklepiosklinik Hamburg Altona

In Deutschland erkranken jedes Jahr ca. 16.000 Menschen an einem Nierentumor. Männer sind mit 10.750 Erstdiagnosen häufiger betroffen als Frauen, von denen pro Jahr 6.500 erkranken. Der Nierentumor ist damit die neunthäufigste Krebserkrankung in Europa. Am häufigsten betrifft die Nierentumorerkrankung Menschen zwischen 60 und 70 Jahren.

Aufgrund des demographischen Wandels ist daher in Deutschland in den nächsten Jahren mit steigenden Zahlen der Nierentumor-Diagnosen zu rechnen.

Während ca. 70% der betroffenen Menschen heutzutage an einem organbegrenzten Nierentumor erkranken, liegt in 30% schon ein lokal fortgeschrittenes oder metastasiertes Tumorstadium vor.

Bei der Therapie des Nierentumors wird daher zwischen lokalen, zumeist operativen Therapien des Nierentumors selbst und einer systemischen medikamentösen Therapie der Metastasen unterschieden.

Risikofaktoren, Früherkennung und Diagnostik des Nierentumors

Für die Nierentumorerkrankung sind keine spezifischen Risikofaktoren bekannt. Als Risikofaktoren gelten wie auch bei anderen Tumoren: Rauchen, Übergewicht und erhöhter Blutdruck. Die Diagnose eines Nierentumors wird in den letzten Jahren immer häufiger per Zufall und zumeist auch in sehr frühen Stadien gestellt.

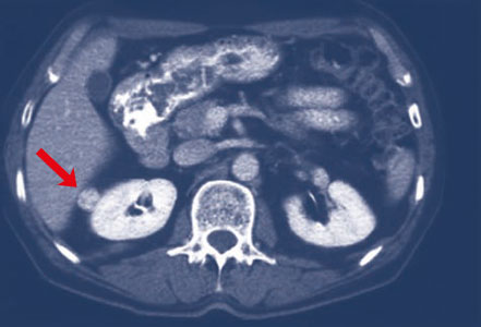
Moderne Ultraschallgeräte und Schnittbildverfahren (Computertomographie (CT) und Magnetresonanztomographie (MRT)) haben dazu geführt, dass die Nierentumoren bei Diagnose häufig noch sehr klein (< 2 cm) sind.

In diesen frühen Stadien kann eine lokale Therapie, wie z.B. eine Operation, eine sehr hohe Heilungsquote erzielen. Ebenso ist es in frühen Tumorstadien sehr gut möglich, eine organerhaltende Therapie durchzuführen.

Kleiner Nierentumor an der rechten Seite

Pathologie des Nierentumors

Nierentumoren sind in der großen Mehrheit maligne (bösartig), d.h. sie haben das Potenzial, die Niere bei starkem Größenwachstum in ihrer Funktion zu beeinträchtigen.

Ebenso können sie zu Metastasen, typischerweise in Lymphknoten, Lunge, Leber oder Knochen führen, und damit eine existentielle Bedrohung des menschlichen Organismus mit sich bringen.

In früheren Jahren ging man davon aus, dass ca. 90% der Nierentumore einem bösartigen Nierenzellkarzinom entsprechen. In der pathologischen Diagnose handelt es sich dabei mikroskopisch zumeist um den Subtyp des hellzelligen Nierenzellkarzinoms, der 90% aller Nierenzellkarzinome ausmacht. Andere Subtypen sind die papillären, chromophoben und die onkozytären Nierenzellkarzinome. Heute ist bekannt, dass der Anteil der gutartigen Nierentumoren bei kleineren Tumoren (unter 2 cm) bis zu 30% beträgt. Zu den gutartigen Typen der Nierentumore gehören z.B. das Angiomylipom und das Onkozytom.

Lokale Therapien des Nierentumors

Die erste Nierenentfernung mittels Operation wurde im Jahr 1869 durch Gustav Simon vorgenommen. Über mehr als 100 Jahre hat sich seitdem die radikale Nephrektomie etabliert und wurde zum Standardverfahren bei einer Nierentumorerkrankung. Die Operation wurde typischerweise mit einem offenen Schnitt durchgeführt. In den letzten 20 Jahren ist es zu einer signifikanten Weiterentwicklung der Nierentumorchirurgie gekommen.

Die wesentlichen Entwicklungen umfassen hierbei die organerhaltende Nierenteilresektion und die minimal-invasiven OP-Techniken.

Der Paradigmenwechsel, weg von der radikalen, vollständigen Entfernung einer Niere, hin zu der nierenerhaltenden Tumorentfernung (sogenannte partielle Nephrektomie, oder Nierenteilresektion) beruht auf mehreren Entwicklungen. Zum einen sind aufgrund o.g. Entwicklungen im Bereich der Diagnostik die Nierentumoren in den letzten Jahren bei Diagnosestellung immer kleiner geworden. Die Entfernung einer gesamten Niere für sehr kleine Tumoren erscheint daher nicht mehr adäquat. Darüber hinaus ist bekannt, dass der Anteil der gutartigen Tumoren bei einer Tumorgrösse < 2 cm ansteigt und bis zu 30% betragen kann. Eine vollständige Nierenentfernung wäre in diesen Fällen eindeutig eine Übertherapie.

Schlussendlich hat eine Nierenentfernung auch internistische Implikationen. So wurde in mehreren Studien festgestellt, dass die Nierenfunktion des Gesamtkörpers langfristig viel besser erhalten bleibt, wenn eine Niere erhalten wird, als wenn nur noch eine Niere vorhanden ist.

Da eine Verschlechterung der Nierenfunktion langfristig aber ein deutlich erhöhtes Risiko für Herz-Kreislauf-Erkrankungen, u.U. auch mit tödlichem Ausgang, mit sich bringt, wird auch hieraus ein starkes Argument für ein nierenerhaltendes OP-Verfahren beim Nierentumor abgeleitet.

Die minimal-invasiven Verfahren haben in der Chirurgie grundsätzlich sehr stark an Bedeutung gewonnen. Heutzutage werden laparoskopische Operationsverfahren, die auch als „Schlüssellochverfahren“ bezeichnet werden, an vielen spezialisierten Zentren durchgeführt. Hierbei werden über 4-5 kleine Mini-Inzisionen eine hochauflösende Kamera und Operationsinstrumente eingebracht, mit denen entweder eine vollständige Nierenentfernung (laparoskopische Nephrektomie) oder aber auch eine nierenerhaltende partielle Nephrektomie durchgeführt wird.

In der Literatur sind diese minimal-invasiven Verfahren in der Hand von spezialisierten Urologen bezüglich der erfolgreichen Tumorentfernung gleichwertig wie die offenen Verfahren, bestechen aber über ihren schonenderen Charakter mit kleineren Narben, weniger Schmerzen und kürzeren stationären Aufenthalten für die Patienten.

Minimal-invasive Nierenoperation

Kosmetisches Ergebnis nach minimalinvasiver Nierenoperation

Tumornachsorge

Liegt das abschließende Ergebnis des Pathologen vor, kann eine Risikoeinstufung des Tumors erfolgen. Nach Empfehlungen der deutschen S3-Leitlinie wird hier nach sogenannten „low-, intermediate- und high-risk-Tumoren“ unterschieden. Für diese unterschiedlichen Risikogruppen werden im Rahmen der für 5-10 Jahre empfohlenen Nachsorgeintervalle, verschiedene Untersuchungen (Ultraschall, CT, MRT) in unterschiedlicher Frequenz empfohlen. Diese Leitlinienempfehlungen sind sehr gut geeignet, einen verlässlichen Algorithmus bei der Tumornachsorge anzuwenden, der zum Ziel hat, eventuell auftretende Tumorrezidive sicher und frühzeitig zu erkennen, ohne aber allzu häufig Untersuchungen durchführen zu müssen.

Medikamentöse Tumortherapie

Sollten bei einem Nierentumor bereits Metastasen zum Zeitpunkt der Diagnose vorliegen, oder entstehen die Metastasen im Verlauf nach einer Nierentumoroperation, ist es in der Regel notwendig, die betroffenen Patienten über eine medikamentöse Tumortherapie zu beraten.

Vor mittlerweile mehr als 10 Jahren wurden die ersten gezielten Medikamente (sogenannte „Targeted Therapy“) entwickelt, die im Sinne eines „Schlüssel-Schloss-Prinzips“ bestimmte Signalwege des Tumorweges blockieren und auf diese Weise – anders als eine konventionelle Chemotherapie – sehr gezielt das Tumorwachstum unterbrechen können. Mittlerweile sind in Deutschland elf unterschiedliche Medikamente für die Therapie von metastasierten Nierentumoren zugelassen. Sie unterscheiden sich nach der Wirkstoffgruppe.

Man unterscheidet hierbei:
- Tyrosinkinaseinhibitoren (TKIs)
- VEGF-Antikörper
- mTOR-Inhibitoren
- Immun-Checkpoint-Inhibitoren

Ebenso wird in metastasierten Tumorstadien ein Prognosescore angewandt (IMDC-Score), der abhängig vom Metastasenmuster und einigen Laborparametern ein „low-, intermediate- und high-risk Profil“ definiert.

Abhängig vom Risikoscore wird dem von Metastasen betroffenen Patienten zunächst eine Erstlinientherapie („First-line Therapie“) mit einem der für diese Situation zugelassenen Medikament empfohlen. Aktuell werden für diese Situation z.B. die Wirkstoffe Sunitinib und Pazopanib empfohlen. Seit 2018 ist auch Cabozantinib zugelassen. Auch die Kombination der beiden Checkpoint-Inhibitoren Nivolumab und Ipilimumab werden in Kürze für die Erstlinien-Situation zugelassen. Es ist zu hoffen, dass die Metastasen unter der Therapie rückläufig sind oder zumindest in ein stabiles Stadium überführt werden und dieser Therapieerfolg möglichst lange anhält. Typischerweise wird daher alle 2-3 Monate eine Bildgebung mittels CT oder MRT durchgeführt, um die Metastasen im Wachstum beurteilen zu können.

Im Falle eines Fortschreitens der Metastasen unter der Erstlinienbehandlung muss auf eine Zweitlinienbehandlung gewechselt werden. Auch hier stehen von den elf Medikamenten mehrere als Auswahl zur Verfügung. Typischerweise werden die o.g. Erstlinienmedikamente in einer Therapiesequenz aneinandergereiht. Durch diese Aneinanderreihung von verschiedenen Medikamenten in der Erst-, Zweit-, Dritt- und ggf. auch Viertlinienbehandlung können jeweils gute Zeitintervalle erreicht werden, in denen der Patient auf die Therapie anspricht. Auf diese Weise kann das Überleben der Patienten trotz der Metastasierung verlängert werden.

Die medikamentöse Therapie des metastasierten Nierentumorpatienten hat zwar bis heute noch keine Heilung, sicher aber eine deutliche Verlängerung des Überlebens durch die Auswahl gezielter Medikamente unter Erhalt einer zumeist guten Lebensqualität erreichen können.

Weitere Informationen:
Prof. Dr. med. Christian Wülfing, Chefarzt der Abteilung für Urologie,
Asklepios Klinik Altona, Paul-Ehrlich-Str. 1, 22763 Hamburg
Tel.: (040) 18 18 81 1660, Fax: (040) 18 18 81 4910, www.asklepios.com/altona

 

 

AKTUELLES AUS DER KREBSMEDIZIN

Veränderungen der Haut bei und nach Krebstherapien

Hautveränderungen nach einer Strahlentherapie

In dem bestrahlten Hautbereich können sich verschiedene schwere Hautveränderungen zeigen: Ausschlag, rote Flecken, Jucken, Verfärbungen, Nässen oder auch Blasenbildung sind bekannt.

Was ist zu tun? Die Haut sollte nur mit leicht warmem Wasser vorsichtig gereinigt werden, evtl. kann eine neutrale, milde Seife verwendet werden. Für die Pflege hat sich Babyöl bewährt. Der Haut tut frische Luft besonders gut – aber bitte keine direkte Sonneneinstrahlung. Wenn die Haut stark juckt, kann ein leicht warmes Bad mit einem Zusatz von Maismehl, Hafermehl, Sojamehl oder Natron hefen. Aloevera-Gel kann ebenso Linderung bringen.

Ein Tipp: Trockene Haut sollte mit trockenen Mitteln, nässende Haut mit feuchten Mitteln behandelt werden.

Wenn sich die Haut an Handinnenflächen und Fußsohlen schält

Das ist vermutlich ein Hand-Fuß-Syndrom. Entzündliche Hautveränderungen können Auslöser sein. Es tritt meist infolge einer Chemotherapie auf. Häufig finden sich zusätzlich ein Abschuppen der Haut, Taubheit, Kribbeln und eine Überempfindlichkeit für Wärme.

Bleibt das Hand-Fuß-Syndrom unbehandelt, können sich schwere Funktionseinschränkungen einstellen, die zu einer Beeinträchtigung der Lebensqualität führen können.

Was ist zu tun? Der behandelnde Arzt wird in den meisten Fällen eine Dosisreduktion der Chemotherapie empfehlen, in schweren Fällen auch ein Absetzen der Therapie.

Eine begleitende lokale Behandlung mit Feuchtigkeitslotionen, Cremes und harnstoffhaltigen Salben kann Linderung bringen.

Gute Erfahrungen gibt es auch mit der Einnahme von β-Carotin, Vitamin D, E und Hanföl sowie der lokalen Anwendung von Hanföl.

Vor allem das 2-mal tägliche Eincremen der Hände und Füße mit speziellen Hanfölzubereitungen ist eine einfache und sehr effektive Maßnahme.

(Quellen: GfBK; Koula-Jenik H/DZO 2010)

 

 

WISSEN

Humane Papillomviren (HPV) 1

Vorsorge mit HPV-Impfung – noch immer PRO & CONTRA?

Kaum eine Impfung war und ist so umstritten, wie die HPV-Impfung, die vor einigen HP-Viren schützen soll: Gegen Viren, die zu Zellveränderungen und somit zur Entstehung von Tumoren des Gebärmutterhalses, der Schamlippen und Scheide, des Penis, des Darmausganges sowie des Mund- und Rachenraums beitragen können.

2007 wurden die beiden HPV-Impfstoffe Gardasil und Cervarix in Deutschland eingeführt. Einige Veröffentlichungen priesen die HPV-Impfung als Impfung gegen Krebs. Eine Aussage, die so nicht haltbar war, denn schützen soll die HPV-Impfung vor einigen besonders aggressiven Virustypen, die zu Zellveränderungen führen.

So groß der Wirbel um die HPV-Impfung war/ist, so groß bleibt auch heute noch die Verunsicherung bei Frauen und Eltern von Mädchen und jetzt auch von Jungen im impffähigen Alter. Einige erste Impfungen vor Jahren zeigten besorgniserregende Nebenwirkungen mit bedrohlichem Charakter. (z.B.: autoimmune, allergische, neurologische Nebenwirkungen).

Die Nachhaltigkeit mit Fragen zur präventiven Wirksamkeit regelmäßiger Vorsorgeuntersuchungen im Kontext zur Impfung, der Dauer der Wirksamkeit der Impfung sowie die hohen Kosten der Impfung für das Gesundheitswesen, wurden öffentlich diskutiert. Impfgegner und Befürworter hatten sich positioniert.

Die Kampagnen dieser Zeit haben dazu beigetragen, dass in Deutschland nicht einmal jedes zweite Mädchen geimpft ist.

In Deutschland war und ist diese Verunsicherung der Bevölkerung offensichtlich noch immer vorhanden. Auch in Ländern wie Dänemark führte das zu einem Rückgang von fast 90% auf fast Null. In Indien wurde das Impfprogramm zeitweise sogar komplett eingestellt. Andere Länder reagierten ähnlich.

Seit 2007 vergingen Jahre, bis neue Studiendaten zur HPV-Impfung vorgelegt wurden. Sie zeigen heute exzellente Sicherheits- und Wirksamkeitsdaten.

Ein Jahrzehnt nach Einführung der HPV-Impfstoffe in Deutschland bestand kein Zweifel mehr an der neuen Impfempfehlung. Fast ein Jahrzehnt später änderte sich auch international die Situation und immer mehr Länder traten für die Impfung ein. Interessant bleiben die Wirksamkeitsdaten zur Impfung, die wissenschaftlich erhoben werden müssen.

Wer sich heute sachkundig und verantwortungsvoll entscheiden will, dem stehen umfangreiche Publikationen zur Verfügung. Nutzen Sie dazu die Informationen der Deutschen Gesellschaft für Urologie e.V. (DGU) und auch das Internet.

Grundsätzlich gilt: In Deutschland besteht keine Impfpflicht!

Hier die Position des Robert-Koch-Instituts vom Juni 2018:
die STIKO empfiehlt die Impfung gegen HPV für Jungen im Alter von 9 bis 14 Jahren. Eine Immunisierung sollte vor dem ersten Sexualkontakt erfolgen. Wie bei der HPV-Impfung für Mädchen sind im Alter von 9 bis 14 Jahren zwei Impfungen im Abstand von mindestens 5 Monaten notwendig. Wenn die erste HPV-Impfung im Alter von 15 Jahren oder älter verabreicht wird, sind insgesamt drei Impfungen notwendig. Eine Nachholimpfung sollte bis zum Alter von 17 Jahren erfolgen. Das Impfziel der HPV-Impfung von Mädchen und Jungen ist die Reduktion der Krankheitslast durch HPV-assoziierte Tumoren.
Veröffentlicht: Epidemiologisches Bulletin 26/2018 (PDF, 806 Kb, Datei ist barrierefrei⁄barrierearm)

Noch ein TIPP: Die ARD-Sendung: Report Mainz hat am 18.12.2018 einen Film zur HPV-Impfung gesendet. Der Film ist grundsätzlich nicht gegen das Impfen – aber für eine uneingeschränkte Informationspflicht zu Risiken und Nebenwirkungen. Sehenswert!

 

Humane Papillomviren (HPV) 2

HPV-Impfung für Jungen

Deutschlands Urologen starteten im November 2018 ihre vierte Themenwoche.

2018 klärten die Deutsche Gesellschaft für Urologie e.V. (DGU) und der Berufsverband der Deutschen Urologen e.V. (BvDU) in einer gemeinsamen bundesweiten Initiative über die HPV-Impfung für Jungen auf. Die bisherige HPV-Impfempfehlung für Mädchen aus dem Jahr 2007 der Ständigen Impfkommission (STIKO) am Robert-Koch-Institut gilt seit Juni 2018 auch für Jungen von 9 bis 17 Jahren.

Die Impfung gegen Humane Papillomviren (HPV) schützt beide Geschlechter vor Anogenitalwarzen und HPV-bedingten Krebserkrankungen und wird künftig auch für Jungen von den gesetzlichen Krankenkassen bezahlt.

„Unsere Verbände haben die HPV-Impfung für Jungen lange gefordert, um eine effektive impfmedizinische Präventionsstrategie gegen HPV-assoziierte Erkrankungen für beide Geschlechter zu ermöglichen und wollen deren erfolgreiche Implementierung mit der Themenwoche nun aktiv fördern. Um möglichst hohe Impfraten bei Mädchen und Jungen zu erzielen, ist das Engagement aller ärztlichen Berufsgruppen notwendig“, sagt DGU-Pressesprecher Prof. Dr. Christian Wülfing.

Humane Papillomviren (HPV) sind Erreger der häufigsten sexuell übertragbaren Viruserkrankungen und werden über Haut- und Schleimhautkontakt übertragen. Kondome bieten keinen ausreichenden Schutz. Einige der über 200 verschiedenen HPV-Typen verursachen bei beiden Geschlechtern gutartige, aber hoch ansteckende Warzen im Anogenitalbereich, andere sogenannte Hochrisikotypen können bösartige Zellveränderungen auslösen.

Rund 80 Prozent aller sexuell aktiven Menschen infizieren sich mindestens einmal im Leben mit HPV. Meist bleibt die Infektion unbemerkt und heilt ohne Behandlung aus. Bei einem geringen Teil der Infizierten kann das Immunsystem die Infektion nicht besiegen, sie bleibt bestehen und kann über Jahre Zellveränderungen hervorrufen, die sich über Krebsvorstufen zu Krebszellen entwickeln können. Dazu gehören Karzinome des Gebärmutterhalses, der Schamlippen und Scheide, des Penis, des Darmausgangs sowie im Mund- und Rachenraum.

Als Neunfachimpfstoff verabreicht, kann die Impfung bei beiden Geschlechtern mehr als 90% der Genitalwarzen sowie der HPV-bedingten Krebsarten und deren Vorstufen verhindern. Eine frühe Impfung erzeugt die beste Immunantwort und sollte optimalerweise vor Aufnahme sexueller Aktivitäten erfolgen. Aber auch nach ersten Sexualerfahrungen kann die Impfung noch von Nutzen sein.

„Die HPV-Impfung ist eine historische Chance zur Krebsprävention. Urologinnen und Urologen können zu einer verbesserten Impfquote beitragen und in der Jungensprechstunde zum starken Gesundheitspartner für die Jungen und damit für die nächste Männergeneration werden“, sagt BvDU-Präsident Dr. Axel Schroeder. Die Urologische Themenwoche im November und ein multimediales Informationsangebot mit Flyern, Postern, Video-Clips mit Experteninterviews unterstützten das Thema.

Mit fachinternen Fortbildungen haben Berufsverband und Fachgesellschaft in den letzten Jahren Urologinnen und Urologen für die Jungensprechstunde und die HPV-Impfung qualifiziert. Mit der Themenwoche hat die DGU zusätzlich ein interdisziplinäres Webinar auf ihrem Online-Fortbildungskanal www.urotube.de platziert, in dem HPV-Experten verschiedener Fachgruppen Aktuelles zur HPV-Impfung vermitteln.

In Deutschland ist die HPV-Impfung noch immer freiwillig. Impfgegner bekräftigen noch immer vehement ihre Positionen. Allerdings brachten Ergebnisse anderer Länder den Beweis: Mit Impfprogrammen in Schulen sowie der Jungenimpfung haben Länder wie England, Australien, Kanada oder Norwegen hohe Impfraten und den deutlichen Rückgang HPV-bedingter Erkrankungen erreicht.

Quelle und weitere Informationen:
www.urologenportal.de
www.dgu-kongress.de
www.hodencheck.de
www.jungensprechstunde.de
www.urologie-fuer-alle.de

 

 

AKTUELLES AUS DER KREBSMEDIZIN

Brustkrebs

Neue Therapieoptionen beim Mammakarzinom

Auf dem San Antonio Breast Cancer Symposium 2018 präsentierten führende Experten wichtige Daten zum Mammakarzinom und erläuterten ihre praktische Relevanz.

Im Fokus der Runde standen u.a. die Themen Eskalations- und Deeskalationsstrategien, Lebensstilfaktoren, T-DM1 in der Adjuvanz bei Patientinnen mit frühem HER2-positivem Mammakarzinom, Tumorzellen als prognostische Marker sowie die Therapie mit Nab-Paclitaxel plus Atezolizumab bei Patientinnen mit metastasiertem triple-negativem Mammakarzinom.

Das Mammakarzinom, das ist in den letzten Jahrzehnten immer klarer geworden, ist sehr früh schon eine systemische Erkrankung.

Deshalb muss man bei der Erstbehandlung meist auch mit klinisch noch nicht nachweisbaren „Mikro“-Metastasen rechnen, die über den lokoregionären Bereich hinausgehen und wohl auf eine frühzeitige versteckte Streuung von Tumorzellen aus dem Primärtumor zurückzuführen sind.

Das heißt, dass Tumorzellen in frühesten Stadien den Primärtumor verlassen und über die Blutbahn in sekundäre Organe gelangen. Dort können sie über Jahre ruhen, weshalb man sie auch als „dormant cells“ bezeichnet. Nicht klar ist nach wie vor, welche dieser gestreuten Tumorzellen (DTCs) das Potenzial besitzen, aus dem „Dormancy-Zustand“ zu Metastasen heranzuwachsen und durch welche Signale dieser Prozess ausgelöst wird. Arbeiten in Labormodellen lassen vermuten, dass Zellen, um zu manifesten Metastasen auswachsen zu können, Stammzellcharakter haben müssen.

Ein Achtungszeichen für den Onkologen!

(Quelle: DKG, Trillium-Zeitschrift)

 

 

AKTUELLES AUS DER KREBSMEDIZIN

Vulvakarzinome an den äußeren weiblichen Geschlechtsorganen

Bösartige Tumoren an Venushügel, Schamlippen, Scheidenvorhof oder der Klitoris treten inzwischen immer häufiger auf.

„Das Wissen hinsichtlich eines optimalen klinischen Managements ist jedoch wegen der früheren Seltenheit und dem daraus resultierenden Mangel an Literatur an vielen Stellen lückenhaft“, so die Gynäkologin Prof. Hampl, leitende Oberärztin an der Frauenklinik des Universitätsklinikums Düsseldorf.

Die 2016 veröffentlichte Leitlinie der Arbeitsgemeinschaft Gynäkologische Onkologie (AGO) in der Deutschen Krebsgesellschaft (DKG) und der Deutschen Gesellschaft für Gynäkologie und Geburtshilfe (DGGG) füllt diese Lücke und informiert über den aktuellen medizinischen Standard.

Neben Diagnostik und Therapie behandelt die Leitlinie auch Rehabilitation, Nachsorge und psychosoziale Aspekte sowie die Lebensqualität der Patientinnen.

Sie bietet klare und individualisierte Behandlungsempfehlungen und soll die Qualität der Therapie steigern. Sie richtet sich an alle Berufsgruppen, die Patientinnen mit Vulvakarzinom versorgen, und kann auch den Patientinnen selbst als Informationsquelle dienen, so Prof. Schnürch, ehemaliger Chefarzt der Frauenklinik am Lukaskrankenhaus Neuss, der gemeinsam mit Prof. Hampl die Arbeit an der Leitlinie koordiniert hat.

(Quelle: Diagnostik, Therapie und Nachsorge des Vulvakarzinoms und seiner Vorstufen. Leitlinie der DGGG und DKG)

 

 

AKTUELLES AUS DER KREBSMEDIZIN

Mit der Krebsdiagnose endet nicht die Sexualität

Wie sollte man sich als Therapeut dem Thema nähern?

Eine erste Gelegenheit bietet sich beim Anamnesegespräch. Hier wird der Patientin, dem Patienten eine Reihe von notwendigen Fragen gestellt. Bei allen ist es wichtig, achtsam mit den Intimgrenzen des Betroffenen umzugehen.

Fragt der Arzt/die Ärztin nach dem Stuhlgang, ist man schon nahe dran. Zum Thema Sexualität ganz wichtig: Im Behandlerteam braucht es das Bewusstsein, dass Sexualität ein Lebensthema ist und dass sie diesem Thema Zeit und Raum geben sollten.

Hier bietet sich für den Mediziner die Chance, vorsichtig auch nach der sexuellen Gesundheit zu fragen. Der Patient hat hier die Möglichkeit, auf die Frage einzugehen – oder sie auch auszuschließen.

Erfahrungsgemäß ist Sexualität so vielfältig wie die Menschheit.

Oftmals beschäftigen sich Krebsbetroffene mit konkreten Fragen zum veränderten Körperbild. Es geht auch um „Frau-Sein“, „Mann-Sein“, Partnerschaft, Körperbild, Nähe, Zärtlichkeit, sexuelle Funktionen. Es geht um die Wirkungen von Medikamenten auf die Körperfunktionen.

Welche Art von Sex kann ich noch ausüben? Was ist körperlich noch möglich? Gibt es Hilfsmittel? Sind Gleitmittel hilfreich? Also sehr praktische Sachen.

Oder auch um Fragen, wie der Partner mit dem künstlichen Darmausgang zurechtkommt. Kann ich ihm/ihr das zumuten? Häufig ziehen sich Patienten, aber auch Partner in sich zurück – aus Unfähigkeit, darüber zu sprechen, und entgegen ihrem Bedürfnis nach Nähe, Berührung und Erotik.

Das Gespräch mit Tumorpatienten zu dem Thema braucht Haltung – Grundwissen – Kommunikation des Arztes, der Ärztin.

(Quelle: Aus einem Interview mit der Schweizer Palliativexpertin und Sexualberaterin Claudia Pesenti-Salzmann /Medical Tribune)

 

 

WISSEN

Inkontinenz nach radikaler Prostatektomie

Dr. med. David Marghawal, Leitender Oberarzt, Asklepios Klinik Hamburg Altona

Das Prostatakarzinom stellt in der westlichen Welt die häufigste Krebsentität beim Mann dar. Bei etwa 80% der Patienten befindet sich die Krankheit bei Erstdiagnose in einem auf die Prostata begrenzten Stadium. Die frequenteste Therapieform bei diesen Patienten ist nach wie vor die chirurgische Entfernung der Prostata.

Trotz einem in den letzten Jahren deutlich besseren Verständnis des Kontinenzmechanismus und der intraoperativen Schonung desselben sowie einer fortschreitenden Optimierung der Operationstechnik durch z.B. Verwendung roboter-assistierter Verfahren, liegt die Inkontinenzrate in der Literatur bei 4-8%.

Dabei darf davon ausgegangen werden, dass die tatsächliche Inkontinenzrate aufgrund von zahlreichen statistisch nicht erfassten Fällen und einer teilweise ungenauen und zwischen den verschiedenen Studien variierenden Definition der Inkontinenz deutlich höher ist.

Entscheidend für die betroffenen Patienten ist, dass Belastungsinkontinenz nach radikaler Prostatektomie keinen Endzustand bedeutet. Zahlreiche Therapieoptionen stehen zur Verfügung, welche die Inkontinenz in vielen Fällen vollständig heilen oder zumindest deutlich verbessern können.

Insbesondere vor dem Hintergrund, dass Krebstherapien heutzutage nicht nur nach ihrer Effektivität bezüglich der onkologischen Sicherheit, sondern auch ihrem Einfluss auf die Lebensqualität bewertet werden, stellen die nun im folgenden beschriebenen Möglichkeiten eine gute Option dar, selbige bei inkontinenten Männern zu optimieren.

Sollte eine Belastungsinkontinenz auch 12 Monate nach einer radikalen Prostatektomie und nach Ausschöpfen sämtlicher physiotherapeutischer Maßnahmen fortbestehen, gibt es im Wesentlichen drei verschiedene operative Ansätze diese zu beheben:
Künstliche Schließmuskelsysteme, repositionierende und kompressive Bandsysteme.

Um zu gewährleisten, dass ein Patient optimal von einem dieser Verfahren profitiert, ist eine ausführliche und exakte Voruntersuchung notwendig, um das individuell perfekte System für den Einzelnen zu definieren.

Mit dem artifiziellen Sphinkter steht für betroffene Männer eine seit nunmehr 4 Jahrzehnten etablierte Therapieoption zur Verfügung, die insbesondere bei Patienten mit hochgradigem Urinverlust (>400g/24h), einer Schädigung des Sphinkters selbst und Patienten nach Bestrahlung den alternativen Therapieoptionen deutlich überlegen ist.

Abb. 1: art. Sphinkter AMS 800 mit den Komponenten Pumpsystem, Mannschette und Reservoir

Er zeigt exzellente Kontinenzraten von zum Teil über 90% und ist in der Hand des geübten Operateurs relativ einfach zu implantieren. Das Komplikationsspektrum beinhaltet neben der Infektion vor allem die Harnröhrenarrosion.

Abb. 2: Lokalisation der Sphinkterkomponenten im Körper

Repositionierende Bänder bieten sich überwiegend bei Patienten mit einer milden bis moderaten Inkontinenz an, bei denen das Schädigungsmuster im Wesentlichen den Halteapparat des Schließmuskels und nicht den Schließmuskel selbst betrifft. Sie sorgen dafür, dass der noch intakte, aber in Folge der radikalen Prostatektomie in seiner Position veränderte Schließmuskel wieder an seinen Ursprungsort „repositioniert“ wird.

Abb. 3: Repositionierendes Bandsystem

Vorteile dieses Systems liegen in der geringen Komplikationsrate sowie der Tatsache, es als Patient nicht bedienen zu müssen. Allerdings ergeben sich mit dieser Technik, verglichen mit dem künstlichen Schließmuskel, Kontinenzraten von „nur“ 70%.

Abb. 4: Lokalisation des repositionierenden Bandes im Körper

Bei den kompressiven Schlingen handelt es sich um Polster unter der Harnröhre, die über ein Zusammendrücken derselben für eine Verbesserung der Kontinenz sorgen. Sie liegen bezüglich ihrer Erfolgs- und Komplikationsraten zwischen den beiden erstgenannten Systemen und bieten häufig die Möglichkeit, dass sie justierbar sind; das heißt, dass die Füllung des Polsters durch Auffüllen oder Ablassen von Flüssigkeit variiert werden kann, um den individuell notwendigen Druck für eine möglichst gute Kontinenz individuell anzupassen.

Weil neben der Implantation auch die Nachsorge und die korrekte Bedienung des jeweiligen Systems entscheidend für den Therapieerfolg und die Vermeidung von Komplikationen ist, erscheint die Implantation in einer Klinik mit entsprechender Expertise sinnvoll. In jedem Fall stellen sie eine gute Möglichkeit dar, die durch Inkontinenz deutlich reduzierte Lebensqualität zu optimieren.

Weitere Informationen:
Dr. med. David Marghawal
Leitender Oberarzt, Asklepios Klinik Hamburg Altona,
www.asklepios.com/hamburg/altona/Abt. für Urologie
Tel. (040) 18 18-81 0

 

 

AKTUELLES AUS DER KREBSMEDIZIN

Kachexie

Mangelernährung bei Krebs

Manchen Patientinnen und Patienten wird erst im Nachhinein klar, dass sie schon Monate vor Krebs-Diagnosestellung an Gewicht verloren hatten. Im Verlauf der Erkrankung nehmen einige noch weiter Gewicht ab. Die Gründe dafür können eine anstrengende Therapie sein oder ein Fortschreiten der Erkrankung. Hat ein Patient nicht nur allgemein Gewicht verloren, sondern auch Muskelmasse abgebaut, sprechen Fachleute von Kachexie.

Die Krebstherapie setzt hier auf eine individuelle Ernährungstherapie: Was gehört dazu, was nicht? Was kann man erwarten? Experten empfehlen Krebspatienten, so lange wie möglich ganz normal zu essen. Auch dann, wenn man so nicht die notwendige Kalorienzahl schafft, sollte man eine ernährungstherapeutische Unterstützung zunächst eher als Zusatz ansehen und nicht als Ersatz für normales Essen. Kann die Ernährungssituation nicht verbessert werden, empfehlen Fachleute weitere Maßnahmen.

Künstliche Ernährung: Als künstliche Ernährung bezeichnet man die Anwendung jeder Form von zusätzlicher Nahrung. Dazu gehört die Nahrungsergänzung, die Patienten noch selbst über den Mund aufnehmen und schlucken, als orale Nahrungssupplementation. Hierzu gehört auch die enterale Ernährung, also die Ernährung über Sonden, die aber immer noch in den Verdauungstrakt führen. Und schließlich ist auch die parenterale Ernährung eine Möglichkeit, bei der der Verdauungstrakt umgangen wird und Flüssigkeit, Nährstoffe, Vitamine und weitere wichtige Stoffe direkt ins Blut gegeben werden.

Eine Ernährungstherapie setzt die Erfassung der Ernährungssituation (Ernährungsassessment) und eine entsprechende Diagnose durch Fachleute voraus. Sie übernehmen die Verschreibung aller notwendigen Produkte, deren Vorbereitung und Gabe. Um zu prüfen, wie es so ernährten Patienten geht, gehört auch die Überwachung zu einer künstlichen Ernährung, das sogenannte Monitoring. Ein Ernährungsplan bildet die Grundlage für jede Maßnahme der Ernährungstherapie.

Weitere Maßnahmen: Was tut Betroffenen gut?

Die Lust am Essen und Trinken wird von Beschwerden genauso beeinflusst wie von der Krebserkrankung selbst. Daher sollten gesundheitliche Probleme so gut wie möglich gelindert werden. Schmerzen, Übelkeit, Erbrechen, Durchfälle, Verstopfung, entzündete Mundschleimhaut oder die bei vielen Patienten auftretende Müdigkeit müssen bei der Planung einer Ernährungsunterstützung deshalb immer berücksichtigt werden.

Ärzte prüfen auch, ob sie Medikamente, die etwa Übelkeit verursachen oder die Darmtätigkeit einschränken, durch andere Substanzen ersetzen können.

Es gibt zudem leider bislang nur wenige gute und wissenschaftlich orientierte Studien zu diesen Maßnahmen. Eine Empfehlung lautet Wunschkost: Patienten mit Appetitverlust sollten essen, was ihnen schmeckt, solange dies langfristig nicht zu einer unausgewogenen Versorgung führt. Jeder sollte die Wünsche des Patienten respektieren und den Betroffenen zu nichts zwingen. Wo die Grenze zwischen gutem Zureden und Zwang verläuft, ist allerdings gar nicht so leicht herauszufinden. Hier hilft nur, mit dem Betroffenen zu sprechen und nachzufragen. Wer wenig Appetit hat, weil ihn die Krebserkrankung seelisch belastet, findet unter Umständen Unterstützung bei psychosozialen Krebsberatungsstellen oder sogenannten Psychoonkologen.

(Quelle: Mehr Informationen www.krebsinformationsdienst.de/leben/belastende-symptome/gewichtsverlust.php © 2018 Krebsinformationsdienst, Deutsches Krebsforschungszentrum, 0800–420 30 40 oder krebsinformationsdienst@dkfz.de)

 

 

LEBENSSTIL

Richtig atmen – mehr Lebensenergie!

Dagmar Moldenhauer

Jeder tut es, jeder kann es! Dennoch bieten Büchermarkt und Medien heute unzählige Hinweise und Ratschläge für das richtige und gesunde Atmen. Wir haben einige Informationen ausgewählt und hoffen, dass Sie trotz der Vielzahl an Tipps und Empfehlungen noch Wissen dazu gewinnen können.

Jeden Tag atmen wir etwa 20.000 Mal ein und wieder aus. So erhält der Körper lebenswichtigen Sauerstoff und damit Energie. Unser Leben startet mit einem kräftigen Atemzug und Schrei als Baby und endet mit dem letzten Atemzug am Ende des Lebens. Unsere Atmung ist der wichtigste Begleiter im Leben und der Vermittler zwischen körperlichen und geistigen Vorgängen.

Mit jedem Atemzug nehmen wir mindestens einen halben Liter Sauerstoff auf, bei richtig tiefer Atmung können das auch bis zu vier Liter werden. Lebenswichtiger Sauerstoff gelangt so in den Blutkreislauf und zu allen Organen. Kohlendioxid, das Abfallprodukt aus dem Stoffwechsel, wird ausgeatmet.

Die Atmung ist der fundamentalste Vorgang in unserem Körper. Atmung findet meist unbewusst und völlig von selbst statt. Doch wie viele Atemzüge machen wir uns wirklich bewusst?

Und was lässt sich beeinflussen?

Leider entwickeln wir selbst mit der Zeit immer mehr Haltungsmuster, die unsere Atmung einschränken. Auch Stress, Schmerzen und Verspannungen tragen dazu bei, dass unsere Atmung immer flacher wird.

Was passiert also in unserem Körper wenn wir atmen?

Erstens: Das parasympathische System wird aktiviert; der Sympathikus gesenkt
Zweitens: Der Körper scheidet Kohlenstoffdioxid aus
Drittens: Vermehrte Sauerstoffversorgung für die Muskulatur und das Gehirn

Der PARASYMPATHIKUS ist eine der Komponenten unseres vegetativen Nervensystems. Er ist beteiligt an der unwillkürlichen Steuerung der meisten inneren Organe und des Blutkreislaufs. Er wird auch als „Ruhenerv“ oder „Erholungsnerv“ bezeichnet.

Der SYMPATHIKUS oder das sympathische Nervensystem ist neben dem Parasympathikus und dem enterischen Nervensystem (Darmnervensystem) ein Teil des vegetativen Nervensystems.

Die meisten Organe werden von den ersten beiden Systemen gesteuert, die als Gegenspieler einander ergänzend (antagonistisch) wirken und dadurch eine äußerst feine unwillkürliche Regulation der Organtätigkeit ermöglichen.

Was genau geschieht beim Aus- und Einatmen?

Einatmen: Das Zwerchfell spannt sich an und senkt sich nach unten ab. Die äußeren Zwischenrippenmuskeln werden aktiviert. Dadurch hebt sich der Brustkorb nach oben und wird weit. Das Brustbein hebt sich und die Bauchmuskeln wölben sich nach außen. Dadurch bekommen die Lungen mehr Platz zum Ausdehnen.

Ausatmen: Das Zwerchfell entspannt sich und wölbt sich nach oben in die Brusthöhle. Die äußeren Zwischenrippenmuskeln entspannen sich. Dadurch senkt sich auch der Brustkorb ab. Die Bauchmuskeln ziehen wieder nach innen und die Lungen ziehen sich wieder zusammen.

Was können wir tun?

Eine tiefe Atmung optimiert die ständige Erneuerung und den Abtransport des schädlichen Kohlendioxids – und ist so ein ganz einfaches Mittel gegen Stress und alle seine Folgekrankheiten.

Atmen durch Nase oder Mund?

Nasenatmung und Mundatmung wirken auf vollkommen unterschiedliche physiologische Reaktionen im Körper. Bei beiden Atemarten legt die Luft verschiedene Wege in unserem Körper zurück. Sie kommt dadurch mit unterschiedlichen Nerven in Berührung und wird mit diversen Stoffen angereichert bzw. von ihnen gereinigt.

Wichtigstes Organ ist natürlich die Lunge. Denn die Lunge liefert unserem Blut Sauerstoff, der weiter an die Organe verteilt wird und es diesen überhaupt möglich macht, aktiv zu sein. Kann die Lunge nicht genug Sauerstoff ans Blut abgeben, verspürt man schnell den Drang kurzatmig durch den Mund einzuatmen. Dies führt zu einer ansteigenden Herzrate und zu einem insgesamt gesteigerten Sympathikus.

Nasenatmung erhöht Sauerstoffgehalt im Blut

Das Atmen durch die Nase führt im Vergleich zur Mundatmung zu einer um 10-15% höheren Sauerstoffsättigung des Blutes. Das bedeutet, unsere Organe können besser mit Sauerstoff versorgt werden und erhalten damit mehr Energie. Dies ist auf eine physiologische Reaktion von Stickstoffmonoxid zurückzuführen. Stickstoffmonoxid wird in den Nasennebenhöhlen gebildet und durch die Nasenatmung automatisch mit in die Lungen transportiert. Die Wissenschaft hat gezeigt, dass das Gas eine wichtige Funktion im menschlichen Körper erfüllt.

Diese Entdeckungen machten drei amerikanische Forscher, die im Jahr 1998 auch den Nobelpreis für Medizin dafür erhielten, denn vor dieser Erkenntnis galt Stickstoffmonoxid ausschliesslich als Umweltgift.

Stickstoffmonoxid weitet Blutgefässe

Wenn das Gas neben der Atemluft durch die Nase in den Körper gelangt, vergrössern sich die Lungenbläschen, was bedeutet, dass eine grössere Menge an Blut durch die Gefässe strömt und mehr Sauerstoff aufgenommen werden kann. Dies passiert jedoch nicht, wenn durch den Mund geatmet wird.

Weitere positive Wirkungen von Stickstoffmonoxid sind auch:

  • die Verbesserung der Funktion des Nervensystems
  • die Unterstützung beim Schutz und bei der Reparatur von Zellen
  • die Verbesserung des Blutkreislaufs
  • die Schmerzlinderung
  • die entzündungshemmenden Eigenschaften
  • die Verbesserung der Verdauung
  • die Verbesserung des Immunsystems
  • die Unterstützung beim Abnehmen
  • die Verbesserung der Leistungsfähigkeit
  • die Hilfe bei der Prävention von Krebs
  • die Verbesserung der Hirnfunktion

Tiefe Bauchatmung durch die Nase lässt sich einfach wieder erlernen

Wissenschaftler schlagen vor, dieses Atemtraining als Ritual ein- bis zweimal täglich zur etwa gleichen Zeit durchzuführen. Trainingsdauer sollte jeweils rund eine Viertelstunde sein. Wenn Sie dabei die Augen schließen und sich auf angenehme Gedankenreise begeben, fühlen Sie sich nachher entspannt und haben neue Kräfte gesammelt – wie nach einer Meditation.

Hier ein paar Tipps:

  • Setzen oder legen Sie sich ruhig hin.
  • Atmen Sie tief durch die Nase ein.
  • Spüren Sie, wie der Atem die Lungen füllt und sich bis in den Bauchbereich ausdehnt.
  • Atmen Sie wieder tief aus, durch den Mund oder die Nase.
  • Legen Sie eine Hand leicht auf den Bauch und kontrollieren Sie bei jedem Atemzug, wie sich die Bauchdecke leicht wölbt und dann wieder senkt.

Richtiges Atmen kann also ein persönliches Präventionsritual sein. Aber auch im Krankheitsfall hilft richtiges Atmen zu entspannen und Nebenwirkungen von Therapien „weg“ zuatmen.

(Quellen: Krebsratgeber, Zentrum der Gesundheit, Vigo/AOK, healthoventures, youtube, Roche Deutschland)

 

 

AKTUELLES AUS DER KREBSMEDIZIN

Tief durchatmen?

Luftschadstoffe gefährden unsere Gesundheit – besonders die von Kindern, älteren Menschen und Erkrankten: Ein Positionspapier der DGP

Lungenärzte fordern gesellschaftliches Umdenken in Sachen Luftverschmutzung! Studien zeigen, dass die Feinstaubbelastung durch Landwirtschaft, Industrie und Verkehr gesundheitsschädlich ist.

Insgesamt verliert die deutsche Bundesbevölkerung dadurch jährlich 600.000 Lebensjahre, wenn man das Gesundheitsrisiko auf eine einfache Zahl herunterbricht. Besonders betroffen sind ältere oder chronisch kranke Menschen sowie kleine Kinder.

Die Deutsche Gesellschaft für Pneumologie und Beatmungsmedizin (DGP) fordert Politik, Industrie und Bevölkerung zum Umdenken auf und ruft die Regierungen von Staat, Ländern und Kommunen auf, entsprechende Regularien und Anreize zur Schadstoffvermeidung zu schaffen.

Den aktuellen wissenschaftlichen Kenntnisstand zur Schadstoffbelastung und ihre Forderungen für den Weg zur gesünderen Luft hat die Fachgesellschaft in Form eines umfassenden Positionspapiers vorgestellt.

An dem Positionspapier „Atmen: Luftschadstoffe und Gesundheit“ haben neun ausgewiesene wissenschaftliche Experten für Gesundheitseffekte von Luftschadstoffen mitgearbeitet:

Dr. Josef Cyrys, Dr. Stefan Karrasch, Dr. Regina Pickford, Dr. Alexandra Schneider und Prof. Holger Schulz vom Helmholtz Zentrum München, Dr. Georg Bölke und Prof. Christian Witt von der Charité – Universitätsmedizin Berlin, Arbeitsbereich ambulante Pneumologie der Medizinischen Klinik, Prof. Claudia Hornberg, Universität Bielefeld, Fakultät für Gesundheitswissenschaften und Prof. Barbara Hoffmann, Heinrich-Heine-Universität Düsseldorf, Institut für Arbeits-, Sozial- und Umweltmedizin.

(Quelle: Das Dokument ist kostenfrei erhältlich unter: Deutsche Gesellschaft für Pneumologie und Beatmungsmedizin e.V. Robert-Koch-Platz 9, 10115 Berlin, Tel: 030-293 62 701 Email: info@pneumologie.de und abrufbar auf der DGP Homepage)

 

 

AKTUELLES AUS DER KREBSMEDIZIN

Schädigung des Gehirns durch Alkohol und Zigarettenkonsum

Studie der medizinischen Fakultät Carl Gustav Carus Dresden

Dr. Timo Siepmann, Klinik und Poliklinik für Neurologie, Universitätsklinikum Carl Gustav Carus Dresden

Für viele Menschen gehören ein Glas Wein oder Bier sowie der Zigarettenkonsum zum täglichen Ritual.

Wissenschaftlerinnen und Wissenschaftler der medizinischen Fakultät Carl Gustav Carus der TU Dresden und der Universität Oxford haben im Rahmen einer Studie nun anhand modernster Messverfahren nachgewiesen, dass selbst kleine Mengen Nikotin oder Alkohol spuren auch im Gehirn hinterlassen.

Die Ergebnisse dieser gemeinsamen, in Oxford durchgeführten Studie wurden aktuell im Journal of the American Medical Association publiziert. „In diese Studie haben wir 125 Personen im Alter zwischen 18 und 40 Jahren eingeschlossen. Wir untersuchten, ob die Studienteilnehmerinnen und -teilnehmer eine Schädigung des Gehirns aufweisen, wenn sie einen ungesunden Lebensstil führen“, erklärt PD Dr. Timo Siepmann, Neurologe am Universitätsklinikum Carl Gustav Carus an der TU Dresden und Mitglied des Forscherteams aus Oxford um Initiator Prof. Paul Leeson. Im Rahmen der wissenschaftlichen Arbeit wurden die Studienteilnehmer körperlich untersucht.

Mit Hilfe modernster Messverfahren ließen sich gewonnene Daten aus der Kernspintomographie auswerten. So konnten Rückschlüsse auf die Beschaffenheit des Blutgefäßsystems im Gehirn und der weißen Hirnsubstanz gezogen werden.

Konkret wurde untersucht, wie sich die weiße Hirnsubstanz unter bestimmten Parametern verändert, also die isolierenden Hüllen der Nervenfasern im Gehirn, die für dessen Funktionsweise essentiell sind. „Außerdem haben wir Funktion und Struktur des Gefäßsystems, also der Blutversorgung des Gehirns untersucht.“, so Siepmann.

Die Ergebnisse der Studie zeigen, dass jeder einzelne Risikofaktor, also Rauchen, Bluthochdruck oder Alkoholkonsum sowohl das Gefäßsystem als auch die weiße Substanz des Gehirns schädigen. Je ungesünder die Lebensweise, also je mehr Risikofaktoren, desto ausgeprägter stellte sich dieser Hirnschaden dar. Ob die beobachteten Hirnschäden zu einem erhöhten Risiko für einen späteren Schlaganfall führen, soll nun untersucht werden.

„Schon bei jungen Menschen scheint also jede Zigarette, jedes Glas Alkohol und eine Blutdruckerhöhung, Spuren im Gehirn zu hinterlassen. Eine frühzeitige Aufklärung und eine optimale Prävention sind Themen, die die Zukunft der Medizin bestimmen werden.“ resümiert Dr. Timo Siepmann.

(Quelle: Das Dokument ist kostenfrei erhältlich unter: Deutsche Gesellschaft für Pneumologie und Beatmungsmedizin e.V. Robert-Koch-Platz 9, 10115 Berlin, Tel: 030-293 62 701 Email: info@pneumologie.de und abrufbar auf der DGP Homepage)

 

 

IM BLICKPUNKT

„Leukämie muss heilbar werden. Immer und bei jedem.“

José Carreras Leukämie-Stiftung fördert Wissenschaftler

Wissenschaftsstiftung des Jahres 2019 (Verleihung April 2019)

„Dieses große Ziel unseres Stifters José Carreras können wir nur über Fortschritt in der medizinischen Forschung erreichen“, erklärt Dr. Gabriele Kröner, Geschäftsführender Vorstand der José Carreras Leukämie-Stiftung. Seit über zwanzig Jahren fördert die Stiftung deshalb neben Infrastruktur- und Sozialprojekten auch neue und zukunftsweisende Forschungsprojekte.

Allein im Jahr 2018 hat die José Carreras Leukämie-Stiftung neben der Finanzierung ihrer Basisprogramme weitere 4,5 Millionen Euro für Forschungsprojekte gegen Leukämie und andere Blut- und Knochenmarkserkrankungen zur Verfügung gestellt. Das Ziel der Stiftung ist es, das Leid aller Patienten zu lindern und Lebenszeit und –qualität zu schenken.

Dafür braucht es neue Erkenntnisse durch Forschung. Mit den aktuellen Forschungsprojekten hofft die Stiftung, neue Maßstäbe setzen zu können.

Bevor ein Forschungsantrag eine Förderung erhält, wird er vom Wissenschaftlichen Beirat der José Carreras Leukämie-Stiftung und ggfs. auch hinzugezogenen Fremdgutachtern eingehend nach Peer-Review-Verfahren geprüft. Der Wissenschaftliche Beirat ist ein Gremium aus renommierten Medizinern, die sich einen Namen in der hämato-onkologischen Forschung gemacht haben.

Für junge Talente engagiert sich die José Carreras Leukämie-Stiftung darüberhinaus in der Förderung des wissenschaftlichen Nachwuchses. „Mit unseren José Carreras Stipendien-Programmen, die wir in Zusammenarbeit mit den Deutschen Fachgesellschaften für Hämatologie und Medizinische Onkologie verleihen, möchten wir junge Wissenschaftlerinnen und Wissenschaftler früh für das Thema Leukämie und andere Blut- und Knochenmarkserkrankungen sensibilisieren. Bereits 146 nationale und internationale Forschungsstipendien mit einer Gesamtsumme von knapp 12 Millionen Euro wurden ausgelobt“, so Dr. Gabriele Kröner.

Dr. Gabriele Kröner, Geschäftsführender Vorstand der Stiftung, gratuliert den Stipendiaten Julia Saggau, Malte Ritter und Victor Bengt Pastor Loyola (v.l.n.r.). DGHO-Jahrestagung Wien, Oktober 2018

So konnte der Vorstand der Stiftung auf der Jahrestagung der Deutschen, Österreichischen und Schweizerischen Gesellschaften für Hämatologie und Medizinische Onkologie (DGHO) in Wien im Oktober 2018 gleich fünf junge Wissenschaftler die Stipendien-Urkunden überreichen, und zwar an Ewelina Czlonka (Georg-Speyer-Haus, Frankfurt/M.), Dr. Anne Herrmann (Universitätsklinikum Regensburg), Victor Bengt Pastor Loyola (Universitätsklinikum Freiburg), Malte Ritter (Universitätsklinikum Tübingen) und Julia Saggau (Universitätsklinikum Köln). Dr. Gabriele Kröner: „Diese vielfältige und engagierte Förderung der Forschung ist nur dank unserer Spenderinnen und Spender möglich, die uns seit über zwei Jahrzehnten nachhaltig unterstützen. Jeder Euro hilft, Leben zu retten und Leid zu lindern.“

Unsere Spendeninformation:

Online-Spenden: https://spenden.carreras-stiftung.de
Spenden-Telefonhotline: (+49) 01802 400 100 (0,06 euro aus dem deutschen Festnetz; 0,42 euro aus dem deutschen Mobilfunknetz; aus dem Ausland können die Kosten abweichend sein.)
Spendenkonto Deutsche José Carreras Leukämie-Stiftung e.V.:
Commerzbank AG München, IBAN: DE96 7008 0000 0319 9666 01; BIC: DRESDEFF700

 

Ismini: Ein kleines Mädchen und ihr großer Kampf

José Carreras an der Seite von Ismini

Herr Carreras mit Ismini, Uniklinikum Frankfurt, November 2017

Zauberhaftes Lächeln, keine Haare – Ismini freut sich über jeden Besucher, der die Schleuse mit den Glastüren betritt und dort die Schutzkleidung anzieht.

Seit Wochen liegt die Elfjährige hermetisch von der Außenwelt abgeschirmt im Isolierzimmer der Transplantationseinheit im Johann Wolfgang Goethe-Universitätsklinikum Frankfurt. Ismini hat CML, Chronisch Myeloische Leukämie.

Alle bisherigen Versuche, die Leukämie mit Chemotherapien zu bekämpfen, sind gescheitert. Das Ärzteteam um Prof. Peter Bader sah deshalb nur noch einen Ausweg: Eine Stammzell-Transplantation.

Rückblende: Als Kind liebte es Ismini, sich zu bewegen und Sport zu machen. Besonders gerne mochte sie Radtouren. „Im Sommer 2015, Ismini war damals acht Jahre alt, änderte sich plötzlich alles“, erinnert sich Mutter Heike. „Unsere Tochter wurde schnell müde, ihr wurde laufend übel und sie litt unter heftigen Rückenschmerzen.“ Nach einem Bluttest beim Kinderarzt wurde Ismini sofort auf die Krebsstation der Uniklinik Frankfurt verlegt, wo sich der Verdacht leider bestätigte. Ismini hat Leukämie.

„Das war die schlimmste Nachricht in unserem Leben. In der ersten Woche musste sich die Kleine nur übergeben und nahm 11 Kilogramm ab.“ erzählt die Mutter von dieser schwierigen Zeit.

Die Ärzte rieten zur Chemotherapie. Und Ismini versprach zu kämpfen: „Ich werde es schaffen, egal wie schlimm es wird. Ich will leben.“ Besonders eine Pilzinfektion (Mukositis) machte dem Mädchen zu schaffen. Ihr ganzer Mund war entzündet, selbst das Wassertrinken wurde zur Qual.

Endlich, eineinhalb Jahre später, dann der erste Lichtblick: Die Chemotherapie hatte angeschlagen und Ismini wurde in die Erhaltungstherapie überwiesen. Ein halbes Jahr später hatten die Ärzte die schönste Nachricht seit langem: Isminis Körper war krebsfrei!

Doch nur ein paar Monate später folgte die Ernüchterung. Der Krebs kam zurück. Die Ärzte entschieden für Ismini eine Stammzelltransplantation. „Mami, wir schaffen das. Ich gebe nicht auf“, versprach Ismini ihrer Mutter. Zum Glück gab es in der Datenbank gleich zwei passende Spender.

Am 8. November 2017 folgte der Eingriff, und Ismini hielt Wort: Sie kämpfte um ihr Leben – zunächst mit Erfolg. José Carreras besuchte das Mädchen in dieser Zeit und sprach ihr Mut zu. Sechs Wochen nach der Transplantation durfte das Mädchen nach Hause.

Doch der Traum von einem normalen Leben mit Schule, Freunden und Freizeit währte erneut nur kurz. Nach einem erneuten Rückfall wurde Ismini im Sommer 2018 wieder in die Klinik eingewiesen. Dort wird sie derzeit wieder von den Ärzten behandelt. Kämpfen wird sie auch dieses Mal. Denn: Aufgeben ist keine Option. Ismini hat sehr viele Pläne und die José Carreras Leukämie-Stiftung wird sie darin unterstützen. Sie wünscht sich ein Autogramm von ihrem Lieblingskünstler und vielleicht lässt sich eines Tages sogar ein meet & greet daraus machen.

Wir wünschen Ismini in ihrem Kampf ganz viel Erfolg! (Anmerkung der Red.)

 

 

AKTUELLES AUS DER KREBSMEDIZIN

Nebenwirkungen bei Krebstherapien:

Wenn die Haare ausfallen

Die sichtbaren Veränderungen der Krebstherapien werden von den Patientinnen häufig als stigmatisierend empfunden. Das Selbstwertgefühl leidet und die Patienten sind unglücklich darüber. Sie fühlen sich unweiblich, weniger attraktiv, verletzlich und entblößt. Haare sind ein besonders sensibles Gebiet der Erkrankung. Diese Gefühle sind normal und verständlich und es kann einige Zeit dauern, bis sich betroffene Frauen etwas daran gewöhnt haben. Sich schon vorher mit der Möglichkeit des Haarverlustes zu beschäftigen, kann es unter Umständen weniger schwer machen. Bei einer Chemotherapie werden die Haarwurzelzellen häufig durch Zytostatika geschädigt. In der Folge fallen bei vielen Betroffenen daher vorübergehend sämtliche Haare aus.

Dagegen gibt es bis heute kein Wundermittel. Jede betroffene Frau hat Anspruch auf eine Perücke. Die Kasse trägt die Kosten.

Nach Abschluss der Therapie und mit dem Abklingen der Wirkung der aggressiven Medikamente können sich die Haarwurzelzellen wieder erholen. Das neue Haarwachstum kann dann von Betroffenen gefördert werden.

Neben Geduld können auch natürliche Verfahren, wie z.B. eine Aktivierung der Ausscheidungsorgane das Wachstum der Haare begünstigen. Einfach und schon während Chemotherapie zu integrierende Maßnahmen sind das Trinken von Molke und eine Ernährung, die reich an Omega-3-Fettsäuren (wie z.B. Fisch, Leinsamen, Leinöl, Hanföl) ist.

Für die Haarpflege sind sanfte und schadstofffreie Shampoos aus der Palette der Naturkosmetik empfehlenswert.

(Quelle: Deutsches Krebsforschungszentrum)

 

 

AKTUELLES AUS DER KREBSMEDIZIN

Obstipation

Wenn sie unter Verstopfung leiden

Infolge von Schmerzmedikamenten oder Mitteln gegen das Brechen, kommt es auch zur Verstopfung. Oft können dagegen einfache Hausmittel helfen. Ein Tipp: Abends zwei Backpflaumen in einem Glas Wasser einweichen, diese am Morgen essen und den Saft trinken.

Ein Glas lauwarmes Wasser, nüchtern am Morgen getrunken, regt ebenso die Verdauung an. Bitte denken Sie auch daran, täglich ausreichend zu trinken (2–2,5 l), eventuell ergänzt mit Flohsamenschalen.

Eine Schilddrüsenunterfunktion und auch Magnesiummangel können eine Verstopfung noch verstärken. Hier ist ein Arztgespräch angesagt. Sie können Ihren Arzt auch bitten, eine entsprechende Blutspiegelbestimmung vorzunehmen. Wenn die Beschwerden nach der Chemotherapie oder Strahlenbehandlung des Bauches fortbestehen, kann eine Darmsanierung empfehlenswert sein.

Noch ein paar Tipps: Ernährung bei Verstopfung/Obstipation

  • Ballaststoffe und Bewegung bringen den Darm wieder in Schwung!
  • Empfehlenswert bei Beschwerden mit Darmträgheit sind etwa 35 Gramm Ballaststoffe täglich. Das heißt: Genügend Vollkornprodukte, Gemüse und Obst gehören auf den Speiseplan. Stellen Sie aber nicht ganz abrupt von wenig auf viele Ballaststoffe um.
  • Tagesbeispiel: 2 Scheiben Vollkornbrot, 3 Kartoffeln, 1 ungeschälter Apfel, 1 ungeschälte Birne, circa 200 Gramm Brokkoli und 1 kleiner Tomatensalat.
  • Als besonders ballaststoffreich gelten Lebensmittel mit mehr als 5 Gramm Ballaststoffen pro 100 Gramm, dazu zählen: Haferflocken, Dinkelflocken, Pumpernickel, Grahambrot, Roggenbrot, Amarant, Kleie, Früchtebrot, Popcorn (am besten ungesüßt), Artischocken, Schwarzwurzeln, Topinambur, Trockenfrüchte (v. a. Pflaumen, Aprikosen), Hülsenfrüchte (Bohnen, Linsen, Erbsen), Nüsse (Macadamia, Erd-, Pekan-, Haselnüsse, Walnüsse) und Samen (z. B. Chiasamen, Flohsamen).
  • Quellen können die Ballaststoffe nur, wenn ausreichend Flüssigkeit zur Verfügung steht. Darum immer wieder wichtig: trinken Sie mindestens 2,5 Liter täglich.

(Quellen: GfBK; www.ndr.de/ratgeber/gesundheit/Ernaehrung-bei-Verstopfung,obstipation)

 

 

RAT & TAT

Gewürze für das Leben

Dr. Kristin Peters

Als Gewürze werden die Bestandteile von Pflanzen für diesen Beitrag verstanden, die wir in unsere rohen wie gegarten Speisen und Getränke geben. Sie können frisch und getrocknet verwendet, im rohen Zustand verspeist oder mitgekocht werden. Ihnen allen gemeinsam ist, dass sie heilend wirken, denn sie sind nützliche Ingredienzien von Heilpflanzen. In der Tabelle sind einige von ihnen je nach Pflanzenteil geordnet.

Bestandteile von Heilpflanzen

PFLANZENTEIL GEWÜRZ
Samen Fenchel, Anis, Kümmel, Koriander, Kardamom, Dill, Kreuzkümmel (Cumin), Wacholder, Kubebenpfeffer, Tonkabohne, Senf, Muskatnuss, Piment, Macis (Samenmantel der Muskatnuss) und Pfeffer
Baumrinde Echter oder Ceylon-Zimt, indonesischer Zimt und vietnamesischer Zimt
Frucht Chili, Vanille (fermentiert) und Paprika
Narbe der Blüte Safran
Blüte Beifuß, Kapuzinerkresse, Veilchen und Lavendel
Blütenknospe Nelke
Kraut bzw. Blätter Rosmarin, Salbei, Majoran, Lorbeer, Oregano, Ysop, Thymian, Minze,
Bohnenkraut, Zitronenmelisse und Basilikum
Lauchblätter Zwiebel, Bärlauch, Schnittlauch und Wunder-Lauch
Zwiebel Knoblauch und Zwiebel
Wurzel Galgant, Ingwer, Meerrettich, Angelikawurz, Bertram, Süßholz, Kalmus
und Kurkuma
Kraut und Wurzel Petersilie und Sellerie
Kraut und Samen Dill, Koriander und Fenchel

 

Die Potenziale von Gewürzen

Der vordergründigste Verdienst von Gewürzen ist, Essen und Getränke verdaulich zu machen. Dieser Aspekt scheint in der heutigen Zeit fast gänzlich vergessen. Dabei ist diese Funktion gerade jetzt dringend notwendig. Bei jeder Nahrungszufuhr muß der Körper die Inhaltsstoffe aufschließen und den Organsystemen in einer verwertbaren Form über das Blut zuführen, damit sie uns mit allem Notwendigen versorgen können.

Die restlichen Stoffe, die der Körper nicht gebrauchen kann oder die ihn sogar schädigen, müssen erkannt und zuverlässig ausgeschieden werden. Nach dem Motto „die Guten ins Töpfchen, die Schlechten ins Kröpfchen“. Je weniger Toxine und überflüssige Inhalte im Körper verbleiben, um so weniger sind das Blut und im weiteren Verlauf Organe, Gefäße usw. belastet. Genau dafür sind die Gewürze eine große Hilfe.

Sie regen die Verdauungsdrüsen an, die Ausscheidungsorgane, insbesondere die Leber und Nieren werden aktiviert, sie steigern die Resorption von Eisen und Spurenelementen, überhaupt wird die Aufnahme im Darm verbessert.

Gewürze enthalten in erster Linie ätherisches Öl, oft Harze, ziemlich häufig Bitterstoffe, fettes Öl, Stärke, Flavonoide, Antioxidantien, Farbstoffe, Gerbstoffe, Cumarin, Vitamine, Mineralien usw., die das Aroma und die Heilwirkung bestimmen.

Gerade nach schwerer Krankheit nicht unerheblich, fördern sie ebenso den Appetit. Durch die Belebung der Leberfunktion, inkl. das Bilden und Ausschütten der Galle, wird die Fettverdauung ermöglicht bzw. optimiert. Eine zweite wichtige Aufgabe von Gewürzen ist die Unterstützung des Wärmehaushalts. In den östlichen Heiltraditionen, wie Ayurveda oder die Traditionelle Chinesische Medizin, wird viel wertgelegt auf einen gut temperierten Verdauungstrakt. Von dort beginnend, breitet sich eine angenehme Wärme im ganzen Körper aus.

Blüten des Muskatellersalbeis

In unserer Kultur wurde diese Funktion durch Zutaten durch Hildegard von Bingen erkannt und konsequent umgesetzt. Deshalb lassen Sie sich ruhig von den hildegardschen und asiatischen Gewürzen inspirieren. Menschen, die zum Frösteln neigen oder die durch Krankheit vermehrt frieren, können mit aromatischen Pflanzenteilen und warmer Nahrung wohltuende Wärme vermitteln. Vor allem einheizend sind Beifuß, Ingwer, Zimt, Rosmarin, Pfeffer, Chili, Knoblauch und Nelke. Und jene Kräuter, die schmeckbar Bitterstoffe enthalten, wie Angelikawurz und Salbei. Interessant ist, dass Gewürze noch weitere Körperfunktionen unterstützen und so erheblich zur Gesundheit beitragen können.

Der gesamte Stoffwechsel profitiert von ihren Effekten und auch das Hautbild verbessert sich. Hildegard von Bingen empfahl Thymian häufig beim Würzen einzusetzen, wenn Hauterkrankungen vorliegen. Sie aktivieren des Weiteren das Immunsystem, u.a. dadurch, dass sie eine gesunde Darmflora fördern. Selbst das Herz wird von etlichen aromatischen Zutaten tonisiert. Speziell Kräuter mit Bitterstoffen nehmen Einfluss auf die Abwehr und das Herz. Einige von ihnen helfen, Entzündungen im Körper zu vermeiden bzw. zu mindern. Kurkuma, auch als Gelbwurz bekannt, ist dafür ein Beispiel. Diverse Gewürze werden seit langem als Vorbeugungs- und Heilmittel auch bei Tumorerkrankungen geschätzt, z.B. Beifuß, Zwiebel, Knoblauch, Bärlauch, Wunder-Lauch, Angelikawurz und Kurkuma.

Schließlich und endlich bieten aromatisierende Zusätze einen unnachahmlichen Geschmack und machen das Essen und Trinken zu einem sinnlichen Erlebnis, das mehr als das Stillen von Hunger bedeutet.

Würzen bereitet Freude und ist ein kreativer Prozess. Die Geschmacksträger helfen uns Sättigung sowie Befriedigung zu empfinden und unterstützen Achtsamkeit und Glücksgefühle.

Blüte der Kapuzienerkresse

Wie würzen?

Dennoch möchte ich darauf hinweisen, dass es nicht notwendig ist, Gewürze aus einer Mahlzeit herauszuschmecken. Ich liebe das Aroma von Muskatnuss und mag frisch geriebene Muskatnuss im Kartoffelbrei. Bei diesem Gericht möchte ich, dass dieses entzündungshemmende, aufhellende und aktivierende Nervenheilmittel deutlich spürbar wird. Koche ich eine wärmende, stärkende und reinigende Hühnersuppe in der Erkältungszeit, verwende ich Angelikawurz, Beifuß, Kalmus, Rosmarin, Galgant, usw. Dabei lege ich dagegen keinen Wert darauf, sie nachdrücklich wahrzunehmen, nutze aber die wohltuenden Eigenschaften dieser Kräuter.

Seit einigen Jahren setzt die beliebte „Goldene Milch“ bei uns in Europa ihren Siegeszug fort. Es ist ein Rezept aus dem Ayurveda und verarbeitet Kurkuma, Ingwer, Muskatnuss, Zimt und schwarzen Pfeffer mit Mandelmilch und etwas Kokosöl zu einem leckeren und gelbgold aussehenden Gesundheitstrank. Er wirkt belebend, reinigend, entzündungshemmend, lindert Erkältungsbeschwerden und hilft u.a. bei Völle. Bei ihm sind starke Aromen im Vordergrund.

Sie sehen schon, Würzen ist ein sehr individuelles Geschehen und unterliegt nur wenigen Regeln. Die meisten Gewürze entwickeln ihre volle Bandbreite an Fähigkeiten erst durch das Mitgaren oder zumindest durch den Einfluss von Hitze. Einige verlieren rasch ihr wertvolles Aroma und werden daher hauptsächlich im rohen Zustand genutzt, wie Basilikum, Kapuzinerkresseblüten, Schnittlauch oder Kresse. Bei manchen ist beides möglich, der Einsatz als rohe wie gegarte Würze, beispielsweise bei Fenchel, Kalmus, Kümmel, Koriander, Zwiebel, Knoblauch oder Anis.

Da ätherische Öle flüchtig sind, werden Ihre Vorräte im Küchenregal besser zügig verbraucht und möglichst nicht gemahlen gekauft. Die Samen von Fenchel, Anis, Koriander, Kubebenpfeffer, Kümmel, Dill, Wacholder, Pfeffer, Piment, usw. sollten nicht im Ganzen an Essen oder Getränke getan werden, sondern mit dem Mörser zerstoßen oder in der Mühle kurz gemahlen werden. Ingwer, Kurkuma, Tonkabohne und Muskatnuss werden optimalerweise frisch gerieben.

Spezielle Speisen und Getränke, wie die oben erwähnte Hühnersuppe und die Goldene Milch, sind köstlich, obwohl sie eigentlich mehr Heilmittel als Nahrung darstellen.

Getreu dem Rat von Hippokrates von Kós „Lasst Eure Heilmittel Nahrungsmittel sein und eure Nahrungsmittel Heilmittel.“ Das wird wesentlich leichter mit Gewürzen.

Gern bei jeder Mahlzeit als sinnliche und heilsame Unterstützung. Guten Appetit!

Weitere Informationen:
Dr. Kristin Peters
www.kristin-peters.de
Email: post@kristin-peters.de

 

Papayakerne für das Immunsystem

Eine Studie aus den Philippinen hat bewiesen, dass die kleinen Wunderkerne die körpereigene Bildung von Killerzellen erhöhen können. Diese Killerzellen sind dafür zuständig, Infektionen aus unserem Körper zu verbannen. Papayakerne können also auch unser Immunsystem stärken und es unterstützen.

(Quelle: www.regenbogen.de)

 

 

AKTUELLES AUS DER KREBSMEDIZIN

Zucker - Weniger ist mehr!

Empfehlung zur maximalen Zuckerzufuhr in Deutschland

Fachgesellschaften schließen sich der Empfehlung der Weltgesundheitsorganisation (WHO) aus dem Jahr 2015 an. Sie sprechen sich für eine maximale Zufuhr von freiem Zucker von weniger als 10% der Gesamtenergiezufuhr aus. Bei einer Gesamtenergiezufuhr von 2.000 kcal/Tag entspricht diese Empfehlung einer maximalen Zufuhr von 50 g freien Zuckern/Tag.

Dazu zählen Monosaccharide und Disaccharide, die Hersteller oder Verbraucher Lebensmitteln zusetzen sowie in Honig, Sirupen, Fruchtsäften und Fruchtsaftkonzentraten natürlich vorkommende Zucker.

Die quantitative Empfehlung der drei Fachgesellschaften ist nicht im Sinne einer empfohlenen Zufuhr zu verstehen, sondern als maximale Obergrenze. Eine hohe und häufige Zuckerzufuhr fördert die Entstehung von Übergewicht und Adipositas sowie zahlreiche mit Übergewicht assoziierte Erkrankungen wie Diabetes mellitus Typ 2 und kardiovaskuläre Erkrankungen, auch Krebs sowie die Entstehung von Karies.

Zuckerzufuhr in Deutschland

Daten aus Verzehrstudien zeigen, dass die Zufuhr freier Zucker in Deutschland insbesondere bei jüngeren Altersgruppen deutlich über der Empfehlung von unter 10 Energieprozent (En%) liegt. Während in der Altersgruppe zwischen 15 und 80 Jahren die Zufuhr bei Frauen rund 14 En% beträgt, liegt sie bei Männern bei 13 En%. Das entspricht einer Zufuhr an freien Zuckern bei Frauen von 61g/Tag und bei Männern von 78 g/Tag. Kinder und Jugendliche konsumieren bis zu 17,5 En%. Um die Zufuhrempfehlung freier Zucker nicht zu überschreiten, müsste die aktuelle Zufuhr um mindestens 25% gesenkt werden.

Ein großer Anteil der Zufuhr freier Zucker stammt in Deutschland aus Süßwaren (36%) und zuckerhaltigen Getränken wie Fruchtsäften und Nektaren (26%) sowie Limonaden (12%). insbesondere der hohe Konsum zuckerhaltiger Getränke kann zu einer positiven Energiebilanz und in der Folge erhöhtem Körpergewicht sowie gesteigerten Krankheitsrisiken führen.

Weniger Zucker ist mehr

Die DGE empfiehlt Verbrauchern in ihren 2017 aktualisierten „10 Regeln für eine vollwertige Ernährung“, Zucker generell einzusparen. Danach kann, wer stark verarbeitete und zuckergesüßte Lebensmittel selten und maßvoll verzehrt und zuckergesüßte Getränke durch Wasser oder ungesüßte Tees ersetzt, die Zufuhr freier Zucker reduzieren.

Kinder sollten sich erst gar nicht an eine hohe Zuckerzufuhr und den damit verbundenen Süßgeschmack gewöhnen. Speziell für Kinder beworbene Lebensmittel sind oft stark zuckerhaltig und deshalb überflüssig.

Bisher haben verhaltenspräventive Maßnahmen zur Förderung gesundheitsfördernder Lebensstile nicht zur gewünschten Reduktion von Übergewicht bzw. Adipositas und den damit assoziierten ernährungsmitbedingten Erkrankungen geführt. Aus diesem Grund werden derzeit weltweit verschiedene ernährungspolitische Maßnahmen aus dem Gebiet der Verhältnisprävention angewendet, auch mit dem Ziel der bevölkerungsweiten Reduktion der Zuckerzufuhr.

Auch in Deutschland werden ab 2019 bis 2025 die Zuckergehalte in Fertigprodukten reduziert.

(Quelle: Presse, DGE aktuell 23/2018 vom 20.12.2018)

 

 

ERFAHRUNGEN

Heilpilze in der Krebsbehandlung

Eine wertvolle und effektive Unterstützung

Franz Xaver Schmaus, Gründer und Vorstand des MykoTroph Instituts für Ernährungs- und Pilzheilkunde in Limeshain

Allein in Deutschland erhalten nach Erhebungen des Robert Koch-Institutes jedes Jahr rund 500.000 Menschen eine Krebsdiagnose. Eine Diagnose, die wie wohl kaum eine andere die betroffenen Patienten, ihre Angehörigen und ebenso die Therapeuten vor immense Herausforderungen stellt. Trotz aller Fortschritte in der Medizin sehen die Prognosen auch für die Zukunft nicht gut aus. So werden laut Vorhersagen der Weltgesundheitsorganisation WHO bis zum Jahr 2025 weltweit jährlich etwa 20 Millionen Menschen neu an Krebs erkranken.

Gut zu wissen ist daher: Auch die Naturheilkunde hat in der ganzheitlichen Krebstherapie eine Vielzahl an kraftvollen Hilfen zu bieten. Heilpilze etwa haben sich sowohl in der Krebsprävention als auch in der komplementären, ganzheitlichen Krebstherapie als wertvolle und effektive Unterstützung bewährt. Dies zeigen unter anderem die langjährigen Anwendungsbeobachtungen hier im MykoTroph Institut. Ebenso die Erfahrungen aus der naturheilkundlichen Praxis insgesamt. Die Pilzheilkunde (Mykotherapie) hat ihren Ursprung in der Traditionellen Chinesischen Medizin (TCM) und gehört heute zu den klassischen Verfahren der Naturheilkunde.

Die wichtigsten Heilpilze in der naturheilkundlichen Begleittherapie von Krebs

Je nachdem, welche Organe vom Krebs betroffen sind, empfehlen sich unterschiedliche Pilze. Zu den Basispilzen zählen der Reishi (Glänzender Lackporling), der Auricularia (Judasohr), der Cordyceps (Chinesischer Raupenpilz) und der Polyporus (Eichhase). Allerdings sollte unbedingt beachtet werden, dass der Cordyceps bei hormonabhängigen Tumoren kontraindiziert ist. An seiner Stelle kommt hier der Agaricus blazei murril (ABM) (Mandelpilz) zum Einsatz.

Der Heilpilz Reishi

wird bereits seit rund 4.000 Jahren in der Traditionellen Chinesischen Medizin und der Naturheilkunde unter anderem zur Unterstützung von Tumorbehandlungen genutzt. Gut erforscht sind die Polysaccharide und die ganodermischen Säuren des Pilzes. Diese Inhaltsstoffe sind ausschlaggebend für die ihm zugesprochene antitumorale Wirkung.

Reishi hat eine schützende und stärkende Wirkung auf die Leber.

Das ist bedeutsam, denn dieses so überaus wichtige Entgiftungsorgan wird während einer Krebstherapie durch die entstehenden Zellgifte und abgestorbenen Zellfragmente sehr stark beansprucht. Mit Hilfe des Reishi können diese leichter und auch schneller aus dem Körper ausgeschieden werden.

Zusätzlich tragen die im Reishi enthaltenen Bitterstoffe zur Unterstützung der Leber bei. Krebspatienten fühlen sich durch den Reishi insgesamt wieder leistungsfähiger und kräftiger. Der Grund dafür ist, dass er die Enzymgruppe Glutathion-S Transferase aktiviert.

Dadurch entfaltet er eine günstige Wirkung auf die Funktion der Mitochondrien – das sind die Kraftwerke unserer Zellen – und fördert so die Energieleistung unseres Körpers.

Auch die während der onkologischen Maßnahmen häufig auftretenden Schleimhautentzündungen können unter seiner Gabe reduziert werden. Weiterhin wirkt Reishi ausgleichend und normalisierend auf die Zusammensetzung der Blutkörperchen. Er enthält zudem wichtige Triterpene, die adaptogene und antientzündliche Eigenschaften besitzen, sowie zahlreiche bioaktive Sekundärmetaboliten.

Der Auricularia

wird besonders aufgrund seiner Fähigkeit, die Fließeigenschaften des Blutes zu verbessern, geschätzt. Er gilt als der natürliche Blutverdünner unter den Heilpilzen. Das ist natürlich so nicht ganz richtig formuliert. Schließlich verdünnt er nicht das Blut, sondern kann die Thromboseneigung des Blutes herabsetzen. Dies ist der Grund, weshalb auch der Auricularia in der Basistherapie eingesetzt wird. Lösen sich nämlich Krebszellen aus ihrem Verbund und gelangen ins Blut, dann versuchen sie sich durch Thrombosebildung so zu vergrößern, dass sie sich an der Gefäßwand festsetzen können. Gelingt ihnen das, könnten Tumorzellen andere Organe infiltrieren.

Mit dem Auricularia ist es uns möglich, den Krebszellen diese Verbreitungsmöglichkeit zu erschweren. Der Auricularia wirkt zudem schleimhautbefeuchtend. Das ist gerade bei Schleimhautschäden in Folge von Chemotherapien und Bestrahlungen sehr hilfreich und wohltuend.

Der Cordyceps

besitzt ein großes therapeutisches Spektrum, das seinen Einsatz fast in jedem Stadium der Krebserkrankung rechtfertigt. Ein Schwerpunkt ist die Ausleitung toxischer Substanzen über die Nieren. Auch das Tumorgeschehen bei Blase, Nieren und Lunge vermag dieser Heilpilz günstig zu beeinflussen. Die Zytotoxizität und der antimetastatische Effekt des Cordyceps werden auf seinen Inhaltsstoff Cordycepin – ein Adenosin – zurückgeführt. Zudem agiert der Cordyceps als kraftvoller Immunmodulator.

Schon im alten China wurde der Cordyceps bei Depressionen und als Tonikum zur generellen Erholung genutzt. Auch heute können wir ihn wirkungsvoll zur Stärkung der Psyche nutzen. Für Krebspatienten, die ja meist unter einem labilen Nervenkostüm leiden, kann seine Gabe daher eine große Hilfe sein. Durch seinen Bezug zu den Nieren und den Nebennieren hat der Cordyceps weiterhin einen sehr großen Einfluss auf die Adrenalinproduktion und die Regulierung bei seelischem Dauerstress.

Im Cordyceps ist das Enzym Superoxiddismutase (SOD) enthalten. Daher kann dieser Pilz die gefährliche radikale Sauerstoffverbindung „Superoxid“ unschädlich machen. Gleichzeitig aktiviert der Cordyceps auch das Enzym Glutathion-Peroxidase, welches die Abwehr von oxidativem Stress unterstützt.

Der Heilpilz Polyporus

hat seinen großen Organbezug zum lymphatischen System. Über die Lymphe werden viele Giftstoffe aus den Körpergeweben in die Blutgefäße transportiert. Anschließend können sie dann von der Leber oder den Nieren ausgeschieden werden. Außerdem spielt das Lymphsystem eine wichtige Rolle im Abwehrsystem. Ebenso dient es als Filterstation für die aus dem Zellverbund losgelösten Krebszellen. Dies ist auch der Grund, weshalb man in den Lymphknoten so oft Krebszellen findet. Funktioniert das Lymphsystem gut, dann werden die Krebszellen in den Lymphknoten gesammelt und womöglich ausgeschaltet. Bei einer Krebserkrankung ist daher das einwandfreie Funktionieren des lymphatischen Systems von besonderer Bedeutung, vor allem, wenn bei der Krebserkrankung schon Lymphknoten entfernt werden mussten. Im Rahmen einer ganzheitlichen Krebstherapie sollte daher der Polyporus unbedingt immer eingesetzt werden.

Weitere bedeutsame Heilpilze in der Krebstherapie

Der Heilpilz Agaricus blazei murrill (ABM)

besitzt viele bioaktive Wirkstoffe, die zytotoxisch, also zellschädigend auf Krebszellen, und karzinostatisch wirken. Deshalb wird er in der komplementären Therapie von Tumorerkrankungen intensiv eingesetzt.

Der ABM unterstützt und reguliert unser Immunsystem und die antioxydativen Systeme. Die Polysaccharide des ABM stimulieren die Q-10-Synthese, was sich förderlich auf die Körperenergie auswirkt. Es hat sich als sinnvoll erwiesen, den ABM vor allem vor und nach einer therapeutischen Maßnahme einzusetzen.

Der Heilpilz Coriolus

enthält die zwei sehr aktiven Polysaccharide PSP und PSK. Beide besitzen antitumorale sowie antivirale Eigenschaften. Einzelne Studien erwähnen die Wirksamkeit des Coriolus bei hormonabhängigen Tumoren wie Brust- und Prostatakrebs sowie bei Eierstock- und Hodenkrebs.

Der Heilpilz Coriolus kommt vor allem vor und während der Bestrahlung zum Einsatz. Die negativen Folgen der Bestrahlung auf die Blutbildung und auf die Schleimhäute können mit seiner Hilfe auch schon vorsorglich verringert werden. Unter der Gabe des Coriolus wurde ferner eine Erhöhung der Aktivität der natürlichen Killerzellen beobachtet sowie eine günstige Wirkung auf das so wichtige immunologische Gleichgewicht.

Der Heilpilz Maitake

besitzt eine starke Wirkung auf das Immunsystem. Auch eine unterdrückende Wirkung auf das Tumorwachstum sowie eine antimetastatische Aktivität wird ihm zugeschrieben. Er ist daher ein wichtiger Pilz in der naturheilkundlichen Begleittherapie von Krebs. Insbesondere auch bei Hirntumoren und zur Vorbeugung von Knochenmetastasen hat sich der Maitake als günstig erwiesen.

Der Hericium

wird häufig bei Krebserkrankungen des Verdauungstraktes eingesetzt. Zudem hat sich der Hericium zur Stärkung der Magen- und Darmschleimhaut und auch zur Nervenstärkung gut bewährt. Eine günstige Wirkung zeigt sein Einsatz zudem bei Tumoren im Magen oder in der Speiseröhre. Auch nach einer Chemo- oder Strahlentherapie ist er ein wichtiger Pilz, da er zur Regenerierung der geschädigten Schleimhäute beiträgt.

Der Darm ist der Sitz von etwa 70 Prozent unseres Immunsystems und daher von essentieller Bedeutung für eine schlagkräftige Abwehr und somit auch für die Erkennung und Abwehr von Krebszellen. Zur Förderung der Darmgesundheit empfiehlt sich daher ergänzend zum Hericium der Heilpilz Pleurotus, denn er begünstigt das Wachstum und die nachhaltige Ansiedlung der so wichtigen probiotischen Bakterien auf der Darmschleimhaut. Der Pleurotus ist zudem reich an wertvollen B-Vitaminen, die der Körper dringend braucht.

Neuere Untersuchungen haben gezeigt, dass Glykoproteine den Zelltod sogenannter PC-3 Zellen – das sind bestimmte Zellen des Prostatakarzinoms – einleiten können.

Hinweis zur Einnahme

Heil- und Vitalpilze sind als Pilzpulver in Kapseln erhältlich. Besonders bewährt hat sich sogenanntes „Pilzpulver vom ganzen Pilz“. Darin sind alle wirksamen Inhaltsstoffe der Heil- bzw. Vitalpilze in ihrem natürlichen Verbund enthalten. Pilzpulver sollte immer verkapselt angeboten werden, denn unter dem Einfluss von Sauerstoff und Feuchtigkeit kann seine Qualität leiden. Ein weiteres Qualitätsmerkmal ist der Anbau und die Weiterverarbeitung der Pilze in Deutschland und in BIO zertifizierter Qualität.

Vor der Anwendung sollte man sich immer von einem Therapeuten oder einem Mykotherapeuten beraten lassen. Kostenfreie Beratung bietet etwa unser MykoTroph Institut unter der Telefon-Nr. 06047 / 9008720.

Kleines Schlusswort

Bei einer Krebserkrankung ist es empfehlenswert, dass konventionelle und naturheilkundliche Therapien Hand in Hand gehen. Naturheilkundliche Mittel wie die Heilpilze können Krebspatienten vor, während und nach der onkologischen Therapie wirksam unterstützen.

Sie aktivieren die Selbstheilungskräfte des Körpers und stärken unser Immunsystem, so dass es entartete Zellen besser erkennen und auch besser bekämpfen kann.

Auch die Nebenwirkungen von in der Regel sehr belastenden und kräftezehrenden Chemo- bzw. Strahlentherapien können mit ihrer Hilfe gut gelindert werden. Darüber hinaus werden bestimmten Heilpilzen schmerzlindernde sowie direkte antitumorale Wirkkräfte zugesprochen.

(Literaturquellen bei der Redaktion)

Informationen zum Autor dieses Beitrages:
Franz Xaver Schmaus; Mykotroph
Institut für Ernährungs- und Pilzheilkunde
Am Försterahl 3 a, 63694 Limeshain
Tel.: 06047-988530
www.heilenmitpilzen.de

 

 

AKTUELLES AUS DER KREBSMEDIZIN

Rauchstopp

Trotz zusätzlicher Kilos? – Es lohnt sich!

Wer darüber nachdenkt, mit dem Rauchen aufzuhören, sollte sich von einer möglichen Gewichtszunahme nicht abhalten lassen.

Denn obwohl auch Übergewicht mit Gesundheitsrisiken verbunden ist, überwiegt der gesundheitliche Nutzen durch einen Nikotinverzicht noch immer deutlich.

Das ist das Ergebnis einer umfangreichen US-Studie, die kürzlich in der renommierten Fachzeitschrift „New England Journal of Medicine“ erschienen ist. Allgemein bekannt ist: Nikotin dämpft den Appetit und steigert den Grundumsatz. Zwei Effekte, die helfen, das Körpergewicht zu reduzieren. Leider gehört ein gesteigerter Appetit zu den typischen Symptomen des Tabakentzugs. Im Durchschnitt legen Ex-Raucher vier bis fünf Kilo zu, wenn sie konsequent auf die Zigarette verzichten.

„Lange Zeit war unklar, ob dieser Effekt den Gewinn an Lebenszeit, der durch den Rauchstopp erzielt wird, teilweise wieder zunichte macht“, sagt Professor Dr. med. Claus Vogelmeier, Pneumologe und Direktor an der Klinik für Innere Medizin des Universitätsklinikums Marburg. Diese Bedenken könne die aktuelle Studie jedoch zerstreuen.

Die US-Forscher griffen auf die Daten von drei großen Langzeitstudien zurück und konnten darin über 160.000 Teilnehmer identifizieren, für die durchgehende Angaben zu Gewicht, Rauchstatus und Gesundheit vorlagen. In durchschnittlich fast 20, manchmal sogar 30 Jahren der Nachbeobachtung ergab sich ein umfassendes Bild zu den Veränderungen, die ein Rauchstopp im Vergleich zu einer fortgesetzten Raucherroutine mit sich bringt.

Der Wermutstropfen zuerst: Eine Gewichtszunahme während des Nikotinentzugs blieb durchaus nicht ohne gesundheitliche Folgen.

Das Risiko, einen Diabetes Typ 2 zu entwickeln, stieg in den ersten fünf bis sieben Jahren nach dem Rauchstopp zunächst an, fiel danach jedoch wieder ab. „Das Diabetes-Risiko stieg dabei umso stärker, je mehr Gewicht die Teilnehmer zulegten“, erläutert Vogelmeier, Vorsitzender der DGIM. So waren Menschen, die weniger als fünf Kilo zulegten, von dem Anstieg nahezu ausgenommen. Wer allerdings mehr als zehn Kilo zunahm, hatte ein im Vergleich zu fortgesetzten Rauchern um 60 Prozent erhöhtes Diabetes-Risiko.

Das wichtigste Ziel des Rauchverzichts blieb davon jedoch unberührt: Unabhängig von der Gewichtszunahme lag das Risiko, an einer Herz-Kreislauf-Erkrankung zu sterben, bei allen Ex-Rauchern deutlich niedriger als bei denjenigen Teilnehmern, die weiterhin zur Zigarette griffen.

Auch das allgemeine Sterberisiko, in dessen Berechnung auch alle anderen Todesursachen eingingen, wurde durch den Rauchverzicht deutlich gesenkt. „Dieser Effekt stellt sich sehr rasch nach dem Rauchstopp ein und wird in den ersten zehn bis fünfzehn Jahren immer größer“, sagt Vogelmeier.

Wie die US-Forscher betonen, lässt sich das deutliche Absinken des Mortalitätsrisikos – oder anders ausgedrückt: der deutliche Gewinn an Lebenszeit – für alle Gewichtsgruppen beobachten.

Lediglich bei einer sehr kleinen Zahl von Teilnehmern, die sechs Jahre nach dem Rauchstopp eine sehr starke Gewichtszunahme von mehr als 18 Kilogramm zu verzeichnen hatten, näherte sich das Risiko, an einer Herz-Kreislauf-Erkrankung zu sterben, allmählich wieder dem von Immer-Noch-Rauchern an. „Als Fazit bleibt festzuhalten: Ein Rauchstopp lohnt sich immer“, sagt auch DGIM-Generalsekretär Professor Dr. med. Ulrich R. Fölsch aus Kiel.

Dies gelte auch für andere internistische Erkrankungen wie Rheuma und Magen-Darm-Leiden, die bei rauchenden Patienten häufig deutlich stärker ausgeprägt seien. Um den Gesundheitsgewinn auch wirklich auszuschöpfen, sei es aber ratsam, Strategien für einen Rauchstopp ohne massive Gewichtszunahme vorab mit dem behandelnden Arzt zu besprechen. Auch wenn die Assoziation zu Krebserkrankungen in den Studien nicht explizit berücksicht wurde: Sie stellt sich ohne viel Worte ein.

Rauchen ist Risikofaktor Eins für Lungenkrebs. Lungenkrebs gehört zu den häufigeren Krebserkrankungen in Deutschland.

Durch seine ungünstige Prognose ist er auch mit Abstand die häufigste Krebstodesursache bei Männern (mit einem Anteil von 24 %) und die zweithäufigste bei Frauen (15%) lt. RKi

(Quelle: Diagnostik, Therapie und Nachsorge des Vulvakarzinoms und seiner Vorstufen. Leitlinie der DGGG und DKG (S2k-Level, AWMF-Registernummer 015/059, Geburtshilfe und Frauenheilkunde; 76 (10); S.1035–1049 DOI: 10.1055/s-0042-103728)

 

E-Zigarette: „Juul“ – gefährlicher Trend

In den USA wird „gejuult“. Ärzte und Experten sind beunruhigt und beobachten genau, wie sich der Umgang mit „Juul“ auch hier entwickelt. Heute gelten bei Jugendlichen normale Zigaretten als uncool. Bei der E-Zigarette „Juul“ – die coole Alternative – schmeckt der Dampf nicht nach Tabak.

Die E-Zigarette „Juul“ ist ein kleines technisches Gerät, das mit einer kleinen Kapsel mit Flüssigkeit gefüllt ist. Zieht man an der E-Zigarette, erhitzt sich die Flüssigkeit und verdampft. Diesen Rauch atmet man dann ein. Der schmeckt nicht nach Tabak, wie bei normalen Zigaretten, sondern zum Beispiel nach Mango, Minze oder Erdbeere. Das schmeckt vielen Jugendlichen.

Das Problem: E-Zigaretten wie „Juul“ sind kein Spielzeug und auch kein reines Technik-Produkt. In dem Dampf sind giftige Stoffe wie Nikotin enthalten – dasselbe Nikotin, das auch in echten Zigaretten steckt. Es kann süchtig machen. Das bedeutet, dass man irgendwann nicht mehr aufhören kann, E-Zigaretten zu rauchen. Man gehört zu der neuen coolen Rauchergeneration mit einem neuen Risiko für Krebs.

 

 

AKTUELLES AUS DER KREBSMEDIZIN

Nebenwirkungen bei Krebstherapien

Aszites oder Bauchwassersucht

Patientinnen und Patienten mit einer fortgeschrittenen Tumorerkrankung können von einem solchen malignen Aszites betroffen sein.

Oft macht ein Aszites erst dann Probleme, wenn sich größere Flüssigkeitsmengen angesammelt haben: Der Bauchumfang nimmt sichtbar zu, ein Druckgefühl und Schmerzen können auftreten. Zu Behandlungsmöglichkeiten ist das Gespräch mit dem behandelnden Arzt wichtig.

Was lindert die Beschwerden?

Aszites ist bei Krebspatienten immer ein Zeichen für eine fortgeschrittene Erkrankung. Auch wenn die behandelnden Ärzte versuchen, das Tumorwachstum aufzuhalten oder zu verlangsamen, ist für viele Betroffene eine dauerhafte Heilung in dieser Situation nicht mehr möglich.

Im Vordergrund der Behandlung steht daher die Symptomlinderung: Durch das Ablassen des Bauchwassers sollen Beschwerden wie Druckgefühl, Atemnot, Schmerzen, Übelkeit und Unbeweglichkeit gebessert werden.

Die wichtigsten Behandlungsmöglichkeiten im Überblick

  • Zielgerichtete Medikation (Chemotherapie), die sich gegen die Tumorerkrankung an sich richtet
  • Aszitespunktion oder Parazentese
  • Dauerdrainagesysteme: Verweilkatheter und Shunts
  • Diuretika, oft auch als „Wassertabletten“ bezeichnet
  • Chemotherapie direkt in die Bauchhöhle
  • Neue Therapieprinzipien: Unterstützung körpereigener Hormone zur Förderung von Appetit und Muskelaufbau

Wie wirksam ist die Therapie?

Mit den behandelnden Ärzten sollte man als Krebspatientin oder Krebspatient folgende Fragen klären: Welche Therapien stehen mir in meiner Situation zur Verfügung? Müssen die Therapien wiederholt werden? Wie lange können sie angewendet werden? Welche Nebenwirkungen haben sie? Wie belastend sind sie kurzfristig und auf längere Zeit? Was kann ich selbst tun? Muss ich bei der Ernährung auf etwas achten? Wer hilft mir, mit der Belastung umzugehen?

Leben mit Aszites

Wer hilft, mit den Belastungen durch die Erkrankung umzugehen? In dieser Situation ist immer Ihr Arzt der erste Ansprechpartner. In klinischen Studien werden weitere Behandlungsansätze erforscht. Es gibt Hilfsangebote!

(Quelle: www.krebsinformationsdienst.de/leben/aszites/aszites-index.php
© 2018 Krebsinformationsdienst, Deutsches Krebsforschungszentrum 0800–420 30 40 oder krebsinformationsdienst@dkfz.de)

 

 

AKTUELLES AUS DER KREBSMEDIZIN

Hautkrebs

Verdächtige Hautflecken digital überprüfen lassen

Erstmalig dürfen Hautfachärzte ohne persönlichen Kontakt zum Patienten eine digitale Diagnose bei einem verdächtigen Hautfleck ausstellen. Die Landesärztekammer Baden-Württemberg genehmigte den Antrag für die erste teledermatologische Smartphone-Anwendung.

Entwickelt wurde das digitale Angebot von Mitarbeitern der Hautklinik am Universitätsklinikum Heidelberg (UKHD), des Nationalen Centrums für Tumorerkrankungen (NCT) und des Deutschen Krebsforschungszentrums (DKFZ) in Zusammenarbeit mit der Universitäts-Hautklinik in Essen.

Die Teledermatologie-Anwendung ist eine Möglichkeit, das Problem des Fachärztemangels und der zum Teil monatelangen Wartezeit auf einen Termin beim Dermatologen zu lösen. In vielen Fällen möchte der Patient eine Vorabeinschätzung haben, wie dringend die von ihm entdeckte Hautveränderung tatsächlich behandelt werden muss.

AppDoc liefert diese erste Einschätzung, inklusive einer Handlungsempfehlung, die den Patienten den Gang zum Arzt meist bereits ersparen kann.

Der Service schließt damit die Lücke zwischen einer Internetrecherche und einem persönlichen Praxisbesuch. AppDoc steht über die Webseite www.online-hautarzt.net sowie für iPhones und Android Smartphones zum Download zur Verfügung. Für die Nutzer ist der Service anonym. Um sich eine Erstmeinung einzuholen, müssen drei Fotos der betroffenen Hautstelle aufgenommen sowie einige Fragen zu möglichen Symptomen beantwortet werden. Die Bilder und Informationen werden anschließend über eine verschlüsselte Verbindung an einen Hautfacharzt aus Baden-Württemberg übermittelt.

Mit der Smartphone-Anwendung AppDoc erhalten Patienten schnell und anonym eine Einschätzung Ihres Hautproblems durch einen Hautfacharzt.

Patienten ohne Smartphone können auch über eine Digitalkamera und die AppDoc-Webseite die Bilder ihres verdächtigen Hautflecks bereitstellen. AppDoc verspricht dem Patienten innerhalb von 48 Stunden eine Ersteinschätzung digital zu übermitteln. Rückfragen der Online-Ärzte und die Antworten werden in einem nur für Arzt und Patient zugänglichen und geschützten Datenraum gespeichert.

Für die teilnehmenden Hautfachärzte aus Baden-Württemberg ist der digitale Service nach der Gebührenordnung für Ärzte abrechenbar. Der Patient bezahlt eine Service-Gebühr in Höhe von 35 Euro. „Diese Pauschale müssen die Patienten derzeit noch selbst tragen, jedoch zeigen sich auch die Krankenkassen interessiert an dem neuen teledermatologischen Angebot“, berichtet Brinker.

Installation der App

iPhones:
https://itunes.apple.com/de/app/onlinehautarzt- appdoc/id1438853563?mt=8
Android Smartphones:
https://play.google.com/ store/apps/details?id=net.online_hautarzt.app

(Quelle: https://www.nct-heidelberg.de/fileadmin/media/ nct-heidelberg/news/Meldungen/Bilder/AppDocDemo.png)

 

 

KOLUMNE

Alltägliches zu Besonderem machen

notiert von Dagmar Moldenhauer

Wir hatten uns zu einem Wandertag verabredet. Das heißt, eigentlich war es ein Geburtstagsgeschenk meiner Freundin. Es gibt Zeiten, da hat man keine Lust auf Konsum, auf gekaufte Geschenke. Da sind gemeinsame Erlebnisse das Beste, das wertvollste Geschenk.

Denn man bekommt etwas Besonderes, nämlich Zeit geschenkt! Ganz in der Nähe von Berlin liegt in einem Wald ein See, den wir einige Male im Sommer zum Schwimmen besuchten. Unsere Verabredung hatten wir bewusst auf den Herbst gelegt. Wir wollten die ersten besonderen Farben des Indian Summers, den es auch hier gibt, erleben.

Schon nach den ersten huntert Metern hatte uns der Wald mit seiner Magie gepackt. Er ist und bleibt ein Sehnsuchtsort, der jeden, der bereit ist, in seinen Bann zieht. Wir fühlten uns bereit, die Einsamkeit, den Zauber von Wald, Sonne, Licht und klarer Luft für uns anzunehmen.

Natürlich hatten wir uns nicht zum gemeinsamen Schweigen verabredet. So haben wir angenommen, was sich uns bot und bald stellten sich in unseren Gesprächen auch Erinnerungen an ein Buch ein.

„Das geheime Leben der Bäume“- ein Bestseller über eine lange Zeit. Der Autor hatte das Leben und die Geschichten der Bäume in einem „durchorganisierten sozialen System“ beschrieben, was fast wie ein Märchen klang. Wir kannten das Buch und waren bereit, dem Gelesenen wieder zu begegnen. Irgenwie – jeder für sich – und doch gemeinsam.

Der See, der Wald, haben uns aufgenommen. Und wir kamen zu Gesprächen, wie man sie nur mit Menschen führen kann, die einem nahe sind. Wir hatten uns einige Zeit nicht gesehen und vieles, was in unseren Leben gelaufen war, lag im „Speicher“.

Es war ganz einfach – wir haben tief geatmet, geschaut, geredet, gefühlt, pausiert, weiter geredet und genossen. Die Klarheit der Luft sorgte immer wieder für einen weiterführenden flotten Schritt. Kann es in diesen unruhigen, aufgepeitschten Zeiten etwas Gesünderes geben, als so ein bewusstes Wandern?

Unser Ziel war der Weg um den ganzen See. Es war gut, ein Ziel zu haben. Wir haben es geschafft. Eigentlich ist so eine Wanderung nichts Besonderes.

Wie aber schafft man es, einer Wanderung so einen besonderen Wert zu geben? Ich denke, in jedem Leben gibt es Erlebnisse, die ähnliche geheime Rätsel, Werte, Überraschungen in sich haben. Die Kunst besteht darin, das Besondere für sich zu erkennen.

So kann eine alltägliche Wanderung zu etwas ganz Besonderem werden. Und es tut gut, dem Körper, der Seele und auch einer Freundschaft.

 

 

NEUES WISSEN DIREKT

Bösartige inoperable Bauchspeicheldrüsen- und Leberkarzinome sowie Knochen- und Weichteiltumoren können mit dem hochintensiven fokussierten Ultraschall (HIFU) effektiv therapiert werden.

Hoch-intensiver fokussierter Ultraschall (HIFU) verspricht neue Hoffnungen in der Krebstherapie

Mit diesem innovativen Verfahren werden erkrankte Regionen im Körper identifiziert und sozusagen „berührungsfrei“ per Ultraschall zerstört – ohne dabei benachbarte Strukturen zu beschädigen.

Wie funktioniert der HIFU? Und auf welche Weise verringert er das Tumorvolumen? Über diese und weitere Fragen informierten und diskutierten Experten der Deutschen Gesellschaft für Ultraschall in der Medizin (DEGUM) im Dezember 2018 in Berlin. Das Potential des HIFU-Verfahrens für Tumorerkrankungen wird nach Ansicht der DEGUM-Experten jedoch noch zu wenig erkannt. Hier einige Beispiele:

 

Primärer Leberkrebs

Neue Hoffnung, die Tumoren vielversprechend zu therapieren

Etwa 9.000 Menschen erkranken hierzulande pro Jahr an primärem Leberkrebs – und die Zahl der Betroffenen ist in den vergangenen Jahren stark angestiegen. Häufig wird das sogenannte hepatozelluläre Karzinom (HCC) eher spät erkannt und kann dann nicht mehr operativ entfernt werden. Dann bietet der hochintensive fokussierte Ultraschall (HIFU) eine effektive Möglichkeit, das Karzinom zu behandeln. Der Vorteil: HIFU ist die gesundheitsschonendste Methode dafür und mit ihm können – im Gegensatz zu anderen Verfahren – auch Tumoren in gefährlicher Nähe zu Gefäßen behandelt werden.

Der primäre Leberkrebs entsteht in der Leber selbst, im Gegensatz zum sekundären Leberkrebs (Metastasen), der seinen Ursprung in anderen Organen hat. Da der primäre Leberkrebs im frühen Stadium nur selten Symptome verursacht, wird er oft erst spät entdeckt. Doch dann ist der Tumor häufig nicht mehr operabel.

„Sofern das Karzinom nicht zu groß ist, ist der fokussierte Ultraschall für Leberkrebs-Patienten eine effektive Methode, das Volumen gezielt zu verkleinern“, so DEGUM-Experte Prof. Dr. med. Holger Strunk, Oberarzt der Radiologischen Universitätsklinik Bonn. Im Gegensatz zum diagnostischen Ultraschall werden beim HIFU viel höhere Energien erzeugt. Die Ultraschallwellen sind hier gebündelt und können exakt auf ein nur wenige millimetergroßes Gebiet fokussiert werden.

Die deutsche Gesundheitspolitik hat verstärkt einen Fokus darauf gelegt: So hat der Gemeinsame Bundesausschuss (G-BA) ein Bewertungsverfahren für den Einsatz des HIFU-Verfahrens zur gezielten Behandlung des nicht-operablen hepatozellulären Leberzellkarzinoms durchgeführt. Der G-BA kommt dabei zu dem Ergebnis, dass „der Nutzen dieser Methode als noch nicht hinreichend belegt anzusehen“ ist, sie aber „das Potenzial einer erforderlichen Behandlungsalternative“ bietet. Die DEGUM begrüßt diese Erkenntnis. „Nun sollten hierzulande klinische deutsche Studien durchgeführt werden, die den Nutzen der Methode auch bei kaukasischen Patienten belegen“, meint Prof. Strunk.

(Quelle und weitere Informationen: www.degum.de)

 

Bauchspeicheldrüsenkrebs

Schmerzen bekämpfen und den Tumor verkleinern?!
Fokussierter Ultraschall macht’s möglich.

Er gilt als eine der gefährlichsten Krebsarten. So liegt die Fünf-Jahres-Überlebensrate der Betroffenen bei unter zehn Prozent. In den meisten Fällen können die Patienten nur noch palliativ behandelt werden.

Die primären Ziele in der Therapie bestehen dann darin, die vom Tumor verursachten Schmerzen zu lindern und das Tumorvolumen zu verringern.

Eine innovative, effektive und gesundheitsschonende Methode, um diese Ziele zu erreichen, ist der hoch-intensive fokussierte Ultraschall (HIFU). „Die Lebensqualität der Bauchspeicheldrüsen- Krebspatienten wird durch den Tumorschmerz deutlich bis massiv eingeschränkt.

Im Verlauf der Krankheit werden diese Schmerzen vielfach sogar behandlungsresistent“, so DEGUM-Expertin PD Dr. med. Dr. rer. nat. Milka Marinova, Oberärztin in der Radiologischen Universitätsklinik Bonn. Mit dem modernen hoch-intensiven fokussierten Ultraschallverfahren (HIFU) können die Beschwerden jedoch deutlich gelindert werden: „Im Rahmen standardisierter Untersuchungen haben wir herausgefunden, dass eine Behandlung mittels HIFU bei mehr als 80 Prozent der Patienten zu einer wirksamen und anhaltenden Linderung der Tumorschmerzen führt“.

Sowohl die Schmerzintensität als auch die Schmerzempfindung seien dabei stark reduziert worden. Viele Patienten hätten bereits in der ersten Woche nach dem Behandlungsbeginn eine deutliche Linderung gespürt. „Nach sechs Wochen musste die Hälfte der Patienten zudem keinerlei Schmerzmittel mehr einnehmen“, berichtete die Expertin.

Ein weiteres positives Ergebnis: Bei mehr als 80 Prozent der Patienten konnte das Tumorvolumen effektiv reduziert werden. Die Mehrzahl der Patienten hat von dieser Therapie symptomatisch und klinisch deutlich profitiert.

Der hoch-intensive fokussierte Ultraschall ist eine vergleichsweise schonende Behandlungsmethode: Da keine Nadeln, Sonden oder ähnliches in den Körper eingebracht werden müssen, besteht keine Gefahr einer Blutung oder der Tumorzellverschleppung, wie sie bei anderen Verfahren durch den Stichkanal vorkommen kann. „Seine Nicht-Invasivität macht den HIFU zu einer recht risikoarmen Methode“, so Marinova.

Darüber hinaus ist der HIFU nicht mit ionisierender Strahlung verbunden und mit anderen Therapien gut kombinierbar, wie zum Beispiel mit einer Chemotherapie oder mit einer Bestrahlung. Mit dem therapeutischen, innovativen Ultraschallverfahren werden erkrankte Regionen im Körper identifiziert und sozusagen „berührungsfrei“ per Ultraschall zerstört. „Im Gegensatz zum diagnostischen Ultraschall bündelt der Ultraschallkopf beim HIFU die hochenergetischen Schallwellen wie bei einem Hohlspiegel in einem Brennpunkt innerhalb des menschlichen Körpers“.

Durch die Absorption der Ultraschallwellen entsteht Wärme, die das Gewebe im Fokus des HIFU auf bis zu 80 Grad erhitzt. Bei diesen Temperaturen gerinnt das Eiweiß, und die Zellen des Tumors sterben ab.

(Quelle: Bekanntmachung des Gemeinsamen Bundesausschusses (G-BA): https://www.g-ba.de/downloads/39-261-3244/2018-03- 22-Bekanntmachung-Einl-Beratungsverfahren_hoch-intensiver- Ultraschall-Pankreas_BAnz%20.pdf)

 

 

AKTUELLES AUS DER KREBSMEDIZIN

Gute Nachrichten

Gesetzesänderung zur Kostenübernahme der Fruchtbarkeitserhaltung geht voran

Bundesgesundheitsminister Jens Spahn hatte Patienten und Vorstand der Deutschen Stiftung für junge Erwachsene mit Krebs zur 1. Lesung des Terminservice- und Versorgungsgesetzes (TSVG) eingeladen und bekam fraktionsübergreifend Beifall für die Initiative zur Kassen-Finanzierung von fruchtbarkeitserhaltenden Maßnahmen junger Krebspatienten.

Die Finanzierung der Kryokonservierung von Eizellen und Sperma junger Patienten vor einer intensiven und die Fruchtbarkeit bedrohenden Medikamenten- oder Strahlentherapie ist Bundesgesundheitsminister Jens Spahn ein ganz persönliches Anliegen. Das betonte er im Dezember 2018. Dafür erhielt er nicht nur Applaus von der Besuchertribüne, auf der unter anderem die junge engagierte Krebspatientin Claudia mit dem Stiftungsvorstand Prof. Dr. med. Diana Lüftner saß.

„Mit dem neuen Gesetz besteht die Aussicht auf eine grundlegende Änderung. Jeder Patient mit einer Erkrankung, die eine keimzellschädigende Therapie notwendig macht, hat danach Anspruch auf eine Kryokonservierung von Ei- oder Samenzellen oder von Keimzellgewebe sowie auf die dazugehörigen medizinischen Maßnahmen“, erklärt Prof. Dr. med. Mathias Freund, Kuratoriumsvorsitzender der Deutschen Stiftung für junge Erwachsene mit Krebs.

Bisher müssen die jungen krebskranken Frauen und Männer die Kosten von bis zu 4.300 Euro selbst übernehmen. „Die Gesetzesänderung soll eine dringend notwendige Entlastung für junge Krebspatientinnen und -patienten in der schweren Zeit nach der Diagnose ihrer schweren Erkrankung bringen“, so Freund weiter.

Die Stiftung hat dieses Gesetz angestoßen und kämpft seit vielen Jahren intensiv dafür. Eine intensive Presse- und Öffentlichkeitsarbeit sollte Gesellschaft und die Kollegen in der Ärzteschaft für dieses Thema sensibilisieren. Nicht zuletzt wurden gemeinsam mit jungen Betroffenen zahlreiche Gespräche mit Abgeordneten des Bundestages geführt.

Quelle: Aus der Presseinformation der Stiftung)

 

 

 


Europäische Akademie für Naturheilverfahren und Umweltmedizin
Partner für einen Dialog zur Integrativen Krebstherapie

Die Zeitschrift „Aktuelle Gesundheitsnachrichten“ können Sie kostenlos in gedruckter Form bestellen oder online lesen.

Über www.eanu.de gelangen Sie zu unseren aktuellen digitalen News. Die Zeitschrift und die digitalen Medien werden von der Stiftung Günter und Regine Kelm gefördert. Anfragen und Hinweise richten Sie bitte an unsere Kontaktadresse:

Europäische Akademie für Naturheilkunde und Umweltmedizin
Grottkauer Straße 24, 12621 Berlin
Tel. +49(0)30 – 55 15 82 48, Fax: +49(0)30 – 55 15 82 49
E-Mail: info@eanu.de; www.eanu.de
www.facebook.com/EANU.Berlin

In eigener Sache: Wir danken den ehrenamtlichen Helfern, die uns in unserer Arbeit für diese Ausgabe unterstützt haben.

IMPRESSUM: Aktuelle Gesundheitsnachrichten, Heft 32/2019, ISSN (Print) 2199-9791, ISSN (Internet) 2199-9805

HERAUSGEBER: Europäische Akademie für Naturheilverfahren und Umweltmedizin (EANU)

V.i.S.d.P.: Dr. med. Andreas-Hans Wasylewski,
Dr. Wasylewski GmbH, Grottkauer Straße 24, 12621 Berlin, Tel. +49(0)30-55158248

REDAKTIONSTEAM: Dagmar Moldenhauer, Dr. med. A.-H. Wasylewski, Jochen Friedrich, Regine Kelm

Bild: adobestock: plprod (Titel), Africa Studio (S.1), Laurent (S.1, ), artzanko (S.11), Cartagena (S.12), Getty Images (S.14), Axel Kock (S.16), Chinnapong (S.17), msgrigoriewa (S.17), Nutlegal (S.21), Westfoto.de (S.22), Peter Atkins (S.24), Robert Kneschke (S.25), nino (S.26), fotoalt (S.27) Stefan Körber (S.31), anushkatoronto (S.32), Eva Guendermann (S.33), ashumsky (S.33), Jewgeni Frimann (S.37), beats (S.37/38), Markus Mainka (S.37), Pvhhha (S.46/47), euthymia (S.46/47), Titus Brinker (S.49), Asray Laletke (S.50/51), Science RF (S.52), Sebastian Kaulitzke (S.52), magiomine (S.53), TUD Stephan Wiegand, (S.27), Presse/JC (S.1, 28, 29, 30), Dagmar Moldenhauer (S.50), Joachim Kirchmair. Alle im Impressum nicht aufgeführten Bilddokumente in den Artikeln sind von den Autoren zur Verfügung gestellt worden.

Redaktionelle Texte und Beiträge geben nicht unbedingt die Meinung des Herausgebers wieder. Sie enthalten Erkenntnisse aus Medizin und Forschung, die einem steten Wandel unterliegen. Für die Aktualität und die Inhalte der Texte sind die Autoren verantwortlich.