Zurück
Kopf-EANU
 

Liebe Leserin, lieber Leser,

unser Newsletter kündigt Ihnen die nächste Ausgabe der „Aktuellen Gesundheitsnachrichten“ an. Im September wird die Ausgabe Nr. 10 bei Ihnen sein. Unser „Thema heute“ – Hirntumore. Sie werden über neurochirurgische Optionen in der Therapie hirneigener Tumoren von unserem Autor Dr. Michael Synowitz, Klinik für Neurochirurgie, Charité Berlin, lesen können.

 
 

Folgende Themen haben wir In der Ausgabe Nr. 10 weiterhin für Sie vorbereitet: Mind-Body Medizin bei Krebserkrankungen, ein Beitrag von Prof. Michalsen und Christel v. Scheidt vom Immanuel Krankenhaus Berlin. Aus der Psychoonkologie der Charité schreibt Martina Preisler zum Thema „Umgang mit der Angst bei Krebs“. Prof. T. Vogl, Institut für Diagnostische und Interventionelle Radiologie der Universität Frankfurt, berichtet im Kapitel Wissen über neue Erfahrungen zur schonenden lokalen Chemotherapiebehandlung der Leber. Über aktuelle Diagnostik und Therapien bei Lungentumoren schreibt Dr. Christian Grah, Gemeinschaftskrankenhaus Havelhöhe für Sie. Ferner können Sie wieder einen Erfahrungsbericht einer Krebspatientin lesen, die auch ihr gerade erschienenes Buch vorstellt. Tipps zur gesunden Ernährung und aktuelle Informationen aus der Krebsforschung runden das Programm ab. (Bildquelle: fotolia.de)

Zur Online-Version der aktuellen Ausgabe Nr. 10 > Hier

 
   
 

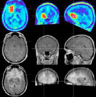
Therapieresistenz von Hirntumoren entschlüsselt

Gliome sind bösartige Hirntumoren, die aus den Stützzellen des zentralen Nervensystems entstehen, den so genannten Astrozyten. Bei der Behandlung bösartiger Hirntumoren entwickeln einige Patienten rasch Resistenzen gegen die Strahlen- und die medikamentöse Chemotherapie. Beide Behandlungen schädigen das Erbgut der Tumorzellen.

 
 

Die DNA-Defekte lösen wiederum das Selbstmordprogramm, die Apoptose, aus. Doch die Tumorzellen schützen sich mit einem effizienten Reparatursystem vor den Folgen der Therapie und damit vor dem Zelltod. Wissenschaftler aus dem DKFZ und dem Universitätsklinikum Heidelberg entdeckten eine Ursache für diese Therapieresistenz. Ließe sich dieser Resistenzmechanismus blockieren, könnten bösartige Hirntumoren möglicherweise wirkungsvoller behandelt werden.
(Quelle: Deutsches Krebsforschungszentrum, Bildquelle: Hirntumorhilfe; MRT eines Hirntumors)

Hirntumor-Informationsdienst:
Der zentrale Hirntumor-Informationsdienst dient Patienten und Patientinnen sowie ihren Angehörigen als Wegweiser für die medizinische Versorgung und vermittelt qualitätsgesicherte Informationen über Leistungsanbieter, Therapieoptionen und Krankheitsbilder der Neuroonkologie.

Weiter Auskünfte über: www.hirntumorhilfe.de

Hirntumor-Informationsdienst – jeweils Montag bis Freitag von 10 – 18 Uhr,
Telefon 03437 - 702 702

 
   
 

Neue Gentherapie wirkt schnell

US-Wissenschaftler haben mit einer Gentherapie drei Leukämiekranke in eine anhaltende Remission gebracht. Sie haben ein Oberflächenmolekül des Tumors aufgespürt und die eigenen Immunzellen genetisch so verändert, dass sie dieses Molekül attackierten. Die Untersuchungen zur Wirkung der Gentherapie liefen bei fünf Patienten mit unheilbaren Rezidiven einer akuten lymphoblastischen Leukämie. Die Forscher extrahierten T-Zellen der Patienten und bestückten sie über einem viralen Vektor mit einem neuen Gen. Die T-Zellen waren so in der Lage, sofort nach der Reinfusion alle B-Zellen zu töten; ob krank oder gesund. Anschließend erhielten alle Probanden eine Knochenmarktransplantation, um schnell wieder ein kompetentes Immunsystem aufzubauen. Weitere Studien zu dieser Methode laufen bei Patienten mit Multiplen Myelom sowie bei ersten Versuchen mit Prostatakarzinom.
(Quelle: New Scientist, 2013)

 
   
 

Operation am Freitag riskant

In einer britischen Studie kamen Forscher zu dem Ergebnis, dass das relative Risiko, nach einer freitags durchgeführten Operation zu versterben, im Vergleich zu einem Termin am Montag, um 44% erhöht ist, und bei Eingriffen am Wochenende sogar um 82%. Die Autoren führten diese Daten auf die schlechte Besetzung der Krankenstationen am Wochenende zurück. Bekanntlich ereignen sich postoperative Komplikationen meist in den ersten 48 Stunden nach dem Eingriff.
(Quelle: P.Aylin et al., BMJ 2013, Bildquelle: fotolia.de beermedia)

 
   
 

Neue Internetseite für Patienten mit Knochenmetastasen

Die Broschüre „Leben mit Knochenmetastasen“ und „Kieferosteonekrose, Risikofaktoren, Symptome, was tun?“ sowie „Patientenpass für die Knochenschutztherapie“ kann von jedem Interessierten angefordert werden. Die Internetseite bietet Hintergrundinformationen über Knochenmetastasen und die Chancen einer Behandlung mit hohem Praxisbezug. In einem umfassenden Servicepaket informiert der kostenlose Online-Ratgeber Brustkrebs- und Prostatapatienten über Diagnostik und Therapiemöglichkeiten, um das Auftreten von Knochenschmerzen möglichst lange hinauszuzögern.

Mehr: www.amgen.de/Informationsmaterial/Krebs/index.html

 
   
 

Können Hunde den Krebs erschnüffeln?

Hunde werden in der Drogenfahndung, zum Aufspüren verschütteter Menschen dank ihres hervorragenden Spürsinns eingesetzt. Ihr Gehirn verfügt über bis zu 300 Millionen Geruchsrezeptoren; vier- bis zehnmal mehr als der Mensch. Ihr Geruchssinn ist bis zu einer Millionen Mal sensitiver als der des Menschen.

 
 

Nun hoffen kanadische Forscher, mithilfe dieses feinen Spürsinns der Hunde auch Tumoren früher auf die Spur zu kommen. Eine Studie hatte bereits nachweisen können, dass es ein stabiles krebsspezifisches Geruchsmuster in der Atemluft von Lungenkrebspatenten geben muss. Tests mit trainierten „Sniffer-dogs“ hatten Proben von Lungenkrebspatienten mit einer Sensitivität bis zu 93% identifiziert. Bereits 1989 wurde über einen dermatologischen Fall berichtet. Eine 44-jährige Hundebesitzerin stellte sich ihrem Dermatologen vor, nachdem ihr Hund versucht hatte, ein Muttermal an ihrem Oberschenkel heraus zu knappern. Zuvor hatte er über Monate daran geschnüffelt. Nach der operativen Entfernung bestätigte die histologische Untersuchung die Diagnose: malignes Melanom.
(Quelle: CME, 05, 2013, Bildquelle: fotolia: Andres Rodriguez)

 
   
 

Das besondere Buch

Immer wieder werden wir Ihnen in den „Aktuellen Gesundheitsnachrichten“ besondere Erlebnisse, Ereignisse, Beobachtungen vorstellen die uns lohnenswert scheinen, sie weiter zu empfehlen. In der Ausgabe Nr.10: Ein starkes Buch einer starken Autorin: Sybille Urban. Sie hat ihre Erfahrungen in einer Kurzfassung für unser Periodikum aufgeschrieben. Ihre ganze Geschichte lesen Sie in ihrem Buch.

Mehr dazu: www.sybilleurban.com
Rezension: > Hier

 
 

Verlag: Carl Überreuter GmbH
A – 1090 Wien,
www.ueberreuter.at
Erscheinungstermin: 19. Juli 2013

 
   
 

Liebe Leserinnen und Leser,

alle Ausgaben der "Aktuellen Gesundheitsnachrichten", Nr. 1 bis Nr. 10, sowie alle Newsletter sind online über www.eanu-archiv.de einzusehen. Die Ausgabe 10 der „Aktuellen Gesundheitsnachrichten“ erscheint im September, die Folgeausgabe dann Ende des Jahres 2013. Haben Sie Lust, uns Ihre Wünsche und Fragen zu senden? Wir freuen uns darauf.

Bis dahin,
Ihr Dr. Wasylewski

 


Impressum:
Europäische Akademie für Naturheilverfahren und Umweltmedizin EANU
Dr. Wasylewski GmbH, Grottkauer Straße 24, 12621 Berlin,
Tel. (49) 030-55 15 82 48 - Fax (49) 030-55 15 82 49

Redaktion: Dagmar Moldenhauer, Danilo Geritz - Bilder: fotolia.com